synonymes : sténose bicoronale – sténose coronale bilatérale – turricéphalie – bicoronal synostosis
autre sens du mot : crâne court au sens anthropologique (caractéristique des peuples d’origine Celte par exemple), variante du normal
en 2 mots
la brachycéphale au sens médical est très souvent d’origine génétique, elle est due à une fermeture bilatérale de la suture coronale, et entraîne une réduction du volume crânien avec hypertension intracrânienne. elle a également un retentissement morphologique marqué. Le traitement chirurgical a pour but de décomprimer le contenu crânien mais aussi de restaurer une morphologie harmonieuse.
étiologie
les deux tiers environ des brachycéphalies correspondent à des mutations connues, et la brachycéphale s’associe alors souvent à une faciosténose. Il s’agit de maladies rares correspondant aux syndromes de Crouzon, Apert, Pfeiffer, Saethre-Chötzen, Muenke, etc. Elles sont causées par les mutations des gènes classiques FGFR2, FGFR1 et FGFR3, Twist, TCF12, ERF, etc..
mais la sténose bicoronale est également retrouvée dans bon nombre d’autres maladies, notamment du métabolisme osseux
physiopathologie

la suture coronale permet l’avancée frontale, mais aussi l’abaissement du massif facial ; elle réalise ainsi une croissance en spirale comparable à
celle des coquillages.
les orbites sont peu développées dans le sens antéro-postérieur
il peut exister un hydrocéphalie liée à la sténose des foramens jugulaires, une malformation de Chiari (engagement chronique des tonnelles) liée au défaut de développement de l’arrière crâne comme à l’hypertension intracrânienne. 
diagnostic

lorsque la coronale est sténosée, on a donc un crâne court (indice céphalique élevé, souvent supérieur à 100), de volume réduit, le front est large, haut et plat. c’est l’aspect typique de turricéphalie (crâne en tour).
il existe un exorbitisme par défaut de développement antérieur des orbites.
le périmètre crânien est souvent dans les limites de la normale mais tend à stagner ; l’indice céphalique (rapport largeur/longueur du crâne) est supérieur à la normale (75), avec des valeurs souvent au dessus de 100 (crâne plus large que long).
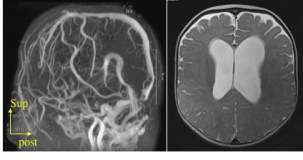
le scanner est indispensable pout étudier les sutures et le retentissement sur la voûte et la base du crâne. L’IRM est très souvent nécessaire également pour étudier la malformation de Chiari et le drainage veineux cérébral.
traitement
les buts du traitement sont la décompression cérébrale et la restauration d’une morphologie harmonieuse.

lorsque le nourrisson est en hypertension intracrânienne, une intervention décompressive peut être nécessaire dans les premiers mois de vie. On réalise une craniectomie périfrontale (décompression antérieure), ou interpariétale et péri-occipitale (décompression postérieure)
lorsque l’enfant est plus grand, on réalise une cranioplastie avec avancée fronto-orbitaire en cyphose qui reproduit la croissance normale produite par la suture coronale ; on peut y associer dans le même temps la mise en place d’une distraction crânio-faciale s’il s’agit d’une cranio-facio-sténose.
en savoir plus sur la technique chirurgicale :
la craniectomie pour crâne en trèfle
la craniotomie fronto-orbitaire pour brachycéphale
résultats
ils sont évalués au plan quantitatif : augmentation du périmètre crânien, amélioration de l’indice céphalique
et au plan qualitatif : amélioration morphologique
un suivi prolongé est indispensable, car une faciosténose ou d’autres stigmates de craniosténose syndromique peut se démasquer secondairement.




Commentaires récents