synonyme : PNET cérébelleuse
en 2 mots
il s’agit d’une des tumeurs de la fosse postérieure les plus fréquentes chez l’enfant ; c’est une tumeur maligne, mais on en guérit actuellement la majorité. la chirurgie seule ne permet pas la guérison, il est nécessaire de faire une chimiothérapie et le plus souvent une radiothérapie.
anatomopathologie et biologie moléculaire
on distinguait classiquement :
- le médulloblastome classique
- la forme desmoplasique, souvent chez le nourrisson et associée à la mutation PTCH
- la forme anaplasique, de pronostic péjoratif
- la forme à grandes cellules, de pronostic péjoratif
la biologie moléculaire permet actuellement de séparer 4 groupes, selon la voie de tumorigénèse Sonic-Hedgehog et Wnt, attestées par la présence d’une mutation des cellules tumorales ; on recherche de plus l’amplification des gènes C-Myc et N-Myc qui atteste d’une plus grande agressivité tumorale.
la classification actuelle, qui place les médulloblastome parmi les tumeurs embryonnaires, distingue :
- la forme classique, non Wnt non SHH
- la forme SHH de pronostic intermédiaire
- la forme Wnt, liée à la perte de la Béta-caténine, rare et de meilleur pronostic
- le groupe D, chez le jeune nourrisson et de plus mauvais pronostic
les syndromes de prédisposition tumorale
on connait actuellement :
- la mutation Ptch est à l’origine du syndrome de Gorlin, qui associe à des naevus baso-cellulaires cutanés, des kystes odontogéniques, des calcifications de la faux et qui prédispose à des tumeurs radio-induites ; le médulloblastome dans le cadre du syndrome de Gorlin est considéré comme de meilleur pronostic mais comme le diagnostic de Gorlin est souvent fait tardivement, il existe un important biais de sélection.

syndrome de Gorlin découvert tardivement ; noter les calcifications de la faux -

PNET du tronc lié à la mutation APC la mutation SHH (Sonic Hedgehog) et SUFU
- la mutation APC (Adenomatous Polyposis Coli), ou syndrome de Turcot ou de Gardner, qui s’associe à des tumeurs coliques.
la connaissance de ces syndromes rares a grandement contribué à la compréhension des voies de cancérigénèse menant à la classification actuelle, qui tend à définir des protocoles de traitements ciblés.
diagnostic
la présentation est souvent aiguë, avec admission en urgence pour hydrocéphalie obstructive (constante dans notre expérience). si on compare les médulloblastomes avec les autres tumeurs de la fosse postérieure, on note que la durée évolutive est plus courte que pour les astrocytomes, et qu’il s’agit d’enfants plus âgés que pour les épendymomes, avec significativement plus de garçons que de filles.


on peut regrouper des différents éléments cliniques en « clusters » correspondant à des groupes de patients :
le bilan initial a pour but de réaliser un grading tumoral : recherche de métastases au niveau crânien ou spinal, recherche de cellules tumorales dans le LCS
l’imagerie
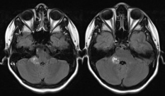
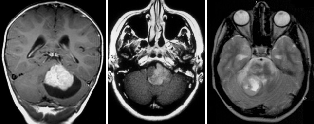
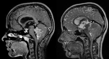
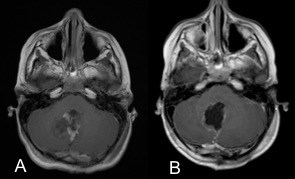
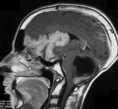
elle peut être très évocatrice, montrant une tumeur spontanément hyperdense en scanner, avec une prise de contraste hétérogène et une hypercellularité bien montrée par la séquence en diffusion.
l’aspect radiologique peut cependant être trompeur.

on recherche systématiquement des métastase par l‘IRM cranio-spinale.
prise en charge chirurgicale
traitement de l’hydrocéphalie
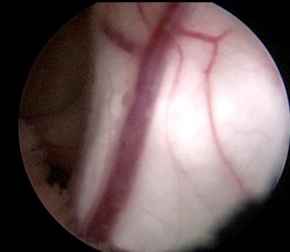
le plus souvent, on réalise en urgence une ventriculocisternostomie endoscopique ; ceci permet de mettre le patient à l’abri du risque d’engagement et de lésion des nerfs optiques, mais ne résout pas le problème de la compression du tronc cérébral.

l’endoscopie reste souvent possible malgré la présence de métastases méningées car le blocage est en général localisé au niveau de l’incisure tentorielle ; elle est même souvent possible en cas de métastase de l’infundibulum tubérien.

on obtient des échantillons de LCS pour la recherche de cellules tumorales, on constate parfois une dissémination tumorale non visible radiologiquement, et on peut parfois réaliser des biopsies endoscopiques, mais celles-ci permettent rarement d’établir le diagnostic et de se passer d’un abord direct de la tumeur.
en cas de tumeur unique

la chirurgie a pour but une résection si possible totale de la lésion ; en cas de reliquat postopératoire accessible, un second look est à discuter.
il s’agit d’une chirurgie lourde, avec une morbidité liée à la localisation tumorale : la chirurgie du médulloblastome est le plus grand pourvoyeurs des tableaux de mutisme cérébelleux.

en cas de tumeur métastatique
la chirurgie a pour but premier le diagnostic histopathologique, qui peut être obtenu par abord direct de la tumeur, ou par abord d’une métastase, si la lésion à biopsier est de volume suffisant pour obtenir le diagnostic histopathologique et le grading de biologie moléculaire.
lorsque la masse tumorale métastatique est volumineuse, une chirurgie de debulking peut être nécessaire afin de préparer le patient pour la radio-chimiothérapie.

prise en charge oncologique
elle est basée sur une association de radio et chimiothérapie, qui varie selon l’âge du patient et le caractère haut risque ou non : le risque est considéré haut en cas de :
- métastase radiologique
- ou présence de cellules tumorales dans le LCS
- amplification N-Myc ou C-Myc
- groupe 3 ou groupe 4

inversement, le groupe Wnt est considéré bas risque.
en cas de récidive, une chimiothérapie de seconde ligne est possible, avec parfois traitement intra-thécal par injection d’une site d’accès intraventriculaire.
devenir oncologique


le rôle de la chirurgie en cas de récidive
en cas de métastase unique ou cliniquement menaçante, une chirurgie peut être indiquée.
une chirurgie à visée de diagnostic moléculaire peut également être indiquée sur les récidives car le médulloblastome présente une tendance importante aux mutations et le profil moléculaire de la récidive orthotopique ou métastatique peut être différent de la tumeur initiale.

devenir clinique
le résultat fonctionnel est grevé d’un grand nombre de séquelles, au plan développemental, moteur, sensoriel et endocrinologue en particulier ; c’est dire que le suivi de ces patients doit être multidisciplinaire et prolongé avec un plan de transition enfant adulte prévu à l’avance.




Commentaires récents