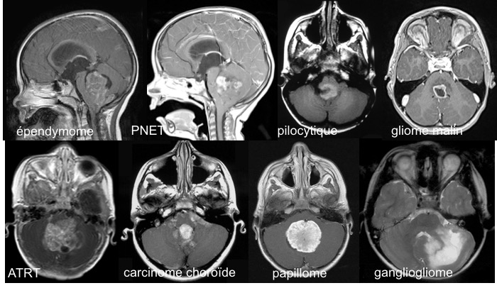
tumeurs fosse post

Laisser un commentaire

Propulsé par WordPress.com.

Retour en haut ↑