
en 2 mots
l’hydrocéphalie est un mode de révélation et une complication fréquente des tumeurs cérébrales de l’enfant. il s’agit souvent d’une hydrocéphalie obstructive, et le premier élément de la prise en charge chirurgicale est souvent une fenestration endoscopique qui permet de préparer l’enfant au traitement de sa tumeur.
physiopathologie
l’hydrocéphalie tumorale peut être :
- obstructive le plus souvent : par blocage d’un foramen interventriculaire de Monro, du troisième ventricule, de l’aqueduc, du quatrième ventricule
- communicante plus rarement : par feutrage arachnoïdien en cas de carcinome méningée ou en postopératoire

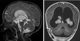
tumeurs du plexus : à gauche, papillome du V4 avec hydrocéphalie tumorale mais non obstructive ; à droite, hyperplasie bilatérale - par hyperproduction de LCS exceptionnellement dans les papillomes du plexus choroïdes, ou les hyperplasies qui sont une hypertrophie bénigne non tumorale.
prise en charge
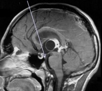
- la ventriculo-cisternostomie endoscopique est le plus souvent l’indication de choix : en cas d’obstruction du 4ème ventricule, de l’aqueduc, voire de la partie postérieure du V3 (ci-dessous) ; des métastases méningées ne sont pas forcément une contre-indication à l’endoscopie. lors de l’intervention on prélève du LCS pour recherche de cellules anormales, et le dosage de marqueurs

tératome pinéal, ventriculo-cisternostomie endoscopique tumoraux en cas de suspicion de tumeur germinale. on peut parfois réaliser des biopsies, mais celles-ci permettent rarement d’obtenir le diagnostic
- la valve ventriculo-péritonéale est le traitement par défaut, si l’endoscopie n’est pas possible, ou en post-opératoire de la tumeur ; elle comporte des risques importants d’obstruction du fait :
- de l’albuminorachie souvent élevée
- de microsaignements tumoraux
- de la dissémination tumorale
par ailleurs la valve peut théoriquement entraîner une dissémination tumorale au péritoine ou une ascite liée àl’hyperprotéïnorachie ; ces complications exceptionnelles, qui étaient associées aux gliomes de bas grade, ont pratiquement disparu depuis que ces tumeurs sont traitées par chimiothérapie.
- le traitement de la tumeur est souvent le meilleur et parfois le seul traitement, avec souvent une dérivation externe temporaire de sécurité après la chirurgie. C’est la meilleure solution dans les tumeurs du plexus choroïde ; elle est également souvent indiquée après échec de valve dans les tumeurs gliales du troisième ventricule.

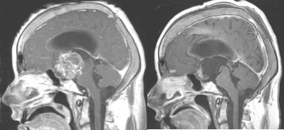
astrocytome pilocytique chiasma-ventriculaire (à gauche), patient valvé, obstructions de valve à répétition ; décision de débulking tumoral permettant de résoudre l’hydrocéphalie (à droite)



Commentaires récents