
synonyme : hydrocéphalie – macrocréphalie – macrocrania – hydrocephalus
en 2 mots
l’hydrocéphalie se manifeste par une hypertension intracrânienne, qui chez le nourrisson entraîne une augmentation du périmètre crânien ; la surveillance de sa croissance est donc un élément indispensable du suivi de tout nourrisson. Chez l’enfant plus grand, on rencontre un tableau d’hypertension intracrânienne d’évolution plus ou moins rapide. le diagnostic anténatal soulève la question du pronostic, qui est souvent réservé voire très défavorable.
la clinique chez le nourrisson
la macrocrânie

on la diagnostique avant tout devant une augmentation du périmètre crânien, qu’il faut idéalement dépister précocement, au moment de la rupture de la courbe (et non quand les valeurs sont au dessus du 97ème percentile).
la macrocrânie s’accompagne d’un aspect globuleux, avec un scalp luisant et aminci, des veines du scalp dilatées (cf. ci-dessous).


piège diagnostique
quand l’augmentation du PC est très progressive, chez un enfant en bon état général qui ne semble pas souffrir, si les mesures du PC ne sont pas reportées sur la courbe, le diagnostic peut être tardif, et c’est la prise de poids, reflétant la macrocranie qui fera errer le diagnostic vers un problème nutritionnel.
complication de la macrocrânie
dans les cas très évolués, la macrocrânie continue de progresser, devenant ingérable pour l’entourage, l’enfant risquant de présenter une escarrification du scalp ; ce type d’évolution dramatique justifie une prise en charge chirurgicale palliative pour des raisons de propreté.
les troubles visuels
quand l’HTIC décompense, on rencontre des troubles oculomoteurs typiques (coucher de soleil, parfois une baisse de vision par atrophie optique, une hypotonie, assez rarement un tableau algique.
le retard développemental
c’est un élément non spécifique de toute maladie du jeune nourrisson
l’engagement

c’est une présentation rare de l’hydrocéphalie, qui survient surtout dans les hydrocéphalies non communicantes
la clinique chez l’enfant plus grand

- c’est un tableau d’HTIC
- aiguë avec troubles de conscience, atrophie optique avec baisse de vision, paralysie du VI
- chronique avec baisse du rendement scolaire, syndrome pyramidal
- l’hydrocéphalie chronique avec tremblement, troubles du mouvement, perturbation de la motricité fine, en particulier l’écriture (Cf. ci-dessous), macrocrânie, parfois troubles endocriniens avec puberté précoce ou gynécomastie, rarement céphalées.
le diagnostic étiologique
le plus souvent, l’étiologie est connue par l’histoire de l’enfant :
- souffrance périnatale à l’origine d’une hémorragie ventriculaire
- méningite
- myéloméningocèle
- ou autre syndrome malformatif
dans d’autres cas, l’hydrocéphalie peut être le premier élément conduisant au diagnostic syndromique

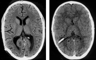
l’imagerie
la sémiologie radiologique retrouve les éléments définissant l’hydrocéphalie : augmentation du volume du liquide et trouble de sa circulation :

l’échographie transfontanellaire
elle est l’examen de première intention en néonatalogie, faite au lit de l’enfant, répétable, elle permet des mesures comparatives ; couplée au Doppler, elle permet de plus une étude de la circulation cérébrale.
cependant elle ne donne qu’un aperçu du tissu cérébral, n’est possible que tant que la grand fontanelle est perméable, et ne remplace pas les autres imageries.
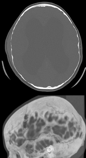
le scanner

il est rapide et plus facile à réaliser que l’IRM (pas d’anesthésie, ou sédation légère) mais il administre des rayons X et n’étudie pas bien le cerveau. Il reste l’examen d’urgence en urgence en cas de suspicion d’obstruction de valve.
l’étude du crâne montre une disjonction des sutures, parfois des lacunes ou un amincissement de la voûte (image ci-contre).
l’IRM

plus difficile à être en oeuvre car plus longue et nécessitant souvent une sédation, c’est elle qui étudie au mieux le tissu cérébral, pour donner des indications sur la cause de l’hydrocéphalie (traces de saignement en période périnatale) et son retentissement et son pronostic (analyse des leucopathies périventriculaires). elle permet également d’étudier le flux du LCS, en pré et en post-opératoire, ce qui oriente la décision chirurgicale.
elle doit être craniospinale avec injection en cas d’hydrocéphalie communicante.
l’imagerie de référence
du fait du drainage, le patient valvé a le plus souvent des ventricules de

taille inférieure à la normale, de plus, son encéphale est rigide (très peu compliant) ; lors d’une obstruction de valve, les ventricules se dilateront donc peu pour une pression qui peut être très élevée.
inversement, les ventricules peuvent rester larges sans être sous pression.
pour éviter les retards d’intervention ou les interventions intempestives, il est donc indispensable de disposer d’une imagerie de référence (scanner ou IRM).
celle ci doit être faite :
- chez un patient asymptomatique
- après l’âge de 5 à 6 ans (taille ventriculaire stabilisée)
- au moins six mois après une révision de valve (retour des ventricules à la normale)
- et validée par l’absence de complication de valve dans les mois qui suivent
l’imagerie de référence doit être identifiée, archivée et disponible à tout moment pour l’équipe de neurochirurgie de garde qui sera amenée à prendre le patient en charge, ce qui nécessite une logistique assez légère et surtout de l’organisation pour être systématique.
le bilan neuro-psychologique
un bilan approfondi est idéalement réalisé après l’âge de 6 ans (année du CP), il permet de formuler un pronostic développemental et d’orienter la scolarité.
en fait, c’est dès le diagnostic initial qu’il faut faire un bilan développemental pour évaluer les besoins de prise en charge en psychomotricité, ergothérapie, kinésithérapie, orthophonie, idéalement dans le cadre d’un CAMPS jusqu’à l’âge de 6 ans.



Commentaires récents