synonymes
VP-shunt ; vvp ; valve ; dérivation ventriculo-péritonéale
au sens strict, la valve est le mécanisme anti-retour qui régule l’évacuation du LCS. on élargit le sens pour désigner le drainage entier (qui comprend la valve, plus le cathéter proximal (le plus souvent ventriculaire) et le cathéter discal (le plus souvent péritonéal)
les différentes valves
on différencie les shunts
selon leur point de départ, le point d’arrivée, le type de système de valve, le type de cathéter. il existe sur le marché de nombreux modèles de valves, et beaucoup de patients sont encore porteurs d’un modèle qui n’est plus commercialisé…certaines valves comportent une partie métallique, qui peut interférer avec l’IRM, voire un dispositif de réglage susceptible d’être déréglé par l’IRM ; d’où l’importance de savoir de quel modèle da valve in s’agit au moment de passer une IRM (cf. infra).
le point de départ :
- ventriculaire : le plus fréquent pour les hydrocéphalies communicantes
- sous-dural : pour les collections sous-durales de LCS, par exemple associées au kystes arachnoïdiens
- kystique : pour les kystes arachnoïdiens ou autres, les cloisonnements intra-ventriculaire
- lombaire : essentiellement pour le traitement de la pseudo-tumor cerebri
- cavité syringomyélique
le point d’arrivée :
- péritonéal : le plus souvent utilisé car le plus adapté à l’enfant (possibilité de laisser d’emblée la longueur suffisante pour toute la croissance) et aux éventuelles réinterventions
- atrial : rarement utilisé, seulement en cas de contre-indication à l’utilisation du péritoine (sepsis prolongé, ascite)
- sous-galéal : pour la dérivation d’un liquide hémorragique chez le prématuré
- autres : pleural, …
le type de valve
- à débit constant : les plus utilisées dans notre expérience car les plus physiologiques : adaptées à une sécrétion constante de LCS, autorisent des variations de pression en fonction de la posture et de l’activité
- à pression contrôlée encore appelées différentielles (elles-mêmes divisées en pression fixe, pression réglable, avec ou sans système anti-siphon, gravitationnel ou autre) : elles sont basées sur le principe d’une soupape qui s’ouvre à partir d’un seuil de pression (clapet taré). elles ont pour inconvénient structurel de favoriser l’hyperdrainage. elles sont malgré tout utilisées surtout pour les nouveau-nés ou prématurés en raison de leur faible résistance, et aussi d’une certaine tolérance aux liquides albumineux.

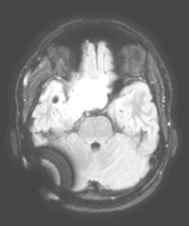
artéfact occasionné apr une valve Sophysa en séquence Flair ; en séquence T2* les images sont totalement illisibles. - les valves réglables contiennent le plus souvent un aimant qui entraîne plus ou moins d’artéfacts radiologiques (cf. ci-contre).
- sans valve : utilisé quand le liquide est hémorragique, ou très albumineux, de façon temporaire mais plus prolongée que pour un drainage externe
- avec ou sans réservoir : le réservoir sert à ponctionner (par le neurochirurgien exclusivement) pour prélever du LCS ou pour tester la valve. il est important qu’il existe un réservoir sur le cathéter ou sur la valve (surtout si le patient a un spina bifida qui empêche les ponctions lombaires aussi bien que sous-occipitales…).

le type de cathéter
- stripés et enduits : contenant peu de baryum, ils provoquent peu de réaction inflammatoire et de dégradation liées au système immunitaire ; enduits, ils coulissent mieux sous la peau pour se dérouler au cours de la croissance. ils sont donc mieux adaptés à l’enfant que les cathéters imprégnés de Baryum.
- imprégnés de baryum : le Baryum a pour rôle de les rendre radio-opaques et donc visibles radiologiquement. il est relargué dans les tissus et remplacé par du calcium ce qui cause une dégradation du cathéter et une adhérence sous-cutanée qui pose des problèmes du fait de la croissance (rupture).
- imprégnés d’antibiotiques : en théorie une bonne idée, en pratique l’efficacité de ces cathéters sur le taux d’infection n’est pas prouvée clairement ; de plus ils présentent l’inconvénient sérieux d’être également imprégnés de Baryum

dégradation des cathéters liées à la présence de Baryum : gauche : pseudo-tumeur inflammatoire sous-cutanée ; centre : tissus cicatriciel autour du cathéter ; droite : dégradation du cathéter
comment les reconnaître ?
il existe un grand nombre de valves ; il est important pour le radiologue qui fait une IRM quel est le type de valve en raison des implications sur l’image et sur le fonctionnement de la valve (en pratique ce surtout les anciennes sophysas qui se dérèglent dans l’IRM). les caractéristiques radiologiques et le profil des principales valves est détaillant le catalogue des valves

Commentaires récents