synonymes : adamantinome – craniopharyngioma
en 2 mots
ce sont des tumeurs bénignes par leur histologie (non cancéreuses) mais malignes par leur retentissement fonctionnel et sur la vie quotidienne : risque important de troubles visuels, hormonaux, difficultés scolaires, troubles du comportement en particulier alimentaire. la mortalité est très faible, et due non à la tumeur elle-même mais essentiellement à son retentissement hormonal
anatomie pathologique
le craniopharyngiome se développe à partir de la poche de Rathke, reliquat du canal pharyngo-hypophysaire. la forme adamantinomateuse, la plus fréquente chez l’enfant, est constituée d’un épithélium dérivé de l’émail dentaire avec souvent des calcifications, des kystes.
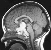
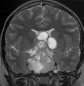
la tumeur se développe à partir de la tige pituitaire, qui peut très rarement être préservée lors de la résection. Elle se développe donc dans la région supra-sellaire, soit en dessous du diaphragme sellaire (forme sous-diaphragmatique), soit au-dessus (forme supra-diaphragmatique), soit de part et d’autre.
les formes supra-diaphragmatiques sont en contact plus ou moins étroit avec les voies visuelles et l’hypothalamus, pouvant même infiltrer ce dernier rendant l’exérèse illusoire et dangereuse. l’extension intraventriculaire, souvent kystique, peut réaliser un blocage ventriculaire avec hydrocéphalie aiguë. les formes sous-diaphragmatiques au contraire se clivent en général bien des structures nerveuses, mais elles infiltrent souvent le sinus caverneux et l’exérèse peut alors être incomplète.
le diagnostic
la présentation visuelle
le patient présente une réduction du champ visuel, souvent une baisse de vision dont le diagnostic est souvent tardif chez le petit enfant, parfois un trouble oculomoteur lié à l’HTIC ou à l’infiltration du sinus caverneux.
pour en savoir plus : Craniopharyngioma: ophthalmological aspects at diagnosis.
l’HTIC
est un mode d’entrée dans la maladie souvent rencontré chez le petit enfant, liée au développement kystique intraventriculaire avec hydrocéphalie
la présentation endocrinienne

est plus chronique, il peut s’agir :
- d’un diabète insipide avec levers nocturnes pour uriner et boire
- d’un retard de croissance traduisant un déficit en GH
- d’une prise de poids excessive ou en tous cas non corrélée avec la stagnation pondérale (augmentation du BMI)
- d’une puberté précoce qui peut masquer le retard de croissance par déficit en GH
l’existence de troubles endocriniens en préopératoire traduisent un dysfonctionnement hypothalamo-hypophysaire en faveur d’un infiltration tumorale, et sont associés à un risque d’exérèse incomplète et d’obésité évolutive en post-opératoire.
les modifications pondérales
l’obésité est un problème majeur dans le craniopharyngiome, lié à l’infiltration de l’hypothalamus par la tumeur. elle peut cependant également arriver dans des tumeurs n’infiltrant pas l’hypothalamus, suggérant des mécanismes de rétrocontrôle hormonal encore à découvrir.
il existe un découplage entre la prise alimentaire et la dépense calorique: le patient ne ressent pas la satiété, il montre au contraire une appétence excessive en particulier pour les aliment riches en lipides et en sucres rapides ; d’un autre côté, il dépense peu ses calories, sa quantité de mouvement est diminuée. il a donc un solde énergétique positif qui se traduit par une prise pondérale
l’obésité débute souvent en préopératoire et continue de progresser en
post-opératoire pour devenir parfois majeure. la relation avec le caractère complet ou non de la résection est donc biaisé ; dans notre expérience, l’obésité était significativement liée au caractère incomplet de l’exérèse, lui-même la conséquence de l’infiltration hypothalamique. c’est donc bien l’infiltration de l’hypothalamus par la tumeur qui est la cause de l’obésité.
pour en savoir plus : Craniopharyngioma and hypothalamic obesity in children.
l’imagerie

il s’agit d’un tumeur supra-sellaire souvent calcifiée et kystique
l’imagerie étudie ses rapports avec l’hypothalamus, les voies visuelles, les structures du sinus caverneux.
les diagnostics différentiels
ce sont :
- le gliome chiamato-ventriculaire, qui donne rarement un diabète insipide et dont l’imagerie ne permet pas d’identifier le chiasma ; il est rarement d’emblée kystique et très rarement calcifié
l’adénome hypophysaire lorsque la tumeur est à développement purement sous-diaphragmatique ; l’adénome s’accompagne exceptionnellement de diabète insipide- la tige pituitaire épaissie lorsque le craniopharyngiome est petit révélé par un tableau endocrinien
- surtout le tératome supra-sellaire, qui est souvent lui aussi calcifié et kystique et peut donner un diabète insipide

