synonymes : engagement tonsillaire chronique ; Arnold-Chiari de type 1 ; chronic tonsillar herniation
en 2 mots
il s’agit d’un engagement chronique des tonsilles (ou amygdales) du cervelet dans le foramen occipital avec compression de la moelle allongée (ou bulbe rachidien).
cette malformation peut résulter de multiples causes, elle survient schématiquement chaque fois qu’il existe :
- un excès de croissance du cervelet
- un développement insuffisant de la cavité crânienne
- une hyperpression au dessus
- une hypopression en dessous
au total il s’agit avant tout d’un problème d’hydraulique intracrânienne. une bonne compréhension de ces mécanismes permet d’apporter les solutions les mieux adaptées à chaque cas.
pathogénie

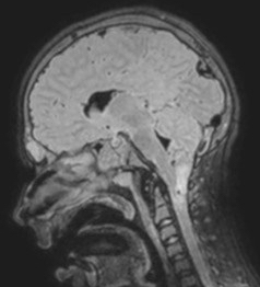
la malformation de Chiari isolée est une pathologie développementale, donc pas forcément congénitale, comme le montrent de rares cas de Chiari acquis documentés comme l’observation ci-dessous.
on observe parfois la constitution d’un engagement tonsillaire après un saignement méningé néonatal du à une souffrance périnatale (prématurité, anoxie, traumatisme néonatal). Statistiquement, la malformation de Chiari est plus souvent associé à une naissance difficile, un gros bébé, premier de fratrie (plus du tiers des cas dans notre expérience).

globalement, le développement de l’engagement tonsillaire chronique peut être la conséquence de :
- un cervelet trop volumineux (cf. Lhermitte-Duclos)
- un arrière-crâne trop petit (craniosténose lambdoïde)
- une hyperpression sus-tentorielle (hydrocéphalie, pseudo-tumor, craniosténose)
- une hypopression spinale (cf. drainage lombaire, ponction lombaire)
la physiopathologie : hydraulique intracrânienne

le terme « malformation » est trompeur car il s’agit en fait d’un processus dynamique et non d’un état statique. de plus, c’est une lésion développementale, pas forcément congénitale.
l’engagement tonsillaire chronique peut résulter d’une hypertension intracrânienne prolongée, en rapport avec un trouble hydrodynamique. on rencontre ainsi des Chiaris associés à la pseudo-tumor cerebri, aux craniosténoses, etc. il existe ainsi un spectre de pathologies hydrauliques intracrâniennes avec des recoupements symbolisés sur le diagramme ci-dessus.

inversement, une hypotension liée à une fuite rachidienne conduit à une aspiration des tonsilles vers le bas, ce qui est une complication classique des valves lombo-

péritonéales ; de la même façon, une ponction lombaire peut récompenser de façon dramatique une malformation de Chiari.
une fois la tonsille engagée dans le foramen, elle tend à descendre progressivement, ce qui est possiblement lié à la pulsatilité du tissu cérébelleux liée à la circulation sanguine (effet de marteau hydraulique).
les Chiaris secondaires
il est alors préférable de parler d’engagement tonsillaire chronique ; on le rencontre dans :
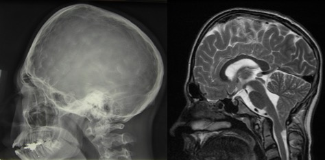
- les craniosténoses, surtout celles qui impliquent les sutures lambdoïdes et la sagittale (Mercedes-Benz syndrome)

hypophosphatasie avec fermeture multisuturaire réalisant un aspect d’oxycéphalie associée à un engagement tonsillaire chronique - de nombreuses maladies du squelette

engagement tonsillaire chronique lié à différentes maladies du cerveau et de ses enveloppes. il s’agit ici de diagnostics différentiels de la malformation de Chiari.
devant un engagement tonsillaire chronique, il faudra donc rester vigilant et ne pas méconnaitre une pathologie plus complexe sous-jacente, sous peine de complications post-opératoires.


Commentaires récents