en 2 mots
Il s’agit de lésions très rares. du fait de sa rareté, l’anévrisme rompu n’est souvent diagnostiqué qu’au moment du resaignement. Comme chez l’adulte, le traitement repose sur la chirurgie ou l’embolisation, les indications devant être discutées de façon pluridisciplinaire.
anatomie pathologique
topographie :

anévrysmes secondaires
- maladies artérielles : ci-dessous sont représentés des exemples d’anévrysmes associés à la maladie de Recklinghausen, de Bourneville, d’Alagile

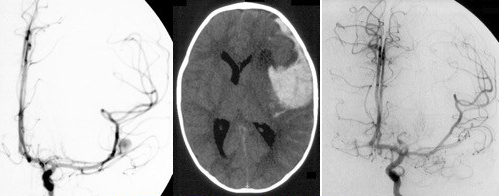
- anévrysmes mycotiques : il s’agit d’une cause d’AVC hémorragique fébrile

nouveau-né, infection à staphylocoque doré ; hémorragie cérébrale révélatrice d’un anévrisme mycotique - anévrysmes traumatiques : en général en regard du point d’impact

diagnostic
l’anévrysme rompu
le tableau clinique est souvent beaucoup moins bruyant chez l’enfant, qui supporte étonnamment bien l’hémorragie ; le risque est donc au retard diagnostique et au resaignement.
chez le nourrisson, la rupture d’anévrysme est très rare, elle se manifeste par un malaise grave qui peut faire évoquer le syndrome du bébé secoué ; on note que des hémorragies rétiniennes peuvent être présentes.

l’anévrysme non rompu

il peut être de découverte fortuite ou se manifester par des signes de compression locale (sinus caverneux).
traitement
il repose sur la microchirurgie ou l’embolisation. Les avantages respectifs de l’un ou l’autre traitement sont à discuter au cas par cas. ces 2 traitements nécessitent des équipes entraînées pour la prise en charge des ces patients souvent en bas âge.

devenir
le devenir clinique en cas d’anévrysme rompu est réservé, avec une mortalité importante pour les patients arrivés en coma grave. Dans l’ensemble le pronostic dépend avant tout de la gravité à l’admission.

Commentaires récents