prise en charge chirurgicale
l’exérèse radicale
elle est souhaitable chaque fois qu’elle est possible car elle offre les meilleures chances de guérison tumorale. cependant, en raison du caractère infiltrant de la tumeur vis-à-vis de l’hypothalamus et du sinus caverneux, elle reste souvent incomplète. de plus, elle permet rarement de conserver la tige pituitaire et le patient sera dépendant à vie d’un traitement substitutif.
il existe plusieurs voie d’abord pour les tumeurs supra-sellaires.
la voie sous-frontale est la mieux adaptée pour aborder la région supra-sellaire dans un but d’exérèse car elle permet le contrôle de la ligne médiane. la dépose du bandeau orbitaire aide grandement pour éviter de rétracter le cerveau de façon excessive et de contrôler la face inférieure du chiasma. cette voie permet la préservation de la bandelette olfactive contre-latérale et parfois également homolatérale.
l’ouverture de la lame terminale permet d’accéder au contenu du V3 et de le faire descendre sous le chiasma (cf. ci-contre).
la membrane de Liliequist protège en général du plan du tronc basilaire et du III, du moins lors d’une première opération.
la voie tranventriculaire permet une décompression en particulier en urgence, mais rarement une exérèse totale.

pour en savoir plus : Radical resection for craniopharyngiomas in children: surgical technique and clinical results.
le traitement du kyste
il est souvent nécessaire en urgence à la phase initiale. il peut également devenir nécessaire en cas de progression kystique tardive. la radiothérapie est peu ou pas efficace sur les kystes. on peut réaliser :
- une fenestration endoscopique cf. ci-dessous
-

catheter intra-kystique pour curie-thérapie par Rhénium une ponction stéréotaxique avec mise en place d’un cathéter pour ponction-vidange, ou traitement intrakystique
- curie-thérapie par béta-emetteur (Rhénium)
- dans certaines équipes, bléomycine, interféron
le traitement du kyste est essentiellement un traitement d’urgence ou d’appoint qui n’est en règle pas suffisant chez l’enfant.
l’irradiation
- la radiothérapie conventionnelle conformationelle : c’est un traitement efficace mais qui a des désavantages certains : l’aggravation des troubles endocriniens existants, les troubles cognitifs tardifs, les tumeurs radio-induites qui semblent particulièrement inquiétantes chez les patients irradiés pour craniopharyngiome.
-

radiochirurgie par Gamma-knife la radiochirurgie : c’est une alternative à la chirurgie pour une fragment de petite taille et difficilement accessible ; la dose reçue par les structures adjacentes est minimale, et, contrairement à la radiothérapie, la radiochirurgie peut être renouvelée.
prise en charge médicale
l’équilibration endocrinienne anté-et post-hypophysaire est un problème majeur en pré, peri et postopératoire.
le traitement par hormone de croissance est généralement nécessaire, mais souvent différé, d’autant que la puberté est également différée.

la prise en charge préventive ou curative de l’obésité nécessite une éducation thérapeutique précoce pour prévenir le conditionnement du patient. les compulsions alimentaires envahissantes avec levers nocturnes et comportements délictueux peuvent devenir un problème psychiatrique majeur.
le devenir oncologique
récidives
les craniopharyngiomes de l’enfant sont des tumeurs agressives avec un taux élevé de récidives, même après une résection apparemment complète.
mortalité
pourtant, la mortalité liée à la tumeur est très faible, elle est essentiellement liée aux complications neuro-endocriniennes et hypothalamiques (hypothermie, apnées du sommeil) et aux gliomes radio-induits.
la prise en charge des récidives
est une difficulté majeure, surtout si le patient a déjà été irradié. La réintervention est difficile du fait des adhérences notamment vasculaires, elle permet néanmoins souvent une exérèse complète, mais le risque de morbidité est accru, notamment au plan cognitif et hypothalamique (adipsie, poïkilothermie, apnées du sommeil).
la radiochirurgie est une alternative intéressante, à discuter pour chaque cas.
une récidive kystique n’est pas une indication satisfaisante pour la radiothérapie ou la radiochirurgie, et fait discuter la mise en place d’un cathéter intrakystique ou une réintervention d’exérèse.
les difficultés liées à la récidive sont un argument fort en faveur d’une exérèse totale initialement quand elle est possible.
le devenir clinique
il est dominé par les séquelles endocriniennes, quasi-universelles, puis les séquelles visuelles en particulier la réduction du champ visuel ; les séquelles cognitives et s-psycho-comportementales ont également un impact majeur sur la qualité de vie et l’intégration.
dans l’ensemble, le pronostic fonctionnel est médiocre, moins de la moitié des patients ayant une vie normale ou des séquelles modérées, plus de la moitié des séquelles lourdes ou très lourdes.
quels sont les facteurs du pronostic
fonctionnels ?
pour en savoir plus : Craniopharyngiomas in children: recurrence, reoperation and outcome.
les différents facteurs du pronostics : résultat d’un analyse en régression logistique multivariée ; le nombre de réinterventions est le seul facteur significatif indépendant






Commentaires récents