synonymes : shuntographie – shuntogram – shunt weaning
en 2 mots
le patient valvé est porteur de valve pour la vie jusqu’à preuve de contraire. on ne peut pas affirmer la shunt-indépendance devant un shunt rompu asymptomatique.
dans de très rares cas, on parvient à sevrer le patient de sa valve, soit par une procédure de test de la valve, soit après une intervention endoscopique. c’est une opportunité pour la patient, mais nécessite d’être très prudent et rigoureux.
bases physiopathologiques
le patient porteur de valve a en général perdu les capacités de résorption du LCS qui lui restaient avant la pose de la valve ; la pose de valve est donc en règle générale un point de non-retour.

un shunt rompu reste souvent fonctionnel pendant un temps non défini (parfois plusieurs années) du fait de la gaine fibreuse qui l’entoure et constitue un véritable cathéter vivant qui permet au shunt de continuer à fonctionner. on ne peut donc pas affirmer la shunt-indépendance devant un shunt rompu asymptomatique.
il existe de rares exceptions à la règle, en particulier des enfants valvés pour hydrocéphalie post-hémorragique en période néonatale
on distinguera donc :
- le sevrage électif
- le sevrage la main forcée après dérivation externe
- le sevrage après endoscopie
- le sevrage après plexectomie
le sevrage électif : quels patients sélectionner ?
il faut être extrêmement rigoureux : le patient doit
- présenter une rupture de shunt découverte sur des radios systématiques ou fortuitement (il ne paraît pas licite de proposer cette procédure si on n’y est pas forcé)
-
être totalement asymptomatique (aucune modification fonctionnelle, fond d’oeil normal)
- avoir un scanner inchangé par rapport au scanner de référence
- n’avoir jamais présenté auparavant de dysfonctionnement de valve symptomatique (l’adage devient donc « once revised, forever revised« )
la procédure de sevrage de valve
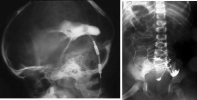
le protocole détaillé ci-dessous nécessite une hospitalisation avec test d’opacification au bloc opératoire (l’opacification radiologique nécessite d’avoir implanté au départ une valve avec réservoir) ; c’est la dernière survivance de la ventriculographie (Cf. ci-contre).
le test est suivi soit de la ligature du shunt, soit de sa révision. si la procédure conduit au sevrage effectif de la valve, il faut continuer de suivre le patient cliniquement et radiologiquement au moins un an.
le sevrage de valve « la main forcée »
devant une infection de valve, le patient étant en dérivation externe, on peut tenter un sevrage progressif de la dérivation, dans l’espoir de retarder la repose de valve, et parfois de ne pas reposer de valve du tout.
le sevrage de valve après endoscopie
c’est une opportunité à envisager le plus souvent possible, même pour des patients présentant une hydrocéphalie réputée communicante (post-hémorragique ou post-méningitique, d’autant plus que :

- le patient a présenté plusieurs épisodes d’obstruction de valve
- l’imagerie suggère une obstruction de l’aqueduc ou des foramens de Luschka
comme les villosités arachnoïdiennes du patients n’ont pas fonctionné depuis la pose de valve, il faut souvent un certain temps pour qu’elles redeviennent fonctionnelles. il est donc prudent à la fin de la ventriculocisternostomie :
- de réaliser une ponction lombaire avant le réveil du patient pour « amorcer la stomie » par un « appel vers les citernes »
- ou de laisser une DVE, clampée ou placée assez haut pour maintenir une pression ventriculaire et « forcer le passage »
- de recontrôler l’imagerie pour vérifier le flux dans la stomie
- de suivre le patient de très près cliniquement et par le fond d’oeil ; il peut exister une période d’adaptation de quelques jours, et il ne faut pas forcément être trop pressé de revalver le patient, tout en le surveillant comme le lait sur le feu.
le sevrage après plexectomie
c’est une éventualité dans des cas particulièrement difficiles. il s’agit d’indications exceptionnelles et de mesures de dernier recours, permettant d’éviter de reposer une valve, ou du moins d’obtenir un répit bienvenu avant de revalver.



Commentaires récents