synonymes : HED, hématome épidural, epidural hematoma
en 2 mots
c’est la grande urgence neurochirurgicale lorsqu’il est volumineux et se manifeste cliniquement ; mais la majorité des hématomes extra-duraux actuellement diagnostiqués sont de petite taille et ne nécessitent qu’une surveillance de quelques jours. l’élément crucial est le risque d’aggravation secondaire avec engagement lorsque l’hématome augmente de volume. d’où l’importance d’une surveillance rapprochée à la phase initiale.
physiopathologie
l’hématome extra-dural est lié à un saignement des enveloppes du crâne, il est donc pratiquement toujours associé à des signes d’impact direct et à une fracture
d’autre part, le cerveau est le plus souvent intact du moins initialement ; il en découle :
- que le patient est souvent cliniquement parfait initialement : c’est

délai d’intervention pour 86 enfants opérés pour hématome extradural l’intervalle libre, celui-ci est classiquement de quelques heures, en pratique il est très variable (cf. ci-contre)
- que le pronostic est excellent si le patient est pris en charge précocement
par ailleurs, chez le nourrisson, l’hématome représente un volume sanguin important, il peut donc entraîner un choc hémorragique précoce, avant même de se manifester par des signes neurologiques.
l’HED de petite taille disparaît en quelques jours à quelques semaines ; souvent, il se liquéfie et filtre à travers la fracture, se manifestant comme un hématome sous-cutané d’apparition retardée ; on réalise alors un scanner, c’est-à-dire qu’on s’inquiète au moment où les choses rentrent dans l’ordre spontanément.

anatomie pathologique
l’hématome est limité par l’adhérence de la dure-mère à l’os (en particulier au niveau des sutures crâniennes) d’où :
- la forme en lentille biconvexe lorsqu’il est est sous tension : la courbure de la dure-mère s’inverse
- l’extension de l’hématome depuis la suture coronale jusqu’à la suture lambdoïde le plus souvent
le saignement provient de l’os fracturé ou de la dure-mère décollée par l’impact ; il est donc aussi bien d’origine veineuse qu’artérielle.
parfois (cf. ci-dessous), l’HED décolle le sinus sagittal (HED du vertex) ou le sinus latéral (HED occipital ; il n’est pas logique de parler d’HED « de la fosse postérieure » car celle-ci est un espace intra-dural). il y a dans ces cas un risque de saignement majeur lors de la décompression chirurgicale.
l’HED constitué est de consistence hétérogène, en partie caillot solide, en partie
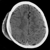
surnageant liquide (sérum) ; le scanner montre donc une image de densités différentes. en raison des caillots denses (ci-contre) ; l’espoir d’un « trou de trépan salvateur » est fallacieux.
diagnostic
il est suspecté sur la clinique :
- signes d’impact avec hématome sous-cutané
- aggravation secondaire avec céphalées, vomissements, troubles de conscience puis déficit, signes d’engagement
- parfois seulement des signes de choc hémorragique chez le jeune nourrisson
il est affirmé sur le scanner
qui montre une collection hyperdense (avec souvent une composante hypoderme) à la face interne de la voûte : typiquement en lentille biconvexe, souvent en fait en forme de lentille concave en dedans. il est alors souvent pris pour un hématome sous-dural : on les distingue par le fait que ce denier ne s’accompagne en général pas de signes d’impact homolatéraux (hématome sous-cutané, fracture).
il faut penser à rechercher un terrain favorisant :
- trouble constitutionnel de l’hémostase dont l’HED peut être révélateur
- lésion de la voûte (granulome éosinophile)
les variantes anatomo-cliniques
l’HED du vertex
il entraine une compression rostro-caudale avec risque de décompensation brutale ; lors de l’intervention, il existe un saignement du sinus sagittal qui peut être massif
l’HED occipital
résulte d’un décollement du sinus latéral ; improprement appelé « HED de fosse postérieure » (cf. supra) alors qu’il en dépasse largement les limites ; il existe également un risque de saignement opératoire massif par plaie du sinus
l’HED révélateur d’un lésion osseuse lytique
typiquement une histiocytose
l’HED chez l’hémophile
qui risque de resaigner en post-opératoire au-delà du volet initial
L’HED sur terrain fragilisé
l’association de l’HED à une pathologie cardiaque ou respiratoire peut entrainer une ischémie cérébrale sévère, en raison de l’absence de réserve hémodynamique pour faire face à l’HTIC.

conduite à tenir
la prise en charge de l’HED volumineux
est une urgence diagnostique et thérapeutique, médicale et chirurgicale
- le bilan sanguin préopératoire et le groupage, la pose d’une voie veineuse suffisante pour le remplissage et la transfusion
- le scanner qui permet de centrer le volet
- le transport au plus vite dans un centre où l’évacuation de l’HED peut être réalisée au plus vite et au mieux
- le mannitol « sur le chemin du bloc » en cas d’engagement
- la sonde vésicale pour surveillance hémodynamique et vidange vésicale quand mise sous mannitol
l’évolution post-opératoire

le pronostic est excellent lorsque l’opération a eu lieu à temps, avec un devenir normal.
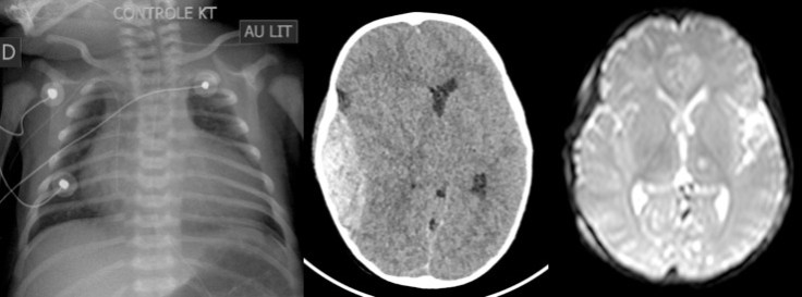
si l’HED a été opéré au stade d’engagement, l’évolution peut malgré tout être très favorable (cf. ci-contre), mais le patient risque de garder des séquelles liées à la souffrance cérébrale aiguë, parfois à une compression vasculaire.
lorsqu’il s’agit d’un HED de petit volume

il justifie une surveillance rapprochée en raison du risque d’aggravation secondaire
- en milieu hospitalier neurochirurgical
- avec un second scanner de contrôle à 6 heures du précédent ; s’il est stable, on peut se contenter ensuite d’une surveillance clinique
- pendant 48h environ
- avec des consignes de sortie clairement expliquées aux parents de l’enfant qui le surveilleront
- un contrôle en consultation à un mois pour s’assurer du retour aux activités normales, scolaires et sportives.




Commentaires récents