en 2 mots
les kystes sont souvent diagnostiqués en anténatal car ils sont trans-soniques. leur signification est extrêmement variable : certains n’évoluent pas, et ne nécessiteront aucune prise en charge ; d’autres progressent et nécessiteront une intervention. enfin, certain kystes sont associés à des lésions cérébrales graves. il faut donc s’attacher à préciser de quel type de kyste il s’agit, et si des lésions cérébrales sont associées, car le pronostic développemental est alors très incertain.
les différentes lésions
il importe de distinguer :
- les variantes du normal
- les kystes arachnoïdiens
- les kystes neuro-gliaux
- les kystes du plexus choroïde
- les cavités porencéphaliques et la schizencéphalie
les variantes du normal
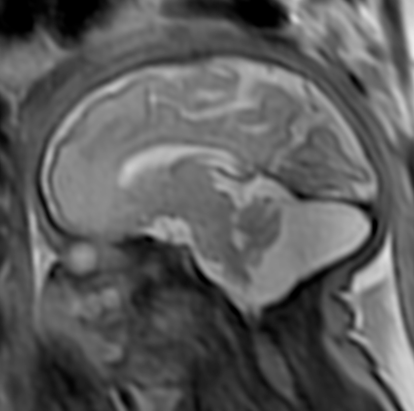
la grande citerne
il s’agit d’une structure normale, cul-de-sac du quatrième ventricule, de taille très variable. lorsqu’elle s’étend à la face postérieure du vermis, elle est parfois dénommée kyste de la poche de Blake, une entité qui n’a pas d’existence réelle.
la méga-grande citerne peut être impressionnante, surtout sur l’imagerie de profil, car sa présence empêche l’accolement des feuillets de la tente du cervelet sur la ligne médiane. l’élément rassurant est l’absence d’effet de masse sur le tronc, et la position normale du vermis, ce qui la distingue du Dandy-Walker (Cf. infra).
le kyste du septum inter-ventriculaire
il résulte d’un défaut d’accolement des feuillets internes des 2 vésicules télencéphaliques. il est lui aussi de taille très variable.
quand le kyste s’étend en arrière jusqu’à la région pinéale, il prend le nom de cavum vergae. il s’agit encore d’une variante du normal, sauf dans les exceptionnels cas où le kyste se met sous pression et comprime les foramens inter-ventriculaires.

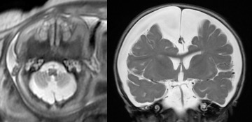
la malformation de Dandy-Walker
il s’agit d’une malformation due à l’imperforation de la toile choroïdienne du V4, qui soulève de façon caractéristique le vermis cérébelleux.
le pronostic est incertain ; les éléments de pronostic défavorable sont :
- l’existence d’une hydrocéphalie évolutive, avec dilatation ventriculaire et tronc cérébral plaqué en avant
- l’hypoplasie du cervelet
- le contexte malformatif (syndrome PHACE)
les kystes arachnoïdiens de diagnostic anténatal
la prévalence des différentes localisations est différente en pré et en post-natal :

ceci confirme que les kystes arachnoïdiens sont des pathologies développementales, apparaissant à des âges différents suivant la topographie.
les kystes du plexus choroïde

ils sont de constatation assez banale et généralement non évolutifs. on les trouve tout le long du sillon choroïdien, ils peuvent donc occuper chacun des 4 ventricules ainsi que l’angle ponto-cérébelleux.
le plus souvent, ils ne nécessitent aucune prise en charge.
dans de très rares cas, ils s’associent à un blocage du foramen inter-ventriculaire de Monro, et peuvent nécessiter une intervention (fenestration endoscopique) à la naissance.
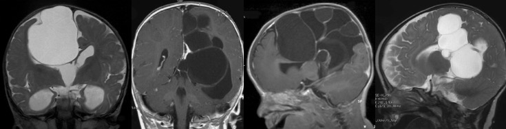
les kystes neuro-gliaux
ce sont des kystes dont la paroi est constituée de tissu cérébral et non méningé. ils peuvent se développer à partir des ventricules ou du parenchyme cérébral.
ils sont souvent associés à des anomalies cérébrales (entre autres à un défaut de développement du corps calleux et ont alors un pronostic développemental réservé.


les kystes porencéphaliques et la schizencéphalie

ils résultent de la détersion d’un zone d’infarctus cérébral ; chez le fœtus, les berges de la cavité sont colonisées par la migration des neurones provenant de la zone germinative péri-ventriculaire. ils sont associés à un pronostic péjoratif car :
- il y a perte de substance cérébrale
- il s’est passé un événement grave (infectieux, vasculaire…) qui a pu impacter l’ensemble du cerveau
- il peut exister une pathologie systémique (métabolique…) sous-jacente
les facteurs du pronostic
le pronostic dépend :
- du type de kyste et de sa localisation
- de l’évolutivité des lésions et d’une possible hydrocéphalie
- des lésions cérébrales associées
- des lésions associées extra-cérébrales et d’un possible contexte syndromique.
le type de kyste

l’évolutivité
elle est le plus souvent imprévisible, tant en anténatal qu’en post-natal

les lésions associées cérébrales
elles sont parfois visibles à l’imagerie anténatale (agénésie du corps calleux Cf. ci-dessous), ou beaucoup plus discrètes (anomalies de migration neuronale), c’est dire qu’il existe une par d’incertitude importante.

les lésions associées extra-cérébrales




Commentaires récents