synonymes : ATRT – rhabdoid teratoid tumors
en 2 mots
il s’agit de tumeurs d’un grande malignité, qui peuvent atteindre toutes les régions du système nerveux ; il est important de pouvoir faire chaque fois que possible une exérèse totale et un traitement chimio- et radiotherapique agressif.
anatomie pathologique
c’est une tumeur qui présente de forts signes d’agressivité, des cellules d’aspect pseudo-musculaire ; la perte d’expression de INI-1 est caractéristique.
la localisation est ubiquitaire dans le système nerveux central, avec une prédilection pour l’angle ponto-cérébelleux ; la tumeur est agressive vis-à-vis des tissus environnants en particulier les nerfs mixtes.
diagnostic
la tumeur qui atteint souvent le jeune nourrisson (médiane de l’âge 16 mois) avec une prédominance masculine (M/F ratio 1,9). dans certains cas, surtout chez le nourrisson, il existe une mutation constitutionnelle de SMARC-B1 qui prédispose à cette tumeur (37% des enfant de moins d’un an).
le patient se présente le plus souvent en urgence pour un tableau d’HTIC, souvent un déficit ou une épilepsie, en rapport avec :
- une tumeur sus-tentorielle

enfant de 9 ans, ATRT précentrale révélée par HTIC ; survie sans récidive à 10 ans de la résection suivie de radio-chimiothérapie - une tumeur de la fosse postérieure (surtout angle ponto-cérébelleux avec hydrocéphalie

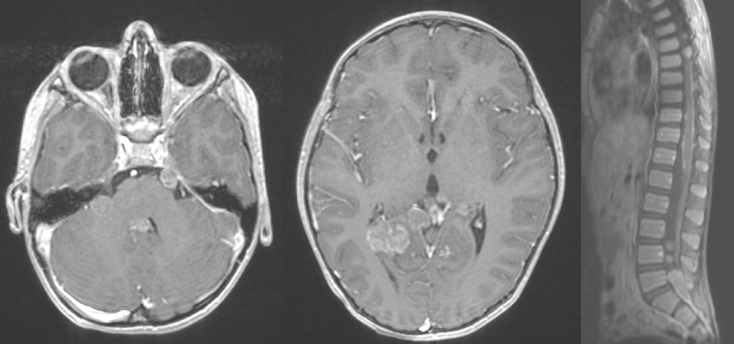
enfant de 11 mois, lésion de l’angle ponto-cérébelleux révélé par vomissements et hypotonie - la présence de métastases névraxiques dès le diagnostic dans plus de la moitié des cas ; la dissémination est soit radiologique soit dépistée sur l’étude du LCS.

enfant de 7 ans, multiples lésions cranio-spinales révélé par altération de l’état général et rétention urinaire - parfois une tumeur multi-loculaire

enfant d’un mois, ATRT bifocale épidurale lombo-sacrée et intra-durale dans le quatrième ventricule, révélée en même temps par signes d’engagement et une paraplégie.
chirurgie
c’set une chirurgie d’urgence, pour
- soulager l’HTIC et décomprimer le cerveau (surtout si déficit moteur préopératoire)
- obtenir l’histo-pathologie et la biologie moléculaire
- si possible réaliser l’exérèse complète
devenir
il est globalement très sombre mais il y a malgré tout 30% de guérison.
le pronostic est conditionné par :
- l’âge du patient surtout (p = 0,028)
- probablement le caractère métastatique ou non ( p = 0.054)
- le caractère complet de l’exérèse possiblement (p = 0,118)


Commentaires récents