synonymes : diagnostic prénatal ; prenatal diagnosis of craniosynostosis
en 2 mots
il s’agit de maladies rares, et le diagnostic anténatal est souvent difficile, c’est pourquoi le diagnostic est le plus souvent fait en post-natal. lorsqu’il est fait en pré-natal, il importe de préciser :
- le type de craniosténose
- l’existence d’un contexte syndromique : faciosténose ou d’autres malformations
- l’existence d’un contexte génétique familial
- le retentissement possible sur l’accouchement
les circonstances du diagnostic anténatal
la majorité des craniosténoses sont diagnostiquées en post-natal.
celles qui sont vues en prénatal sont soit :
- particulièrement sévères (crâne en trèfle)
- associées à d’autres malformations
- surviennent dans le cadre d’une maladie familiale connue
le diagnostic échographique

il montre une voûte crânienne anormalement échogène, avec une déformation évocatrice voire caractéristique.
en général, le périmètre crânien est préservé en anténatal, il est même souvent augmenté dans les scaphocéphalies.

l’échographie 3D permet une étude fine du visage et montre un faciès caractéristique dans les craniosténoses impliquant la base et les craniofaciosténoses. elle permet également l’étude des autres organes en particulier les mains (Apert, Pfeiffer) et la face (craniofaciosténose).
le bilan doit être complet car on retrouve parfois des anomalies d’autres organes (coeur, reins, etc), dans le cadre d’associations syndromiques connues ou non (maladies orphelines) ; c’est en particulier le cas dans les trigonocéphalies (cf. ci-dessous).
le foeto-scanner

c’est un examen invasif car soumettant le foetus à des rayons X ; il est néanmoins nécessaire pour étudier l’os, dans le but de :
- préciser la ou les sutures atteintes
- rechercher une faciosténose (Crouzon, Apert, Pfeiffer, Saethre-Chötzen) qui peut avoir un impact pronostique majeur
- rechercher d’autres anomalies du squelette :
- syndactylie (syndrome d’Apert)
- malformations des pouces (syndrome de Pfeiffer)
- synostose radio-cubitale (Antley-Bixler)
- brièveté des os longs (nanisme tanathophore)
- rarement, des anomalies spinales (dysraphisme associé)
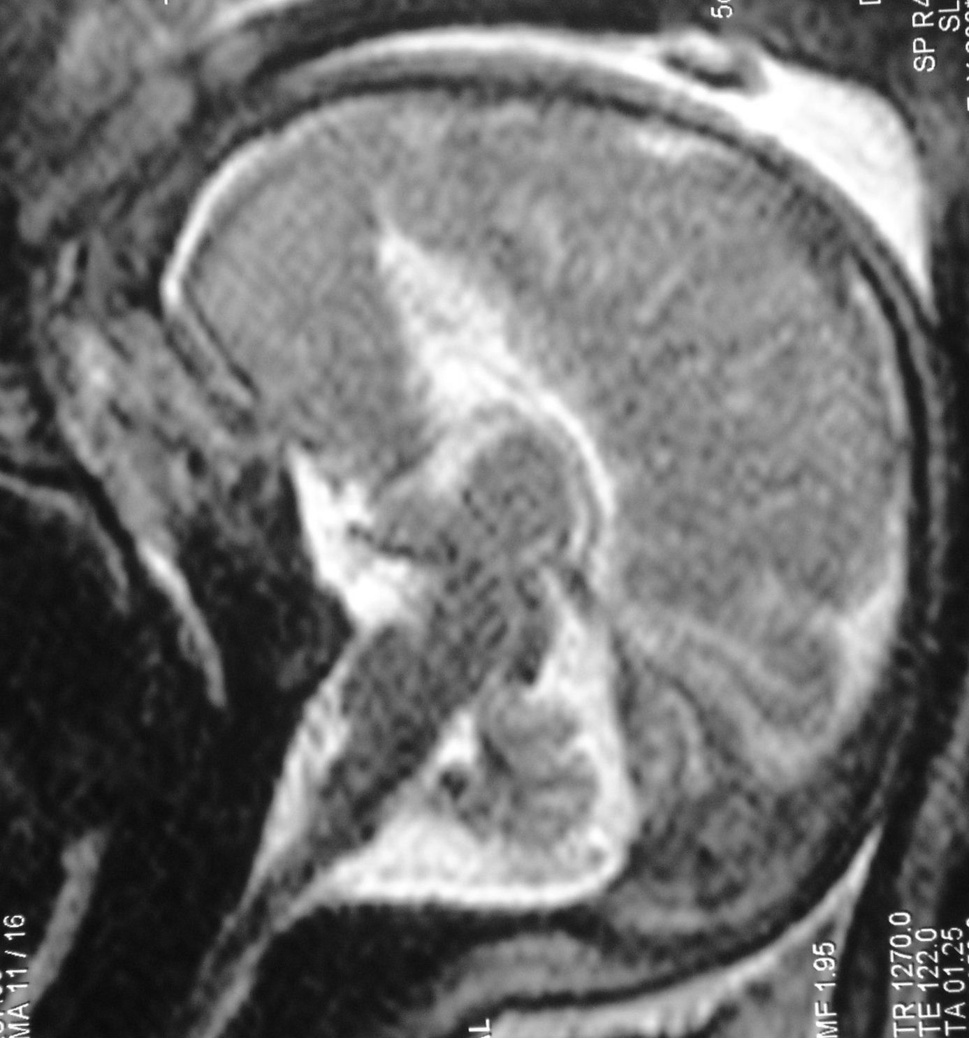
l’IRM
elle permet d’étudier le cerveau, mal vu en échographie

elle est surtout utile dans les brachycéphalies, pour rechercher un retentissement cérébral (engagement tonsillaire, hydrocéphalie) ou d’autres anomalies cérébrales associées (cf. ci-contre : dysplasie orbito-fronto-nasale avec agénésie du corps calleux).
le bilan étiologique
on recherche systématiquement
- un élément tératogène (Valproate, ethanol) surtout dans les trigonocéphalies
- un contexte génétique familial, surtout dans les craniosténoses impliquant le système coronal
- une association syndromique : faciosténose, malformation des membres
- une anomalie chromosomique, surtout dans les trigonocéphalies
-

différentes étiologies de trigonocéphalies syndromiques
les malformations de pronostic favorable
- la scaphocéphalie, qui pose surtout un problème morphologique, et se corrige parfaitement par la chirurgie
- la trigonocéphalie si elle est isolée, et sous réserve du caryotype (rares cas d’anomalies chromosomiques)
- la plagiocéphalie, rarement diagnostiquée en anténatal
les malformations de pronostic plus réservé voire péjoratif
- les brachycéphales et surtout le crâne en trèfle
- les cranio-faciosténoses, surtout le Pfeiffer
- toutes les craniosténoses associées à des malformations d’autres organes (syndromiques)
le retentissement sur l’accouchement
le lieu de la naissance
en dehors des faciosténoses marquées, il n’y le plus souvent pas de nécessité de prise en charge spécialisée de l’enfant dès la naissance, l’accouchement peut donc avoir lieu dans la maternité de proximité.
faudra-t-il une césarienne ?
l’existence d’une synostose crânienne peut malgré tout compromettre la biomécanique de l’accouchement et entraîner une dystocie.
bien que celà n’ait rien d’automatique, le taux de césarienne est significativement plus élevé en cas de scaphocéphalie et de trigonocéphalie.
pour en savoir plus
voir la présentation (en anglais) sur les conséquences obstétricales de la craniosténose



Commentaires récents