synonyme : hémangiome caverneux ; cavernous hemangioma
en 2 mots
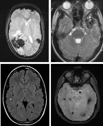
il s’agit d’une malformation des vaisseaux capillaires qui peut augmenter de volume par des micro-saignements est des phénomènes cicatriciels. le cavernome peut donc grossir, bien que ce ne soit pas une tumeur. Les cavernomes se manifestent essentiellement par un hémorragie cérébrale ou une épilepsie.
pathogénie

âge de survenue
on le rencontre à tout âge, mais on note 2 pics de fréquence, l’un chez le nourrisson, l’autre autour de la puberté. il existe probablement des facteur hormonaux à l’origine des ces pics de fréquence.
histo-pathologie
sur le plan histo-pathologique, le cavernome est peu différent des télangiectasies qui lui sont souvent associées. on retrouve également souvent une atypie veineuse, qui atteste de la présence du cavernome quand celui-ci a été détruit par l’hémorragie.
les cavernomatoses
le cavernome peut faire partie d’une cavernomatose familiale ; il existe 2 gènes connus. Il faut faire une IRM spinale pour s’assurer de l’existence de cavernomes médullaire. on ne traite que les cavernomes qui progressent et font craindre un risque hémorragique accru.
le phénotype est très variable au sein d’une même famille, avec souvent le parent atteint présentant peu ou pas de manifestations, et l’enfant révélant parfois qu’un de ses parents est porteur (anticipation). le plus souvent, on voit apparaître au fil des années de nouvelles lésions (soit que des lésions qui étaient jusqu’alors infra-radiologiques progressent, soit que l’imagerie s’améliore), mais sans incidence clinique (cf. ci-dessus). l’évolutivité est donc variable mais en règle générale, après un début aigu, on n’observe que très rarement un nouvel épisode cliniquement significatif.
les cavernomes radio-induits
après radiothérapie, on retrouve souvent des images de télangiectasies (micro-bleds), qui n’ont pas de signification clinique. dans de rares cas, le patient développe un cavernome radio-induit qui peut devenir volumineux et/ou saigner, et nécessiter alors une prise en charge chirurgicale.
comme les tumeurs radio-induites, les cavernomes se développent plutôt à distance de la zone d’irradiation maximale comme le montre la figure ci-dessus (cavernomes en bleu, lit tumoral en orange).
histoire naturelle
le comportement d’un cavernome n’ayant pas saigné est imprévisible. le risque de saignement chez l’adulte a été évalué à 0,1% par an et par cavernome. il est probablement supérieur chez l’enfant. les cavernomes localisés en fosse postérieure sont plus agressifs, avec un risque de resaignement de 10% par an environ.

prise en charge
le cavernome est une pathologie dont l’émergence apparente a été favorisée par les évolutions technologiques : pratiquement inconnu avant l’IRM (on parlait alors d’une « malformation angiographiquement occulte »), sa chirurgie a ensuite beaucoup bénéficié de l’introduction de la neuronavigation.
en cas de cavernome unique, la chirurgie est indiquée si le cavernome montre des signes d’évolutivité : saignement macroscopique, augmentation de volume, apparition d’un hypersignal T1, a fortiori en cas de saignement clinique. en cas d’épilepsie, la résection du cavernome est le plus souvent suffisante pour guérir l’épilepsie.

la rachiochirurgie par gamma-knife a montré son efficacité dans les cavernomes chez l’adulte. C’est une alternative à la chirurgie des cavernomes non opérables.
en cas de cavernomatose, on ne traite que les lésions symptomatiques ou à risque important de resaignement (en particulier en fosse postérieure).

Commentaires récents