nosologie
c’est une cause rare de méningite
il faut différencier les fistules spontanées :
- des fistules dues à un traumatisme ancien négligé (parfois impact au vertex avec contre-coup à la base)
- des méningocèle ethmoïdales malformatives
ici, la fistule est secondaire à une usure progressive ostéo-durale liée à une hypertension intracrânienne chronique, possiblement favorisée par une fragilité par trouble du métabolisme osseux.
diagnostic clinique
elle se révèle par une rhinorrhée claire, ou par une méningite chez un patient qui a présenté auparavant une rhinorrhée claire qui n’avait pas attiré l’attention.
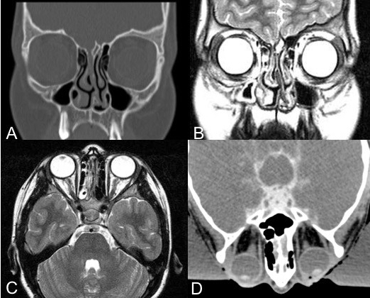
diagnostic radiologique

le bilan radiologique peut rester négatif ou douteux, c’est l’exploration chirurgicale qui est le critère diagnostique de référence.
traitement
il est chirurgical ; la vaccination anti-pneumococcique est illusoire si la brèche persiste.
il faut à la fois :
- draîner le LCS : par un drainage lombaire externe
- fermer la brèche : la voie endodurale est plus invasive que la voie endonasale mais permet au mieux de contrôler les limites de la brèche et de réaliser une fermeture étanche ; l’une et l’autre voie ne permettent pas de préserver l’olfaction du côté opéré.
technique



Commentaires récents