en 2 mots
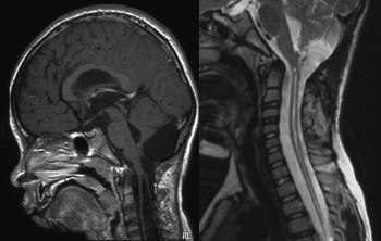
ce néologisme a été formé pour désigner les cas de syringomyélie associés à une position basse des tonsilles cérébelleuses mais sans engagement véritable. Il existe en fait une fibrose méningée qui bloque la circulation du liquide cérébrospinal.
pathophysiologie
la fibrose est imputée à un saignement méningé au cours d’un traumatisme obstétrical. B Williams avait noté la prévalence importante (un biais statistique) de naissance difficile (premier de fratrie, gros bébé, accouchement anormalement long ou « précipité ») chez les patients présentant une syringomyélie.
pour en savoir plus: Difficult labour as a cause of communicating syringomyelia.


traitement
avant tout il faut écarter une hydrocéphalie évolutive, sinon, il s’agit d’une malformation de Chiari qui nécessite une exploration endo-durale avec dissection arachnoïdienne et remise en communication du quatrième ventricule avec les citernes ; la mise en place d’un stent semble judicieuse.

Commentaires récents