synonymes : spinalipome, lipomyélocèle, myélolipocystocèle, spinal lipoma
en 2 mots
le myélolipome est un dysraphisme fermé responsable de déficits moteurs, de problèmes sphinctériens, de scoliose et de douleurs qui sont rarement présents à la naissance mais apparaissent et s’aggravent avec le temps. La chirurgie est soit curative quand le patient est symptomatique, soit préventive quand il est asymptomatique. Il s’agit d’une chirurgie délicate, il faut donc évaluer prudemment la balance risque-bénéfice de l’intervention.
étiologie
le myélolipome résulte d’une absence de séparation entre la moelle et les tissus sous-cutanés au moment de la neurulation secondaire. le plus souvent le lipome est isolé et sporadique. le risque de récurrence lors d’une grossesse ultérieure est alors quasi-nul. Un myélolipome, de type terminal, fait souvent partie de la triade de Currarino avec imperforation anale et agénésie sacrée, due à la mutation HLXB9 ou à d’autres mutations. Contrairement à la myéloméningocèle, l’acide folique n’a pas d’effet préventif.
anatomie pathologique
on distingue :
- le lipome terminal : la moelle se termine par le lipome dans le fond du cul-de-sac sacré
- le lipome postérieur : le lipome adhère à la face postérieure de la moelle, la moelle et/ou les racines se poursuivent en dessous de la limite inférieure du lipome
- le lipome transitionnel : il combine les deux précédents, des racines nerveuses sortent du lipome
- la myélolipocystocèle terminale : la moelle se termine par un lipome qui adhère au fond d’une poche méningée sous cutanée basse
- le film lipomateux : le film est épaissi, chargé de graisse, souvent court et tendu
la classification de ces différents types de lipomes est malgré tout arbitraire et il existe en fait un bon nombre de cas intermédiaire, il s’agit plus d’un continuum que d’entités bien individualisées.
par ailleurs, il faut distinguer de ces lipomes dysraphiques le lipome médullaire pur, non dysraphique, qui atteint surtout la jonction bulbo-médullaire.

La moelle est attachée aux tissus environnants par l’intermédiaire du lipome. Cette traction entraine une ischémie de la moelle à l’origine de déficits neurologiques progressifs. parfois, la traction entraîne également une perturbation de la circulation du liquide méningé, qui s’accumule dans la moelle formant une cavité syringomyélique ; la signification de cette cavité est discutée, mais son apparition est souvent interprétée comme un signe de souffrance médullaire.
diagnostic

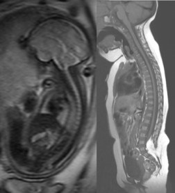
- le diagnostic est rarement fait en anténatal car il n’y a le plus souvent pas de kyste. à un stade précoce de la grossesse. la lésion peut prendre l’aspect d’un kyste à paroi épaisse, cette paroi va progressivement se charger de graisse à mesure que le kyste va régresser. de plus, les structures ne sont pas encore habitées par la graisse jaune, d’où un aspect IRM surprenant (avec la forme d’un lipome mais pas la couleur cf ci-contre).
- Le myélolipome se présente à la naissance comme une masse graisseuse souvent importante, asymétrique (prédominent le plus souvent à gauche) associée à des anomalies plus ou moins importantes du revêtement cutané de la ligne médiane avec angiome plan, zone de peau atrophique, excroissance contenant divers tissus parfois ossifiés, etc.

- il peut exister d’emblée un déficit moteur, une rétention d’urine, une déformation ou une hypotrophie d’un membre inférieur.
- le lipome peut rester asymptomatique pendant des années, parfois jusqu’à l’âge adulte, et se révéler tardivement par
- des douleurs rachidiennes

pied creux et griffe des orteils à droite - des troubles sphinctériens
- des paresthésies, dysesthésies et engourdissement d’un membre inférieur
- des troubles trophiques avec ulcérations, inégalité progressive de longueur des membres, pied creux avec griffe des orteils
- des troubles de la marche d’origine souvent mixte
- des douleurs rachidiennes
la symptomatologie est souvent trompeuse, et varie suivant l’âge, ce qui rend difficile de déterminer si le lipome est symptomatique ou non ; pour faciliter la décision opératoire, on peut classer les symptômes en : indicatifs ; compatibles ; et diagnostics différentiels.
chez le nourrisson 
chez l’enfant plus grand

évolutivité
la dégradation est le plus souvent très lentement progressive « agonizingly subtile« , mais dans certains cas une dégradation aiguë survient à la suite d’un traumatisme, d’une station assise prolongée (voyage), d’un accouchement.
traitement

La chirurgie est un geste délicat avec des risques de détérioration neurologique, surtout sphinctérienne, et de douleurs neuropathiques. l’indication est :
- soit prophylactique chez un patient asymptomatique
- soit curative devant un lipome symptômatique
l’opération n’a pas pour but de réséquer totalement le lipome mais de défixer la moelle et en réséquant suffisamment de lipome pour obtenir une défixation durable.
On décide de l’opération quand on estime que ses risques sont moindres que l’évolution naturelle attendue. les complications postopératoires sont cependant généralement régressives, alors que les déficits constitués spontanément sont en général peu ou pas améliorés par l’opération. c’est donc une prise de décision difficile, qu’il s’agisse d’un patient symptomatique ou non.
le devenir
l’enfant porteur d’un myélolipome n’a en règle générale pas de lésion cérébrale, il fait une scolarité normale.

Il peut être gêné par des troubles de la marche liés à un déficit ou une déformation des pieds, parfois des troubles trophiques ou des ulcérations ; il est surtout gêné par des troubles sphinctériens qui sont parfois sévères (sondages intermittents, pertes d’urines et de selles) et des troubles sexuels.
la refixation médullaire du myélolipome
Il existe un risque de refixation médullaire, qui survient chez environ 15% des patients, et nécessite une réintervention. les symptômes sont de nouveau
- les troubles moteurs, avec réduction du périmètre de marche
- l’aggravation sphinctérienne
- les douleurs des membres ou du rachis
- les troubles trophiques avec blessures indolores, mal perforant
- la déformation des membres inférieurs
- la scoliose.
la chirurgie pour refixation médullaire comporte des risques non nuls d’aggravation, en particulier au plan sphinctérien, mais en cas d’abstention, le patient continue de se détériorer neurologiquement et perd la marche. il faut donc de nouveau prendre une décision difficile.



Commentaires récents