tumeurs frontales – tumeurs temporales – tumeurs pariétales – tumeurs occipitales – tumeurs insulaires – lobar tumors – mapping
en 2 mots
ce sont des tumeurs d’une grande diversité, pouvant nécessiter une prise en charge en urgence devant une aggravation rapide due à une tumeur volumineuse, ou au contraire une évaluation approfondie en cas de tumeur de petite taille associée à de l’épilepsie, parfois une simple surveillance dans le cas de lésions symptomatiques.
tout dépend de la nature et de la localisation de la tumeur : la présensation, la prise en charge et le pronostic.
les différents types de tumeurs lobaires
on rencontre :
- l’astrocytome pilocytique
- l’astrocytome diffus
- les tumeurs desmoplasiques du nourrisson
- l’épendymome
- le xanthoastrocytome
- différentes tumeurs malignes, rares : le glioblastome, les tumeurs embryonnaires (PNET), les tumeurs tératoïdes et rhabdoïdes (ATRT), le mélanome…

la technique opératoire est détaillée sur la page dédiée aux tumeurs lobaires
diagnostic des tumeurs hémisphériques
la clinique
les tumeurs lobaires se présentent comme une masse souvent volumineuse, les symptômes sont le plus souvent:
- l’hypertension intracrânienne, qui peut être aiguë, voire suraiguë décompensée par exemple par une ponction lombaire ; chez le nourrisson elle entraîne une augmentation du périmètre crânien.
-

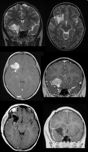
gangliogliome ; en haut : lésion épileptogène, décision de surveillance ; au centre : saignement tumoral, décision de résection ; en bas : après exérèse l’épilepsie, avec une sémiologie variable : soit crises généralisées, soit crises focales qui ont une valeur de localisation de la tumeur ; il est important de distinguer :
- l’épilepsie symptôme : d’une tumeur souvent volumineuse, (qui peut s’engager à la suite des crises)
- et l’épilepsie maladie, chronique, ancienne, en rapport avec une lésion dont on ne sait souvent pas initialement si elle est tumorale ou dysplasique
- un déficit plus rarement chez l’enfant car le cerveau se réorganise en même temps que la tumeur progresse (neuroplasticité)
- de plus en plus souvent une lésion asymptomatique, soit de découverte fortuite, soit dépistée dans le cadre du bilan d’un syndrome de prédisposition tumorale (NF1)
l’imagerie
elle permet :
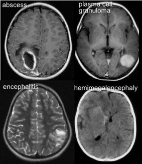
- de s’assurer qu’il s’agit bien d’une tumeur (cf. diagnostics différentiels ci-contre)
- de connaître la localisation et la taille de la tumeur
- de connaître son extension exacte, son caractère infiltrant ou non, métastatique ou non
- d’évaluer son retentissement cérébral (HTIC, hydrocéphalie, effet de masse, engagement)
-

IRM fonctionnelle langage de connaître ses relations précises avec les régions fonctionnelles : tenseur de diffusion, IRM fonctionnelle
- et de former des hypothèses sur sa nature (séquences de diffusion, spectro-IRM) ; l’imagerie seule ne permet cependant pas de se passer d’une certitude histo-pathologique.


prise en charge oncologique
la décision de traiter (ou non parfois) et des moyens à mettre en oeuvre est prise de façon collégiale bien que très souvent urgente, en se basant sur les hypothèses diagnostiques fondées sur l’imagerie, la clinique et le terrain.

les biopsies
elles sont indiquées quand :
- plusieurs diagnostics sont possibles
- qui conduisent à des traitements différents
- et qu’il n’y a pas d’indication à une décompression urgente
des biopsies stéréotaxiques permettent de réaliser un prélèvement de façon « minimalement invasive », toutefois dans les tumeurs lobaires, il existe un risque de lésion des vaisseaux corticaux, et une biopsie à ciel ouvert peut être plus sûre.

la chirurgie d’exérèse
la technique opératoire est détaillée sur la page dédiée aux tumeurs lobaires
elle est indiquée parfois en urgence, dans un but de :
- diagnostic histopathologique
- décompression cérébrale
- traitement de l’épilepsie
- si possible résection complète
les tumeurs de bas grade de l’enfant sont rarement infiltrantes vis-à-vis du cortex : au contraire de celles de l’adulte, elles sont souvent bien limitées, une exérèse totale est donc souvent possible, même en région proche des zones fonctionnelles.

le caractère complet de l’exérèse peut être affirmé par l’IRM per-opératoire
certaines tumeurs sont malheureusement infiltrantes : c’est la cas des gliomes diffus, de certaines tumeurs de haut grade, mais aussi des tumeurs dysembryoplasiques. elles sont malgré tout résécables si :
- la tumeur s’est développée très lentement et que le cerveau a pu se réorganiser (neuroplasticité), hypothèse que l’imagerie fonctionnelle peut conforter
- elles sont en zone non éloquente
- si le sacrifice fonctionnel peut être envisagé comme prix de la guérison (comme une réduction du champ visuel).
la chirurgie d’exérèse en région fonctionnelle
elle est souvent possible sans déficit post-opératoire ou avec un déficit modéré, dont le risque est justifié si cette résection est nécessaire pour obtenir une guérison.
la sécurité de cette chirurgie est accrue par l’imagerie fonctionnelle. la chirurgie éveillée a donc très peu d’indications chez l’enfant, indépendamment des difficultés techniques.



Commentaires récents