synonymes : unruptured AVM
chez l’adulte

l’étude ARUBA a montré qu’il était préférable, tous groupes confondus, de s’abstenir de traiter les MAV non rompues en raison d’une balance bénéfice/risque défavorable. ceci complique la recherche clinique ultérieure éventuelle.
il reste en effet à déterminer quels sous-groupes bénéficieraient d’un traitement.
chez l’enfant
l’étude ARUBA n’a inclus que des adultes. chez l’enfant, la balance bénéfice/risque se présente différemment :
- le risque instantané de saignement est probablement supérieur
- la durée d’exposition au risque (espérance de vie) est très supérieure
- le risque de complication neurologique des traitements est probablement plus faible
- la capacité de récupération d’un éventuel déficit neurologique est bien meilleure chez l’enfant du fait de sa neuroplasticité
par ailleurs il faut distinguer MAV non rompue et MAV asymptomatique ; certaines MAV sont responsables de douleurs, d’épilepsie, de déficit, qui entrent en compte dans la décision de traitement.
-

MAV non rompue : décision d’abstention

la décision de traitement des MAV non rompues d’enfant doit rester prudente et pluridisciplinaire.
la décision d’abstention
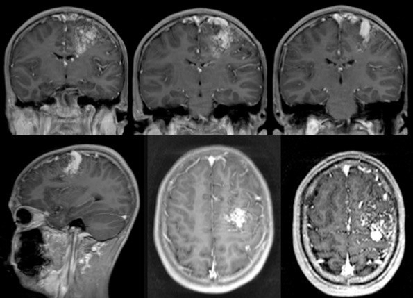
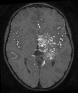
certains MAV, comme celle présentée ci-contre, ne peuvent pas être traitées sans infliger des séquelles majeures et doivent être respectées. on doit donc se contenter d’un traitement symptomatique.
le traitement des MAV non rompues
la chirurgie est possible, suivant des modalités similaires à celles des MAV rompues mais dans un tout autre contexte.
résultats de la prise en charge des MAV non rompues
si beaucoup de MAV non rompues n’ont pas été guéries par les traitements (surtout si nécessité de traitements combinés), le devenir clinique était très satisfaisant dans la grande majorité des cas.
la décision de traitement semble donc une option raisonnable, surtout pour des lésions particulièrement dangereuses comme les MAV du cervelet.
Cependant, pour pouvoir évaluer le bénéfice du traitement des MAV non rompues de l’enfant, il nous manque les données sur :
- le risque de saignement des MAV non rompues non traitées
- l’effet de la chirurgie sur le risque de saignement des MAV non rompues
- le devenir clinique à long terme des MAV non rompues traitées


Commentaires récents