synonymes : angiome ; arteriovenous malformation ; pial fistula
rationnel
la chirurgie peut être réalisée :
- en urgence devant une rupture de la malformation avec hémorragie cérébrale ; elle a alors pour but la décompression cérébrale et si possible l’éradication de l’angiome
- de façon programmée pour une malformation non rompue ou un reliquat angiomateux ; elle a pour but l’éradication complète de l’angiome. la neuronavigation peut être une aide précieuse pour une lésion résiduelle profonde dans des tissus cicatriciels
les particularités pédiatriques
les MAV de l’enfant sont immatures, c’est à dire qu’on ne retrouveras pas comme chez l’adulte de nidus bien limité par un plan gliotique ; au contraire, les vaisseaux anormaux infiltrent le parenchyme autour du nidus principal
par ailleurs la croissance vasculaire n’étant pas terminée, il faut s’attendre à des récidives parfois tardives, plusieurs années après une angiographie apparemment satisfaisante.
principes de technique opératoire
- analyser la vascularisation : les pédicules directs sont coagulés à leur entrée dans le nidus, les pédicules « en passant » sont respectés tout en coagulant les branches qu’ils donnent au nidus.

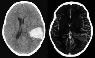
- se baser sur l’angioscanner pour localiser l’angiome par rapport à l’hématome. Cet examen permet de savoir dans quelle région de la cavité de l’hématome on trouvera le nidus.

- tailler un volet assez large pour contrôler les pédicules et le drainage

- contrôler les pédicules artériels de manière circonférentielle avant de les coaguler

- terminer par la veine de drainage principal (qui est redevenue bleue par suppression des shunts artério-veineux).
technique
nidus classique
« go for the straights, beware of coils » (R Humphreys, Cf. schémat en frontispice et ci-dessous)

dans l’exemple ci-dessous, on identifie les pédicules artériels décochés par les branches sylviennes « en passant ». la corticotomie en arrière du nidus permet d’identifier les pédicules artériels (« straight« ) en respectant les veines artérialisées tortueuses (« coils« ). après dissection circonférentielle des artérioles, celles ci sont coagulées et sectionnées, en circonscrivant progressivement le nidus et en terminant par le ou les pédicules veineux.

MAV immature
les MAV de l’enfant, surtout du jeune enfant, se présentent souvent comme une résille angiomateuse avec un nidus plus ou moins bien constitué. la résection de la MAV devient donc la résection d’un gyrus dysplasique, suivant une technique proche de la chirurgie des gliomes.

par ailleurs, cette ambiance de vaisseaux immatures peut faire le lit des récidives angiomateuses.
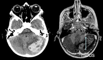
MAV cérébelleuse
les MAV cérébelleuses sont particulièrement dangereuses et sont au premier rang de la mortalité par saignement de MAV.
il s’agit donc d’une indication de chirurgie urgente, sans attendre la dégradation neurologique qui est brutale.
l’imagerie injectée (angioscanner ou comme ici ARM) permet de localiser le nidus par rapport à l’hématome.
opératoirement, devant un cervelet tendu, il est souvent illusoire de tenter de contrôler les pédicules avant d’évacuer l’hématome, cette évacuation est alors le premier temps de l’abord du nidus, qui est ensuite contrôlé en isolant progressivement les afférences artérielles à sa périphérie et en terminant par le drainage veineux.
ici, le saignement opératoire est plus lié aux veines cortico-durales et aux sinus veineux duraux sous pression qu’à la MAV elle-même.

dans certains cas, où les pédicules sont volumineux et le drainage peut être contourné, on parvient à réaliser un contrôle exsangue de la malformation.

difficultés chirurgicales suivant le temps opératoire

les transmissions à l’anesthésiste
retour à la page chirurgie des MAV

Commentaires récents