
synonymes : tumeurs hémisphériques – lobar tumors
buts de la chirurgie
les tumeurs lobaires nécessitent une chirurgie à visée de diagnostic histopathologique, de décompression, de résection et/ou de traitement de l’épilepsie.
le planning préchirurgical
-

IRM fonctionnelle langage les biopsies stéréotaxiques pré-opératoires : elles permettent de prévoir l’histo-pathologie tumorale et de réaliser un traitement oncologique plutôt qu’une résection ; chez l’enfant, les indications sont limitées car il s’agit souvent de tumeurs volumineuses nécessitant une réduction en urgence.
- l’imagerie fonctionnelle est possible chez les enfants à partir de 6-7 ans ; elle permet en particulier de localiser les aires du langage
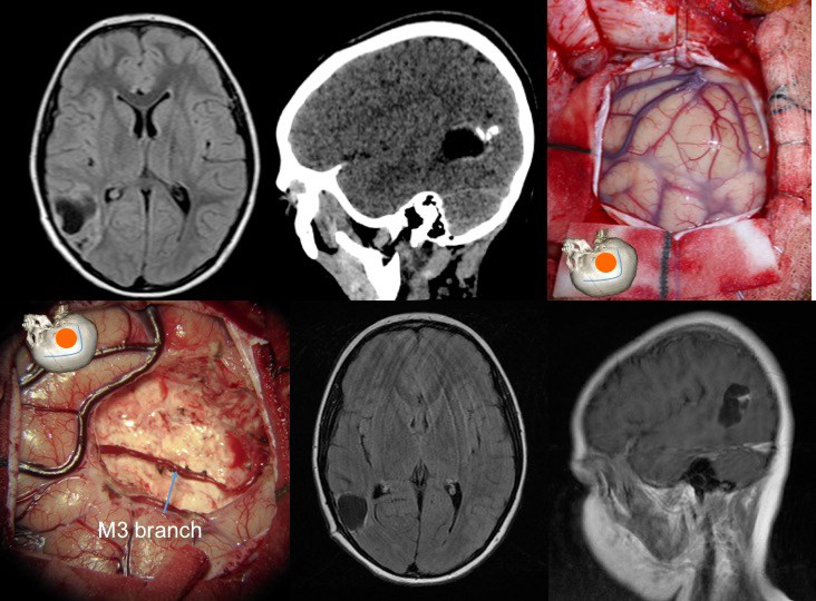
le guidage per-opératoire
la neuronavigation est très utile dans les tumeurs de la convexité, surtout de petite taille et à proximité de la région centrale ; il est illusoire de vouloir reconnaitre les sillons corticaux, surtout lorsque l’anatomie est modifiée par la tumeur. par ailleurs l’imagerie peut être trompeuse en faisant croire que la tumeur sera visible dès l’ouverture durale alors qu’elle est sous-corticale. inversement, la neuronavigation n’est pas indispensable lorsqu’il existe des repères anatomiques fiables : suture coronale, vallée sylvienne, sillon péri-calleux, structures de la base.
- l’examen histo-pathologique extemporané est utile lorsque la résection fait courir des risques fonctionnels, qui ne peuvent être justifiés que pour certaines tumeurs : gliomes de haut grade, ATRT, PNET, épendymomes.
- le monitoring opératoire et la chirurgie éveillée sont peu utilisés chez l’enfant car, à la différence de l’adulte, il s’agit rarement de tumeurs infiltrant le cortex, elle ne nécessitent qu’une corticotomie et non une cortectomie. les tumeurs de l’enfant sont en effet le plus souvent extra-cérébrales, se séparant nettement du cerveau au sein duquel elles se développent ; de plus, la neuroplasticité, qui réorganise les zônes fonctionnelles en même temps que se développe la tumeur, fait que la fonction est rarement atteinte.
- l’imagerie per-opératoire est sous-utilisée ; elle est surtout utilisée pour la chirurgie de reliquats post-opératoires
les tumeurs de la convexité

la résection est guidée par l’anatomie, la neuronavigation, et parfois des modifications de la voûte (soufflure) ou du cortex (coloration, déplissement, induration).
chaque fois que possible, la chirurgie est sulcale, ouvrant le sillon bordant la tumeur et respectant les vaisseaux à destinée du gyrus adjacent. lorsque le plan pial se sépare bien de la lésion (en particulier dans les dysplasies), la dissection sous-piale permet au mieux de respecter le gyrus adjacent.
la dissection vasculaire minutieuse permet également de respecter les vaisseaux qui traversent la tumeur.

les tumeurs de la région centrale
nécessitent souvent un bilan d’imagerie fonctionnelle, pour localiser les aires du langages et les voies de connexion par rapport à la lésion.
la neuronavigation est par contre particulièrement précieuse dans cette région.

les tumeurs temporales
lorsqu’elles sont situées à la face interne, elle adhérent volontiers au plan vasculo-nerveux interne, englobant parfois le nerf oculo-moteur et pouvant adhérer intimement à la carotide, l’artère communiante postérieure, l’artère cérébrale postérieure. l’imagerie pré-opératoire permet difficilement de prévoir cette difficulté, qui peut interdire une exérèse complète.
la résection anatomique temporo-pôlaire peut être le premier temps d’une résection temporale interne (hippocampectomie) dont l’étendue est dictée par l’extension tumorale, et peut être aidée par l’IRM per-opératoire

la délimitation de la limite postérieure est facilitée par le repérage d’un sillon anatomique ; plus l’extension est postérieure, plus il existe de risque d’amputation du champ visuel.
les tumeurs localisées à la face interne du lobe temporal plus haut situées, au contact de la bandelette optique, peuvent être abordées en conservant le pôle temporal par un abord trans-ventriculaire trans-T2 (ci-dessous)
les tumeurs insulaires
elles peuvent être localisées à l’insula, ou l’envahir à partir de la région temporale ou frontale. en profondeur, elles sont en contact avec les noyaux gris centraux et la capsule interne.
- on les aborde en ouvrant la vallée sylvienne, en restant sur le versant temporal pour éviter de léser la région frontale postérieure
- les branches de la sylvienne sont séparées du cortex insulaire tumoral

- la dissection vasculaire peut entraîner un vasospasme, elle devra donc être particulièrement douce.
- il est préférable chaque fois que possible de réaliser une dissection sous-piale pour limiter la contamination de la vallée sylvienne, puis de suivre les limites tumorales.
- la partie postérieure du pédicule temporal contient les radiations optiques, et doit être respectée.
- la résection tumorale se fait par aspiration pour limiter le plus possible la dissection profonde d’avec la capsule interne et les noyaux gris.

les tumeurs occipitales
elles peuvent être abordées par voie inter-hémisphérique postérieures, avec un risque de lésion du cortex visuel
elles sont parfois accessibles par voie trans-ventriculaire avec un risque d’interruption d’une partie des radiations optiques.
les transmissions à l’anesthésiste-réanimateur


Commentaires récents