en 2 mots
c’est une infection neuroméningée grave en général due à une infection ORL compliquée ; il nécessite une chirurgie en urgence qui doit souvent être répétée. malgré cette gravité initiale et les différents épisodes de cette prise en charge agressive, le pronostic est généralement favorable. la prise en charge chirurgicale de ces patients doit donc être rapprochée et tenace car la guérison est à ce prix.
histoire naturelle
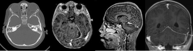
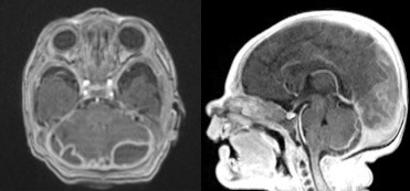
l’empyème sous-dural survient le plus souvent à la suite d’une infection ORL, le plus souvent sinusite ; plus rarement, il peut être secondaire à une mastoïdite

il existe également des causes hématogènes, à la suite d’une infection dentaire,
pulmonaire, ou favorisées par une fragilité immunitaire.
on rencontre rarement des empyèmes sous-duraux chez le nouveau-né à

la suite d’une méningite à bacille Gram négatif ou streptocoque B, il siègent préférentiellement en fosse postérieure.
diagnostic
l’empyème sous-dural réalise un tableau clinique grave avec état septique, troubles de vigilance, déficit, crises comitiales et souvent état de mal épileptique. Cette gravité clinique contraste souvent avec le faible volume de la collection, car il existe un oedème diffus et des thrombophlébites corticales réalisant dans certains cas un véritable tableau d’encéphalite aiguë fébrile.


prise en charge
elle est médico-chirurgicale. Le traitement médical seul ne se justifie que dans des cas exceptionnels.
la chirurgie
elle a pour buts :
- d’évacuer les collections purulentes
- d’identifier le ou les germes
- de traiter la porte d’entrée si nécessaire


Elle nécessite souvent d’être répétée, parfois plusieurs fois, car les collections purulentes ont tendance à se cloisonner et récidiver.
d’autre part, la porte d’entrée ORL nécessite souvent d’être obturée dans une second temps. il faut d’emblée anticiper ces réinterventions en réalisant un abord versatile (incision coronale).
la chirurgie est parfois difficile lorsque la collection est localisée à la base du crâne ; il importe alors de ne pas créer de fistule purulente impossible à fermer et donc de choisir un abord endodural (cf. ci-dessous).

devenir
compte tenu de la gravité initiale, le devenir est remarquablement favorable. il persiste cependant dans un certain nombre de cas des séquelles à type de déficit moteur (en général modéré) et d’épilepsie. 



Commentaires récents