synonymes : engagement tonsillaire chronique ; Arnold-Chiari de type 1 ; chronic tonsillar herniation
en 2 mots
la malformation de Chiari type 1 est souvent découverte de manière inattendue, soit devant un tableau atypique, soit devant une complication grave arrêt respiratoire, soit de façon fortuite ou apparemment fortuite.
les éléments cliniques du diagnostic
il est souvent difficile, devant une malformation de Chiari découverte de façon fortuite ou quasi-fortuite, de déterminer si la compression est significative ou non ; par ailleurs certaines manifestations peuvent être trompeuses, on sous-estime en effet facilement :
- les douleurs
- les troubles du sommeil
on peut distinguer les symptômes typiques (nuchalgies d’effort brèves, apnées du sommeil centrales, syndrome suspendu, scoliose gauche douloureuse…) et les symptômes « compatibles » mais moins typiques. il importe d’identifier, pour les écarter, les diagnostics différentiels.

les céphalées
typiquement, des douleurs de la nuque, brèves, survenant lors des efforts de soulèvement ou de poussée abdominale avec sensation de blocage ; chez le petit enfant, on remarque qu’il s’arrête en cours de jeu, s’immobilise, pleure, puis reprend son jeu ; il présente également une raideur de nuque.
les troubles du sommeil
typiquement, on retrouve des apnées du sommeil de type central, parfois également de type obstructif. ce syndrome d’apnées du sommeil est objectivé par l’enregistrement polysomnographique.
il existe également des troubles du sommeil malgré une respiration normale, probablement liés à la douleur de nuque, avec réveils nocturnes.
les troubles du sommeil associés au Chiari peuvent parfois expliquer un retard des acquisitions et des difficultés scolaires, ainsi que l’amélioration parfois constatée dans ce domaine après chirurgie.
les signes neurologiques
on retrouve moins fréquemment des symptômes d’ataxie cérébelleuse, des troubles d’équilibre, des troubles oculomoteurs (nystagmus).
il faut également rechercher les signes neurologiques en faveur d’une syringomyélie (troubles sensitifs et amyotrophie des mains, abolition de réflexes aux membres supérieurs, syndrome pyramidal des membres inférieurs, abolition des reflétées cutanés abdominaux, scoliose).
les signes rachidiens
la scoliose est en plus faveur d’une syringomyélie mais peut aussi se voir dans un Chiari isolé (avec amélioration postopératoire). il s’agit alors plus d’une attitude scoliotique.
le torticolis corespond à une attitude vicieuse liée à la douleur de l’engagement tonsillaire chronique ; c’est un équivalent séméiologique de la douleur.
les malaises
ils posent un dilemme :
- en cas de Chiari significatif, c’est un signe d’alarme qui indique une prise en charge rapide en raison d’un risque même faible de mort subite
- d’un autre côté, il s’agit le plus souvent d’un diagnostic différentiel, le Chiari étant découvert fortuitement sur l’imagerie faite pour un malaise banal.
les troubles cognitifs
sont plus une circonstance de découverte du Chiari que sa conséquence : le Chiari est souvent de découverte fortuite sur l’imagerie faite pour tout autre chose ; toutefois, un syndrome d’apnées du sommeil peut impacter de façon importante le développement de l’enfant et sa scolarité. il ne faut donc pas innocenter trop vite le Chiari.
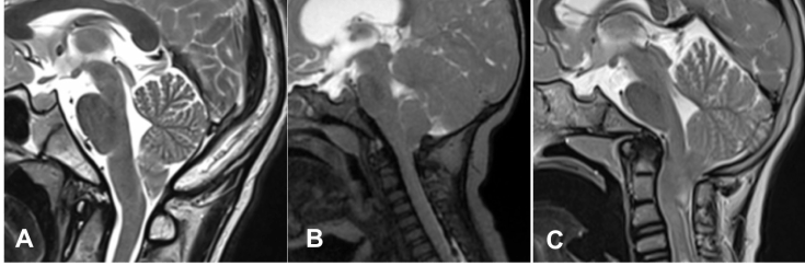
le diagnostic radiologique
il est basé sur l’imagerie, qui montre :
- des tonsilles abaissées, en dessous du foramen magnum
- des tonsilles effilées
- une déformation de la moelle allongée
- un effacement des citernes
- parfois un oedème de la moelle allongée
l’imagerie est parfois en décalage avec la clinique :
- Chiari apparemment compressif alors que l’enfant est rigoureusement asymptomatique
- à l’inverse, imagerie peu impressionnante alors que l’enfant est symptomatique ou qu’il existe une syringomyélie (cf. ci-dessous)

engagement tonsillaire de gravité variable ; le patient A avait une syringomyélie très symptomatique et a été amélioré en postopératoire. il faut considérer que l’imagerie n’est qu’un instantané qui ne reflète pas nécessairement le processus dynamique hydraulique du Chiari.
on recherchera de plus sur l’IRM :
- une syringomyélie
- une hydrocéphalie, en règle générale obstructive
le scanner est très utile pour rechercher
- une malformation de la charnière cranio-cervicale
- une craniosténose
le traitement est traité à la page prise en charge de la malformation de Chiari




Commentaires récents