synonymes : arachnoid cysts – neuroglial cysts
en 2 mots
il s’agit d’un groupe de lésions fréquentes, de nature malformative et non tumorale. Les kystes arachnoïdiens sont constitués de membranes méningées et contenant du liquide cérébro-spinal. ils correspondent à une dilatation des citernes normales. on découvre souvent ces kystes de façon fortuite, ils ne nécessitent alors tout au plus qu’une simple surveillance. Parfois, on découvre des kystes en anténatal, ils ont alors une tout autre signification car ils peuvent être associés à des lésions cérébrales.
anatomie pathologique
on distingue :
- les kystes arachnoïdiens, constitués de membranes arachnoïdiennes ; ils sont le plus souvent isolés, mais sont parfois rencontrés dans la polykystose rénale. ces kystes sont parfois associés à une polykystose rénale familiale
- les kystes ventriculaires correspondant à une loculation des ventricules suites à une infection par exemple
- les kystes neurogliaux, groupe hétérogène qui regroupe
- les kystes porencéphaliques : liés à une cavitation suite à AVC, trauma…
- les kystes du plexus choroïde, de constatation banale en particulier en anténatal
- les kystes des espaces de Virchow-robin
- les kystes entrant dans le cadre de leucodystrophies
les différents sous-chapitres sont donc :
- les kystes arachnoïdiens sylviens
- les kystes arachnoïdiens supra-sellaires
- les kystes arachnoïdiens inter-hémisphériques
- les kystes arachnoïdiens de la fosse postérieure
- les kystes arachnoïdiens de l’incisure tentorielle
- les kystes arachnoïdiens de la convexité
- les kystes arachnoïdiens spinaux
- les kystes neuro-gliaux
- les kystes porencéphaliques
- les collections sous-durales associées aux kystes arachnoïdiens
diagnostic
effet compressif
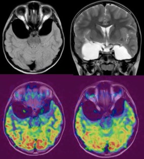
les kystes se révèlent par leur effet compressif sur les structures avoisinantes ou par
- une hypertension intracrânienne
- parfois une croissance anormale de la voûte crânienne (la bosse du coiffeur)
- ou encore par leurs complications (hydrocéphalie, saignement intra-kystique ou collection sous-durale).
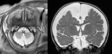
diagnostic anténatal
les kystes étant parfaitement trans-soniques, ils sont aisément dépistés en anténatal ; on note une topographie et une typologie nettement différente de ce qui est diagnostiqué en post-natal
le diagnostic radiologique
- il convient de déterminer s’il s’agit bien d’un kyste, puis de quel type de kyste il s’agit

A : méga-grande citerne ; B : Dandy-Walker ; C : récessus pinéal ; D : porencéphalie - on demande également à l’imagerie de dire si le kyste est compressif ou non, ce qui est souvent difficile à déterminer. de nouvelles techniques d’imagerie comme l’ASL (Arterial Spin Labelling) sont encours d’évaluation dans la prise en charge des kystes arachnoïdiens.

les différentes techniques d’imagerie ont chacune des avantages et des inconvénients, et donc des indications respectives. 






Commentaires récents