synonyme : choroid plexus carcinoma – atypical papilloma
en 2 mots
il s’agit d’une tumeur rare, maligne mais potentiellement curable par la chirurgie et un traitement oncologique agressif ; elle se révèle en urgence par une hypertension intracrânienne d’évolution rapide.
description
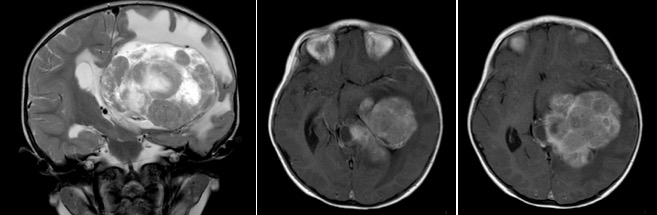
elle se développe le plus souvent dans les ventricules latéraux, rarement dans la fosse postérieure. se développant au sein d’une cavité cérébrale, la tumeur est le plus souvent très volumineuse au moment du diagnostic (cf. ci-dessous).
elle atteint souvent le jeune enfant, voire le nourrisson (médiane de l’âge 26,5 mois), plus souvent le garçon (M/F ratio 1,67) et à gauche (ratio G/Dt 4,5) ; elle peut survenir dans le cadre d’un syndrome de prédisposition tumorale (syndrome de Li-Fraumeni par mutation p53).
elle se manifeste le plus souvent par une hypertension intra-crânienne de début aigu. elle peut être d’emblée métastatique au moment du diagnostic.
le traitement
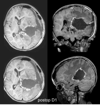
il commence avec la chirurgie en urgence, dans un but de décompression, de diagnostic histo-pathologique et si possible de résection totale, qui a un impact significatif sur la survie.
l’exérèse tumorale entraîne le plus souvent un saignement important, qui cesse avec la
fin de la résection. c’est donc une chirurgie lourde, surtout chez un petit nourrisson.
par la suite un protocole de radio et chimiothérapie est nécessaire pour éviter la récidive locale et/ou métastatique.
une chirurgie secondaire peut être indiquée, pour exérèse d’un reliquat tumoral post-thérapeutique, ou d’une récidive localisée.
le devenir
il est sombre en cas de tumeur métastatique
si on parvient à réaliser une exérèse totale, on peut espérer une survie sans récidive de 50% ; les récidives peuvent malgré tout être traitées avec succès par une combinaison de chirurgie, radio et chimiothérapie.
le pronostic a été très amélioré par les protocoles actuels de chimiothérapie lourde (ICE)
le risque de séquelles est également important car il s’agit souvent de jeunes enfants au moment du diagnostic.



Commentaires récents