synonymes : angiome – MAV – fistules piales – arteriovenous malformation – AVM
en 2 mots
les malformations artério-veineuses (MAV) sont la principale cause d’accident vasculaire cérébral hémorragique chez l’enfant. le saignement est une urgence qui nécessite souvent une intervention chirurgicale. La MAV peut être traitée par la chirurgie, l’embolisation et la radiochirurgie.
anatomie pathologique et histoire naturelle
les MAV de l’enfant sont immatures, il s’agit d’une résille angiomateuse qui va progressivement se développer avec recrutement de pédicules artériels et de veines de drainage, avec parfois apparition d’anévrysmes d’hyperdébit. ces anévrysmes sont particulièrement fragiles et peuvent se rompre dans le tissu cérébral ou les ventricules.
le saignement peut être favorisé par un effort physique, mais la majorité survient sans cause particulière voire pendant le sommeil. le risque de resaignement est estimé à environ 10% dans l’année qui suit. les MAV les plus agressives, celles qui tuent le plus, sont situées dans le cervelet.

diagnostic
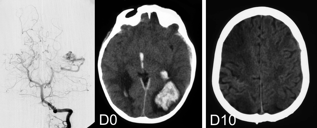
le saignement
la majorité des MAV de l’enfant se révèlent en effet par une rupture hémorragique, qui survient « comme un coup de tonnerre dans un ciel serein », avec céphalées, vomissements, déficit et troubles de conscience progressifs, parfois signes d’engagement. dans notre série, 78% des patients se présentaient avec une MAV rompue, 43% étaient comateux
la rupture peut également se compliquer de :
- hydrocéphalie, obstructive (caillotage ventriculaire) ou communicante (feutrage arachnoïdien)
- vasospasme

classiquement lié à l’hémorragie méningée anévrysmale, le vasospasme peut également survenir après hémorragie cérébrale par rupture de MAV ; il semble néanmoins obéir à des mécanismes particuliers comme le montre sa topographie souvent inattendue. le traitement par inhibiteur calcique, qui n’a pas d’AMM chez l’enfant ni en dehors de la rupture anévrysmale, peut être malgré tout nécessaire.


le resaignement
il survient rarement dans les jours qui suivent l’hémorragie ; il représente cependant une menace tant que la MAV n’est pas totalement éradiquée
c’est donc un avantage certain de la chirurgie classique de pouvoir obtenir une éradication complète et immédiate dans la majorité des cas.
les MAV non rompues
dans une minorité de cas, on diagnostique une MAV non rompue, elle se révèle par des céphalées ou une épilepsie. de plus en plus souvent, on découvre des MAV de façon fortuite sur une imagerie réalisés pour autre chose. il faut alors décider ou non d’un traitement préventif. 
les différents moyens thérapeutiques
ces différents moyens ont chacun leurs avantages et inconvénients.
Ils ne sont pas mutuellement exclusifs : peuvent être combinés pour réaliser une traitement séquentiel de la MAV.

la décision thérapeutique
elle est multidisciplinaire. on décide en fonction de la MAV, du patient et de la présentation clinique que est le meilleur choix pour le patient. 
les résultats
devenir en fonction de l’état clinique initial

devenir à long terme de l’angiome
si l’angiome n’est pas totalement guéri, il persiste un risque de resaignement de façon retardée.
contrairement à l’adulte, il existe un risque de récidive d’angiome même si l’angiographie de contrôle semblait normale. Ceci est lié à l’immaturité des vaisseaux qui sont capable de produire de nouveau une MAV. Il est prudent de recontrôler l’angiographie à la fin de la croissance avant de déclarer le patient guéri. 
visualiser le cours sur les malformations artério-veineuses de l’enfant
ressources documentaires
Ruptured cerebral arteriovenous malformations: Outcomes analysis after microsurgery.

Commentaires récents