synonymes : méningocèle occipitale ; occipital meningocele ; occipital encephalocele ; Chiari 3 malformation
en 2 mots
il s’agit d’une malformation rare, due à une anomalie de fermeture du tube neural survenue quelques semaines après la conception. En général il n’y a pas de cause génétique ni de risque significatif de récurrence. Les conséquences pour le foetus peuvent être sévères, voire gravissimes avec à la naissance un nouveau-né non viable.
il importe donc de distinguer, surtout en anténatal, cette malformation souvent très grave de l’encéphalocèle du vertex, qui est au contraire le plus souvent parfaitement bénigne.
le diagnostic
il est souvent fait en anténatal; la question posée est celle du pronostic vital et fonctionnel, qui dépend :
- des lésions cérébrales associées (Cf. ci dessous)
- d’une éventuel contexte syndromique
il est parfois plus tardif devant une lésion discrète, qui peut augmenter de taille avec la croissance
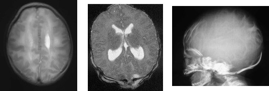
les lésions associées
- hydrocéphalie

- malformation du cervelet de type Chiari 3, possiblement de constitution secondaire cf. cas ci-dessous

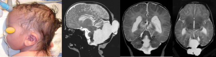
A: occipital meningocele diagnosed prenatally; B: moderate-size meningocele at birth; C: tonsillar herniation on MR at 4 months; D: increased volume of meningocele at surgery - encéphalocèle occipitale supra-tentorielle, épidermisée ou non

- malformation du tronc cérébral, de l’encéphale

encéphalocèle occipitale associée à des malformations multiples du tronc cérébral et de l’encéphale ; noter l’hypoplasie mandibulaire : syndrome de Pierre Robin d’origine centrale, absence de ventilation spontanée à la naissance. - malformations rachidiennes de type Klippel-Feil et hémivertèbres

diagnostic
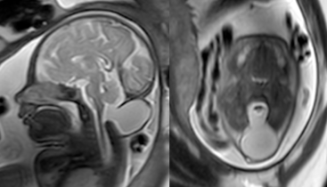
il peut être fait en anténatal, devant une lésion kystique et une microcéphalie.
quand la lésion est petite, elle n’est parfois visible qu’après la naissance.
la prise en charge
elle est chirurgicale ; il n’y a le plus souvent pas d’urgence à intervenir, mais il est préférable de ne pas attendre que la lésion grossisse, le problème de la reconstruction pouvant devenir plus compliqué.
voir la page technique chirurgicale
dans des cas extrêmes comme ci-contre, la chirurgie s’impose malgré ses risques car le nursing du nourrisson est autrement impossible.



Commentaires récents