synonyme : hyperpression intra-crânienne – HTIC – intracranial hypertension – raised ICP
en deux mots
le volume crânien est clos, si une partie de son contenu augmente, c’est donc au dépens des autres compartiments, et au prix d’une élévation de pression. cette dernière peut être plus ou moins bien tolérée en fonction de la rapidité d’installation, mais elle compromet le fonctionnement du cerveau par diminution de son irrigation ; l’hypertension intracrânienne peut s’aggraver brutalement avec un tableau d’engagement
physiologie
la pression normale
elle varie de 10 mm Hg environ en décubitus à -5 à -10 mm Hg en orthostatisme ; elle s’élève de façon brève lors des efforts physiologiques (toux, défécation).
elle est anormale chez l’adulte si elle reste élevée au dessus de 20 mm Hg de façon durable. chez l’enfant, les valeurs normatives sont plus faibles mais mal connues.
les compartiments intra-crâniens
compartiments anatomiques
la cavité crânienne est cloisonnée par des replis de dure-mère, la faux du cerveau et la

tente du cervelet, qui délimitent :
- la cavité hémisphérique droite
- la cavité hémisphérique gauche
- la fosse postérieure
compartiments physiologiques
on distingue parmi les composants intracrâniens, les compartiments :
- tissulaire, lui-même composée de compartiments :
- intra-cellulaire
- extra-cellulaire
- vasculaire, réparti en compartiments :
- artériel et artériolaire
- capillaire
- veineux
- liquidien, comprenant le liquide cérébro-spinal
- ventriculaire
- cisternal
- des espaces périvasculaires de Virchow-Robin

de la connaissance de cette physiopathologie découlent des traitements adaptés à chaque patient.
la courbe volume-pression
le cerveau n’est pas un volume passif ; il existe des mécanismes tampon, qui permettent d’absorber les fluctuations physiologiques des différents compartiments ; la courbe de Starling (ci-contre) trace la pression intra-crânienne en fonction du volume de liquide injecté par voie lombaire chez des rongeurs.
l’absence d’élévation au début de la courbe traduit les mécanismes de compensation (ΔP faible pour ΔV donné) ; par la suite, la rupture (ΔP élevé pour ΔV identique) traduit l’épuisement des mécanismes de compensation.
a noter que la courbe est à double sens : pour un patient en HTIC, un ΔV faible (ponction ventriculaire par exemple) donnera un ΔP important.
les conséquences de l’hyperpression
globalement, l’hyperpression est bien tolérée par le système nerveux à condition que tous les compartiments anatomiques soient à la même pression ; s’il existe un gradient de pression, la région sur laquelle ce dernier s’exerce souffre et devient symptomatique, même pour une pression peu élevée (Cf. ci-contre).
la pression de perfusion cérébrale (PPC)
elle dépend de la pression intra-crânienne (PIC) et de la pression artérielle moyenne (PAm)
PPC = PAm – PIC
la baisse de la perfusion cérébrale
on estime que pour maintenir la perfusion cérébrale, la PPC doit rester supérieure à 50, voire 60 mm Hg.
en cas d’HTIC, on constate une hypertension artérielle qui permet de maintenir la PPC, c’est le réflexe de Cushing, un signe important d’HTIC.
le gradient de pression
il s’exerce aux régions d’interface entre :
- intérieur et extérieur : le canal optique d’où oedème papillaire, risque de neuropathie optique et de cécité
- compartiments intracrâniens : engagement temporal, sous-falcoriel
- compartiment intra-crânien et spinal : engagement tonsillaire
les mécanismes d’auto-aggravation
ils passent par :
- un mécanisme hydraulique :
- hydrocéphalie
- compression des sinus veineux avec augmentation des résistances et diminution de l’absorption du LCS réalisant l’équivalent d’une pseudotumor cerebri cf. diagramme ci-contre
- un mécanisme ischémique, par compression vasculaire au cours de l’engagement, ou une chute de la PPC
- un mécanisme neurologique : l’ischémie tissulaire peut se combiner avec une anoxémie et une anoxie cellulaire du fait d’une hypoventilation
- du fait d’un coma
- après crise convulsive, avec hypermétabolisme et excito-toxicité
- après inhalation

cette spirale de l’HTIC peut aboutir à un arrêt circulatoire cérébral.
les causes d’hypertension intra-crânienne
il existe fondamentalement une inadéquation entre le contenu et le contenant 
quand l’HTIC est isolée, en rapport avec un trouble hydraulique mais sans dilatation ventriculaire, on parle d’HTIC bénigne idiopathique ou pseudotumor cerebri
le diagnostic d’hypertension intra-crânienne
il se base sur la clinique
- céphalées typiquement matinales, au réveil, rebelles aux antalgiques ; elles sont souvent présentes, mais peuvent manquer dans l’HTIC chronique en particulier chez le jeune enfant (qui a oublié ce qu’était l’absence de douleurs).
- vomissement, typiquement en jet, qui surviennent à l’acmé des céphalées et qui calment ces dernières
- somnolence, qui est un signe d’alarme car c’est le mode d’entrée dans le coma
- manifestations ophtalmologiques avec
- baisse de vision, par neuropathie optique, c’est un signe tardif
- diplopie par étirement du VI.
- manifestations neuro-végétatives : HTA, bradycardie
le diagnostic différentiel
doit être discuté avec les autres causes de céphalées

les examens paracliniques
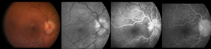
- le fond d’oeil, qui montre
- un oedème du nerf optique
- parfois des hémorragies rétiniennes (signe d’alarme)
- voire déjà une atrophie optique (signe tardif et de mauvais pronostic).
- qui doit écarter une druse de la papille (diagnostic différentiel, qui peut nécessiter une fluorographie)
l’apparition de l’oedème au fond d’oeil est retardée, un fond d’oeil normal n’élimine pas une HTIC. 
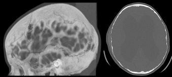
- l’imagerie, qui montre :
- la cause de l’HTIC

- ses complications (engagement, Chiari, hydrocéphalie)
- ses conséquences osseuses (ci-contre) :
- empreintes digitiformes
- sutures étirées, disjointes

- voûte amincie voire lacunaire
- platybasie, selle turcique vide
- ses conséquences ophtalmologiques (ci-contre)
- dilatation de la gaine du nerf optique,
- bombement papillaire
- aplatissement des globes
- la cause de l’HTIC
- le Doppler transcrânien, qui reflète l’hémodynamique intracrânienne et donc indirectement la pression ; il ne s’agit donc par d’une mesure de la pression, mais il donne des indications précieuses sur son retentissement cérébral (cf. ci-dessous).
-

Doppler avant (à gauche) et après (à droite) ponction ventriculaire
-
- la mesure de PIC : soit
- mesure directe par ponction lombaire (si l’imagerie ne montre pas de gradient faisant craindre un engagement) : peu fiable car instantanée et sujète à fluctuations (cris)
- mise en place d’un capteur intra-parenchymateux, invasive mais qui constitue la méthode de référence avec monitoring sur le nycthémère voire sur une période prolongée.






Commentaires récents