achondroplasia
en 2 mots
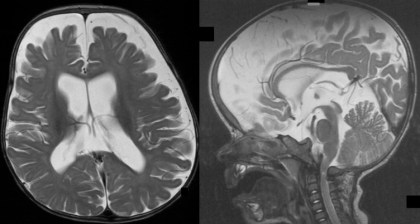
c’est une maladie du squelette liée à une mutation du gène FGFR3, avec une petite taille, et des anomalies de développement de l’ensemble du squelette, en particulier du crâne et du rachis où elle peut occasionner des complications graves. La sténose du foramen occipital atteint surtout le petit nourrisson, il est rare qu’elle se manifeste plus tardivement. les autres manifestations apparaissent ensuite en descendant l’axe rachidien à mesure que l’enfant avance en âge. il existe également des troubles de la circulation du liquide méningé, à l’origine de la macrocéphalie caractéristique, qui peuvent se combiner avec les anomalies squelettiques, mais qu’il faut s’abstenir de valver.
les problèmes de l’achondroplasie qui concernent le neurochirurgien
- la macrocrânie
- les problèmes hydrauliques
- la sténose du foramen occipital
- le canal cervical étroit
- le canal lombaire étroit et la cyphose thoraco-lombaire
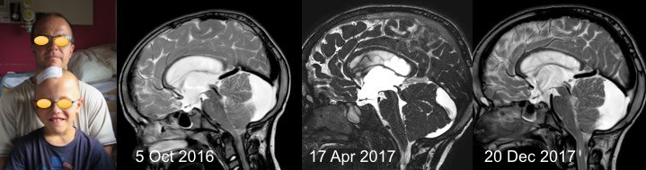
la sténose du foramen occipital de l’achondroplasie

il s’agit d’un problème squelettique lié à la croissance, et non un engagement tonsillaire par mécanisme hydraulique : ce n’est pas une malformation de Chiari.
elle se manifeste le plus souvent dans la petite enfance, avec une compression de la jonction bulbo-médullaire, qui entraine une paralysie avec hypotonie et syndrome pyramidal, des troubles de la déglutition et des troubles respiratoires avec syndrome d’apnées du sommeil de type central. il existe de ce fait un risque de mort subite. il faut s’assurer par l’enregistrement polysomnographique de l’existence d’un syndrome d’apnées du sommeil centrales (par compression de la moelle allongée), obstructives (par rétrécissement des voies respiratoires ou paralysie des nerfs crâniens) ou mixtes.

il peut être nécessaire de décomprimer le foramen occipital (ci-dessus) mais aussi de dégager les voies respiratoires supérieures (résection des végétations adénoïdes, parfois de faire une chirurgie d’avancée faciale avec distraction. C’est donc une prise en charge pluridisciplinaire.

les problèmes hydrauliques de l’achondroplasie
ils sont classiquement dus à une compression veineuse au niveau des foramens jugulaires, rendue responsable de la macrocrânie habituelle chez ces patients.
Le PC est « normalement » augmenté dans l’achondroplasie. il existe donc des courbes de PC spécifiques des achondroplastes, garçons et filles.
cette expansion des espaces liquidiens peut favoriser la constitution d’une collection sous-durale post-traumatique.

les troubles hydrauliques peuvent intriqués avec un engagement tonsillaire, mais ils peuvent en être aussi bien la cause que la conséquence, ce qui laisse donc une place au traitement endoscopique.

il faut le plus possible éviter de mettre en place une valve, qui comporte un risque important de complications, du fait notamment de perturbations de la croissance crânienne.
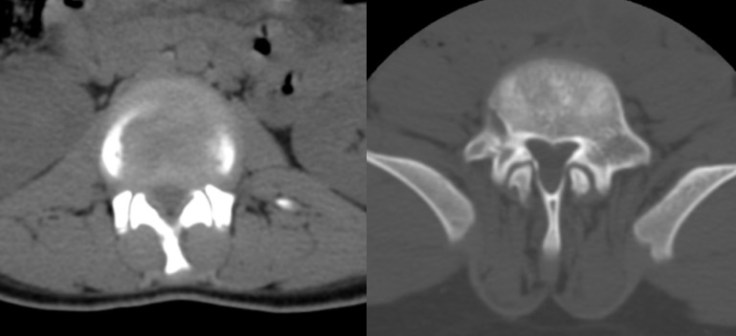
le canal cervical étroit de l’achondroplasie
il existe une étroitesse évolutive du canal cervical qui peut entraîner une compression médullaire et nécessiter une décompression par voie postérieure (laminoplastie). Cette compression se manifeste plus tard dans l’enfance et l’adolescence.
l’immobilisation post-opératoire est impérative en raison du risque de cyphose du fait du poids de la tête et de la laxité musculo-ligamentaire.
le rachis lombaire de l’achondroplasie

il existe très souvent une cyphose thoraco-lombaire, qui peut s’aggraver avec la verticalisation, et nécessite une prise en charge orthopédique (corset) et parfois chirurgicale. elle s’accompagne d’une lordose du rachis thoracique avec restriction de la capacité respiratoire.
il existe également un rétrécissement du canal rachidien lombaire moyen et haut, avec compression de la moelle et des racines de la queue de cheval. Le canal lombaire étroit, est lié à la brièveté des pédicules et favorisé par l’hyperlordose lombaire avec épaississement réactionnel des ligaments jaunes. il survient à l’adolescence et l’âge adulte.


Commentaires récents