synonymes : macrocéphalie idiopathique – arachnoïdomégalie – hydrocéphalie externe – external hydrocephalus
en 2 mots
c’est une augmentation anormale du périmètre crânien par augmentation du volume liquidien péricérébral situé dans les espaces méningés ; on parle aussi, improprement, d’hydrocéphalie externe : ce n’est pas une hydrocéphalie car le liquide circule correctement. l’enfant se développe normalement. la macrocéphalie tend à se corriger spontanément avec la croissance, la macrocéphalie ne nécessite le plus souvent aucune mesure particulière.
physiologie
l’arachnoïdomégalie, ou expansion des espaces arachnoïdiens, est une constatation quasi-universelle entre 3 et 6 mois. on parle de macrocéphalie essentielle lorsque le PC dépasse le 97ème percentile en rapport avec une arachnoïdomégalie sans étiologie retrouvée. cette expansion liquidienne s’intègre dans la maturation des enveloppes cérébrales en synchronie avec le développement cérébral (cf. tableau ci-dessous)
l’âge de survenue de l’arachnoïdomégalie correspond vraisemblablement à une période de transition dans la physiologie du LCS : il y a augmentation rapide de la sécrétion alors que la résorption n’est pas encore mature. la maturation des granulations arachnoïdiennes dépend de la pression négative intra-sinusienne, et donc de l’acquisition de la posture assise. si le mismatch entre sécrétion et absorption de LCS survient avant que la station assise soit acquise, le PC peut continuer d’augmenter de façon trop rapide et le poids de la tête gêner l’acquisition du contrôle postural : on remplace le cercle vertueux (à gauche) par un cercle vicieux (à droite).

une aide modeste (kinésithérapie, acetazolamide) suffit généralement à faire passer le cap et à briser le cercle vicieux.
on peut également formuler l’hypothèse (P Dhellemmes) d’une pathologie suturaire : la suture répondant trop bien au stimulus mécanique de la pression intracrânienne, ce qui est en quelque sorte le contraire de la craniosténose.
diagnostic
la clinique
la macrocéphalie apparaît entre 3 et 6 mois, chez un enfant présentant souvent déjà à la naissance un PC dans les valeurs normales hautes ; le PC augmente de façon régulière, sans cassure de la courbe. l’enfant présente un bon développement, mais parfois un retard d’acquisition du tonus axial peut être présent :
- cause du retard de maturation méningée
- ou conséquence d’une tête déjà trop lourde (Cf. infra).
il existe souvent une prédisposition familiale, et on retrouve régulièrement un PC élevé chez un des parents.
en raison de l’excès d’appui, la macrocrânie s’accompagne souvent d’une déformation crânienne à type de crâne oblique ovalaire (improprement appelé plagiocéphalie postérieure).
l’imagerie
- le plus souvent, aucune imagerie n’est nécessaire.
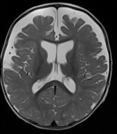
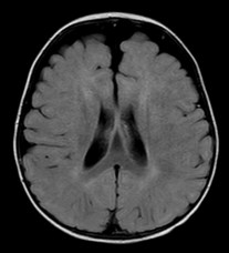
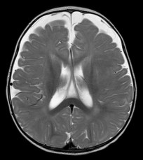
- l’échographie montre que le liquide est situé dans l’espace sous-arachnoïdien et non sous-dural, sachant que les deux peuvent co-exister. la valeur limite de la distance sinus sagittal- cortex est classiquement de 6 mm. les ventricules sont souvent légèrement dilatés également.

-

l’IRM identifie les veines et distingue l’épanchement sous-arachnoïdien du sous-dural qui lui est parfois associé. elle permet aussi de distinguer les macrocranies essentielles vraies des autres causes de macrocrânie : macrocéphalie vraie (syndrome de Sotos)
diagnostic différentiel : les macrocéphalies secondaires
dans de rares cas, la macrocéphalie peut être favorisée par :
la rétention hydrosodée liée à une corticothérapie

l’achondroplasie
elle entraîne une expansion des espaces arachnoïdiens avec une macrocéphalie, souvent en rapport avec une hyperpression veineuse par sténose des foramens jugulaires. Le PC est donc supérieur à la normal dans l’achondroplasie, il existe donc des courbes de PC spécifiques des achondroplastes, garçons et filles.
cette macrocéphalie peut favoriser la survenue de collections sous-durales.
la polykystose rénale

la dysostose cléïdo-crânienne
le PC est augmenté, la fontanelle est large, voire extrêmement large, mais il n’y a pas réellement d’expansion des espaces arachnoïdiens ; on retrouve une pseudarthrose ou une agénésie des clavicules.

diverses pathologies métaboliques

ici, macrocrânie révélatrice d’un déficit de l’oxydation des acides gras à chaînes courtes (SCAD)
prise en charge
la macrocéphalie essentielle ne nécessite le plus souvent aucun traitement. lorsqu’elle est évolutive, au delà de +3DS, et qu’elle entraîne un retentissement fonctionnel (hypotonie, retard du contrôle de l’extrémité céphalique), on peut proposer :
- une kinésithérapie à visée de tonification axiale
- un traitement par Acétazolamide (Diamox) 10mg/kg en 3 fois, qui est souvent efficace à condition de l’administrer précisément toute les 8h (en réveillant l’enfant).
- en aucun cas une intervention chirurgicale



Commentaires récents