en 2 mots
ce sont des malformations communes, découvertes le plus souvent de façon fortuite ; dans certains cas cependant ils peuvent se compliquer de compression cérébrale, de saignement sous-dural ou intra-kystique, ou déformer la voûte crânienne, et nécessiter une intervention. il n’y a pas de raison de contre-indiquer les sports.
étiopathogénie
Alors qu’ils sont de loin les kystes arachnoïdiens plus fréquents en post-natal, ils sont rares (et différents) en diagnostic anténatal. il s’agit donc très probablement de kystes acquis, c’est une pathologie développementale, comme le suggèrent certaines observations comme celle ci-dessous. 

on note parfois rétrospectivement une ascension du périmètre crânien dans la petite enfance qui suggère une date pour l’apparition du kyste. par ailleurs, il existe une prédominance des garçons (2 cas sur 3) et du côté gauche (2 cas sur 3 également). parfois les kystes arachnoïdiens sylviens sont associés à une inflation globale des espaces méningés et ventriculaires et une augmentation du PC, qui suggère une trouble diffus de l’hydrodynamique intra-crânienne.
diagnostic et décision thérapeutique
il existe différentes situations cliniques ; curieusement, il n’y a en règle générale pas de passage de l’une à l’autre (cf figure ci-dessous).

le kyste arachnoïdien sylvien fortuit
c’est une circonstance de découverte fréquente. si le patient est asymptomatique et que le fond d’oeil est normal, il convient de s’abstenir. chez le nourrisson, un suivi clinique et un contrôle d’imagerie à distance sont cependant nécessaires. Dans notre expérience, aucune kyste asymptomatique ne s’est complication de saignement malgré une pratique des sports que nous avons encouragée. Il ne faut donc pas contre-indiquer les sports, même les sports de contact.
le kyste arachnoïdien sylvien compressif
si au contraire le patient est symptomatique, s’il existe un effet de masse, une chirurgie est à proposer. idéalement, c’est une intervention endoscopique qui permettra au mieux de rétablir une circulation normale du LCS en déstabilisant le moins possible la situation ; le bénéfice de la chirurgie est à mettre en balance avec ses risques, en particulier la survenue d’une collection sous-durale.
le kyste arachnoïdien sylvien compliqué de collection sous-durale
est traité sur la page les hématomes sous-duraux associés aux kystes arachnoïdiens
la déformation crânienne : la « bosse du coiffeur »
la pulsatilité du kyste entraîne une déformation de la région temporale (et non du cerveau, curieusement), qui peut être évolutive et nécessiter une chirurgie majeure (cf. ci-dessous)
traitement des kystes arachnoïdiens sylviens
les différents traitements sont la membranectomie, le drainage et la fenestration endoscopique


le kyste non rompu
le traitement de choix est la fenestration endoscopique. celle-ci consiste à ouvrir les membranes kystiques internes vers les citernes où le liquide reprend une circulation normale.
cette chirurgie comporte un risque de complications, en particulier de collection sous-durale surtout chez le jeunes enfants, mais elle a l’avantage de la simplicité et d’un rapport bénéfice-risque favorable.

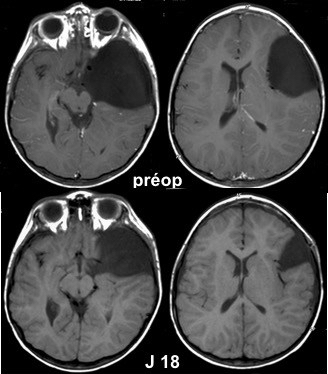
le kyste associé à une collection sous-durale
la seule solution est le drainage sous-dural, soit externe si le liquide des hémorragique, soit interne s’il est fluide. quand le liquide est eau-de-roche, il faut mettre en place une valve ; on a parfois en post-opératoire un syndrome d’hyper-drainage avec céphalées orthostatiques invalidantes.
le kyste avec déformation crânienne
on réalise une membranectomie suivie de cranioplastie. il s’agit d’une intervention majeure qui peut nécessiter la collaboration d’un chirurgien plasticien.


Commentaires récents