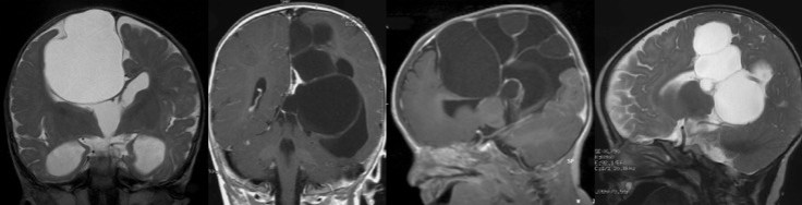
on regroupe sous ce terme des kystes dont la paroi n’est pas méningée mais constituée de tissus cérébraux. il s’agit d’un ensemble très divers de pathologies rares, qui peuvent être diagnostiquées en anténatal.


on regroupe sous ce terme des kystes dont la paroi n’est pas méningée mais constituée de tissus cérébraux. il s’agit d’un ensemble très divers de pathologies rares, qui peuvent être diagnostiquées en anténatal.


Commentaires récents