synonymes : herniation – coning
en 2 mots
c’est la complication aiguë et grave d’une hypertension intra-crânienne, pas forcément importante, mais associée à un gradient de pression entre deux compartiments :
- droit et gauche : engagement sous-falcoriel
- supérieur et inférieur : engagement trans-tentoriel ou temporal
- crâne et colonne : engagement tonsillaire ou cérébelleux
l’engagement nécessite une prise en charge en urgence en raison du risque de lésions cérébrales surajoutées.
physiopathologie
l’engagement correspond au déplacement de structures cérébrales visco-élastiques du fait d’un gradient de pression, et ne survient donc pas si toutes les structures sont à la même pression. il n’est pas forcément causé par une hyperpression importante. l’engagement peut être favorisé par une ponction lombaire qui augmente le gradient de pression.
les différents types d’engagement
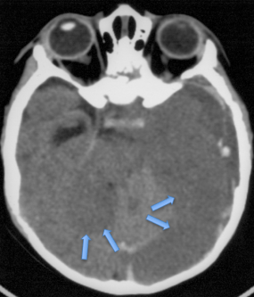
l’engagement temporal
il traduit la compression :
- du système d’éveil (réticulée activatrice ascendante du mésencéphale et diéncéphale)
- du mésencéphale et du noyau du III
- de la voie pyramidale
en conséquence, il se manifeste par :
- des troubles de conscience
- une mydriase homolatérale

- un déficit ou réaction de décérébration ou déficit contro-latéral
il provoque en outre une compression de l’artère cérébrale postérieure contre le bord libre de la tente du cervelet, à l’origine d’une ischémie (cf. ci-contre) avec comme conséquence une hémianopsie latérale homonyme.
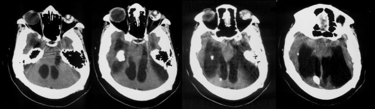
l’engagement cérébelleux
il traduit une compression de la moelle allongée par les tonsilles cérébelleuses
il se manifeste donc par :
- nuchalgies avec torticolis initialement
- puis posture en opisthotonos (le patient « fait le pont »)
- troubles de conscience
- troubles végétatifs
- hyper/hypotension
- bradycardie
- apnée
ces troubles neuro-végétatifs risquent d’aboutir rapidement au décès.

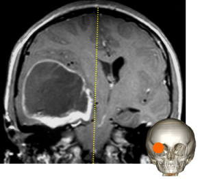
l’engagement sous-falcoriel

il traduit une compression importante avec ischémie par compression de l’artère péricalleuse homolatérale, voire bilatérale, contre le bord libre de la faux du cerveau.
dans les hématome sous-duraux, le rapport entre la surface à la convexité et celle à l’intérieur du bord libre de la faux est à l’origine d’un un levier multiplicateur de l’engagement.
cliniquement, il s’agit d’un tableau d’HTIC sévère qui n’a pas de caractère spécifique mais qui comporte un risque important de séquelles neuropsychologiques (lésions frontales bilatérales).
l’engagement paradoxal
appelé Kernohan’s notch, du nom de l’anatomo-pathologiste qui l’a décrit, il survient lorsqu’un facteur compressif (le plus souvent un hématome sous-dural) exerce une pression homogène sur l’encéphale, entraînant un déplacement avec compression du mésencéphale du côté opposé contre le bord libre de la tente du cervelet
il provoque donc une paralysie homolatérale à la compression (d’où le paradoxe).
l’engagement du culmen
ou engagement rétrograde, survient quand une lésion du haut de la fosse postérieure s’engage vers le haut.
il est parfois favorisé par le drainage d’une l’hydrocéphalie sus-jacente.
l’engagement croisé
avec ischémie du territoire de l’artère cérébrale postérieure homolatérale et cérébelleuse supérieure contro-latérale, il traduit une coudure de la terminaison de l’artère basilaire ; il se rencontre chez le nourrisson.
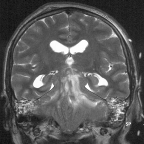
l’engagement rétro-mésencéphalique
c’est une figure particulière de dysfonctionnement de valve qui provoque la descente trans-tentorielle des hémisphères cérébraux sous pression en arrière du mésencéphale ; ceci donne une imagerie parfois déroutante (Cf. ci-dessous), mais qui traduit une HTIC sévère.





Commentaires récents