
en 2 mots
il existe des types histo-pathologique propres au nourrisson, comme les tumeurs desmoplasiques, les papillomes du plexus choroïde, et d’autres que l’on retrouve chez des enfants plus grands voire chez des adultes, mais qui se présentent de manière très différente.
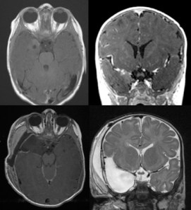
les différents types de tumeurs cérébrales du nourrisson
les principaux types tumoraux rencontrés chez le nourrisson sont rares chez les patients plus âgés. ils sont dominés par les tumeurs desmoplasiques et le papillome du plexus choroïde.
le diagnostic
en anténatal
le diagnostic est parfois fait devant une masse tumorale, souvent une hydrocéphalie. il existe alors une double incertitude ; celle du devenir oncologique et celle du développement de l’enfant.
pour en savoir plus :
Antenatal diagnosis of a third ventricular mass: fetus in fetu or teratoma?
chez le nourrisson

la clinique est souvent réduite à une augmentation rapide du périmètre crânien, parfois, une tuméfaction molle sous-cutanée lorsque la voûte est lysée ; au moment du diagnostic, il existe le plus souvent un tableau d’hypertension intra-crânienne souvent sévère.

dans les tumeurs gliales, une présentation épileptique est fréquente.
le devenir oncologique
il dépend :
- de la qualité de résection
- de l’histopathologie.

de façon surprenante, les gliomes de bas grade et les tumeurs germinales ont un pronostic réservé chez le nourrisson
le devenir fonctionnel
il est éminemment variable ; il dépend de la localisation, de la sévérité et de la durée de l’HTIC, et des complications des traitements chirurgicaux, chimiothérapie et le cas échéant radiothérapique.





Commentaires récents