synonyme : hématome sous-périosté – sub-periosteal hematoma
en 2 mots
on le rencontre souvent mais pas exclusivement en période néonatale. il correspond à un décollement du périoste, l’hématome sous-périosté est limité en étendue par l’adhérence du périoste aux sutures crâniennes, il est donc de faible volume. avec le temps, il tend à s’ossifier. Il s’agit d’une lésion très bénigne qui nécessite parfois une ponction évacuatrice, et qu’il faut éviter d’opérer.
histoire naturelle
le céphalhématome témoigne d’un traumatisme, généralement bénin mais qui doit être identifié et peut nécessiter des explorations. il s’agit le plus souvent d’un impact de faible gravité (l’enfant chute de sa hauteur) , mais qui peut être associé à une fracture de la voûte. on le rencontre également dans un contexte obstétrical.
souvent l’hématome apparaît quelques jours après un traumatisme minime ou après la naissance. il évolue vers une ossification car le périoste produit naturellement de l’os. la voûte crânienne sous-jacente se résorbe ensuite lentement, sous l’effet de la croissance cérébral, le cephalhématome ossifié devient donc la nouvelle voûte crânienne ; il disparaît progressivement « comme le rocher à la marée montante »

diagnostic
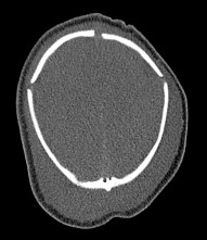
c’est initialement une collection molle, qui durcit par la suite en commençant par la périphérie réalisant une « bordure de cratère ».

dans de rares cas,le céphalhématome est bilatéral, séparé en 2 par l’adhérence du périoste à la suture sagittale. on parle alors de crâne natiforme (du latin nates, les fesses)
on le différencie de l’hématome sous-galéal par le fait qu’il est limité par les sutures crâniennes.
le scanner n’est pas toujours nécessaire, l’indication dépend de l’importance du traumatisme, ou au contraire devant l’absence de traumatisme rapporté chez un enfant ne marchant pas, pour rechercher un traumatisme non accidentel.

un céphalhématome bilatéral témoigne de l’absence de la suture sagittale, et est donc pathognomonique de la scaphocéphalie.
un bilan de coagulation est nécessaire devant un hématome extensif, qui peut être révélateur d’un trouble constitutionnel de l’hémostase.
traitement
à la phase initiale, le céphalhématome justifie parfois une ponction évacuatrice, en raison de douleurs, ou pour éviter l’évolution chronique avec ossification volumineuse.
il faut s’assurer au préalable de l’absence de trouble sous-jacent de l’hémostase. lorsqu’il est ossifié, il faut éviter d’opérer et attendre patiemment qu’il disparaisse avec la croissance de l’enfant.
le pansement compressif est à proscrire en raison d’un risque de nécrose cutanée.
dans de rares cas néonataux, l’hématome peut être infecté, possiblement par contamination par les électrodes de monitoring. il s’agit alors d’une collection purulente qui nécessite une évacuation et une antibiothérapie.


Commentaires récents