synonymes : subgaleal hematoma
en 2 mots
l’espace sous-galéal est le plan de glissement entre le cuir chevelu et le crâne. Il n’est pas limité, donc chez le nouveau-né, le saignement peut être extrêmement important et avoir des conséquences vitales.

diagnostic
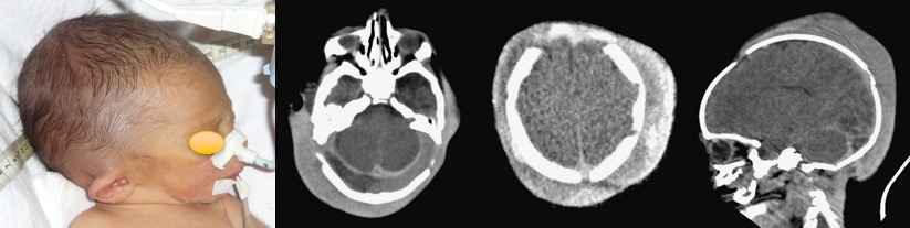
il s’agit d’une collection volumineuse qui déforme le cuir chevelu, parfois soulève le lobule de l’oreille, et provoque une anémie aiguë et une CIVD chez le nouveau-né.
souvent appelé improprement céphalhématome, on différencie l’hématome sous-galéal, qui ne connait pas de limites naturelles, de l’hématome sous périosté (céphalhématome vrai) qui est limité par les sutures, et donc de moindre extension.
chez le nouveau-né, un céphalhématome sous tension peut compromettre la vascularisation du cuir chevelu et entraîner une nécrose.
chez le nourrisson, le principal diagnostic différentiel est l’épanchement sous-galéal ou « crâne savonnette » (voir ce mot) qui n’est pas traumatique.
chez l’enfant plus grand, il se présente initialement comme une tuméfaction ferme et oedémateuse (« prenant le godet »), qui se liquéfie par la suite, à la palpation on peut alors avoir la fausse impression d’une berge osseuse qui fait croire à une embarrure.
traitement
Il convient de rechercher une coagulopathie constitutionnelle, de corriger l’anémie et les troubles de l’hémostase, mais il faut éviter d’opérer.
une ponction sous-cutanée peut être proposée si l’hématome est sous pression ou douloureux.
le pansement compressif est à proscrire en raison d’un risque de nécrose du scalp.
complication
l’hématome sous-galéal sous pression peut compromettre la vitalité du cuir chevelu et entraîner une nécrose. même dans le cas extrême montré ci-contre, la capacité de reconstitution spontanée d’un cuir chevelu complet (avec ses annexes) est frappante.

Commentaires récents