synonymes : germinomes – séminomes – tératomes – germ-cell tumors
en 2 mots
ce sont des tumeurs rares, atteignant en majorité la région pinéale et la région supra-sellaire, dont le traitement est chirurgical et médical ; elles ont souvent une composante maligne mais elles sont très sensibles aux traitements radio- et chimiothérapique et le taux de guérison est élevé.
sex-ratio
les tumeurs germinales pinéales sont à nette prédominance masculine, surtout les tumeurs sécrétantes ; c’est l’inverse pour les tumeurs germinales supra-sellaires qui sont plus fréquentes chez les filles, alors que les tumeurs bipôlaires ont un sex-ratio intermédiaire.
anatomie-pathologie
ce sont des tumeurs dans la majorité des cas hétérogènes, avec des composantes reproduisant les différents tissus de l’embryon et de ses annexes placentaires
- séminomateux (« germinome pur »)
- tumeur du sac vitellin ou sinus endodermique (« yolk sack ») : sécrétant l’αFP
- carcinome embryonnaire sécrétant également l’αFP
- choriocarcinome : sécrétant la βHCG
- tératome immature
- tératome mature
de plus, il existe une infiltration des cellules lymphoplasmocytaires qui peut prédominer sur les cellules tumorales, et en imposer pour une granulome inflammatoire. cette réaction immunitaire du patient contre la tumeur rend compte de la survenue de tumeurs germinales chez des patients immuno-déprimés (greffés rénaux) ou de la progression tumorale sous traitement immuno-dépresseur.
la localisation
elle atteint surtout la ligne médiane, correspondant à la migration des cellules de la lignée germinale le long de la ligne médiane de l’embryon. elles siègent en particulier :
- la glande pinéale
- l’infundibulum tubérien
- elle peut également être bipôlaire, intéressant ces deux régions

bipolar tumor, negative markers ; first surgery for biopsy/resection of infundibular tumor then chemotherapy, then resection of residue of pineal tumor. - temporale et crânio-maxillaire (Cf. frontispice)

- médiastinale
- rétro-péritoinéale
- gonadique
- coccygienne
les tumeurs germinales sécrétantes cérébrales
diagnostic
elles sont diagnostiquées sur les marqueurs tumoraux αFP et βHCG dans le sang et le LCS (ce dernier, obtenu lors du drainage de l’hydrocéphalie) qui ont valeur d’anatomopathologie et permettent d’emblée l’inclusion dans un protocole oncologique basée sur radio et chimiothérapie.
chez le jeune enfant le taux doit être comparé aux valeurs normales pour l’âge car leur décroissance est lente.
reliquat post-chimiothérapie
l’évolution sous traitement oncologique se fait parfois vers un reliquat chimio-résistant, alors que les marqueurs sont négativés. il s’agit le plus souvent d’un reliquat tératomateux qui nécessite une résection chirurgicale chaque fois que possible avant la radiothérapie.

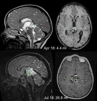
growing teratoma syndrome

dans de rares cas, les marqueurs se normalisent, alors que le volume tumoral augmente : ceci signe l’existence d’une composante tératomateuse (growing teratoma syndrome) cf. ci-contre. il est alors nécessaire d’en réaliser l’exérèse lorsqu’elle est possible.
pour en savoir plus sur le growing teratoma syndrome
les tumeurs non sécrétantes cérébrales
elles nécessitent une preuve histologique, qui peut être obtenue :
- par des biopsies stéréotaxiques, non dépourvues de risque de complication hémorragique, et posant le problème de l’erreur d’échantillonnage en raison du grand nombre de tumeurs germinales mixtes.
- par un abord direct, à but d’histopathologie, de décompression régionale et si possible d’exérèse.
le devenir
le taux de guérison est très important dans les tumeurs germinales non sécrétantes, même dans les formes métastatiques, c’est un des grands succès de la neuro-oncologie pédiatrique ; dans les tumeurs sécrétantes, le risque d’échappement sous traitement est plus important, le traitement est donc plus agressif, grevé d’une morbidité plus lourde.
par ailleurs, certains patients peuvent développer une seconde tumeur germinale, d’un autre type histologique voire dans une autre localisation de la ligne médiane, il ne s’agit donc pas d’une récidive ni d’une métastase mais de tumeurs germinales multiples diachroniques.




Commentaires récents