synonymes : tumeur intra-médullaire – spinal cord tumor
en 2 mots
ce sont des tumeurs rares, le plus souvent de bas grade, qui peuvent être guéries par la chirurgie seule, mais celle ci comporte des risques de complications neurologiques ; quand l’exérèse est incomplète, un traitement complémentaire est souvent nécessaire. la prise en charge orthopédique est indispensable en raison du risque de déformation évolutive du rachis.
épidémiologie
les tumeurs intra-médullaires sont rares chez l’enfant ; elles sont également très diverses par leur histologie.
Elles surviennent à tout âge, avec une prépondérance masculine marquée, qui est liée à la prévalence des épendymomes et des gliomes non pilocytiques.
elles peuvent être liées à un contexte de prédisposition tumorale 
la présentation clinique
la présentation apparaît souvent stéréotypée (du moins de façon rétrospective…).
elle varie cependant suivant le niveau anatomique atteint, l’âge du patient, et l’évolutivité de la lésion ; on distingue ainsi plusieurs tableaux :
- la présentation torpide, sur plusieurs années avec une scoliose progressive qui devient douloureuse, dans les tumeurs gliales de bas grade
- et les lésions rapidement évolutives avec paralysie d’installation rapide, pseudo-myélitique, dans les tumeurs de haut grade.
- les présentations trompeuses : hydrocéphalie communicante, scoliose…
les douleurs

typiquement nocturnes, rebelles aux antalgiques, chez l’enfant elles sont en fait souvent absentes, remplacées par une raideur rachidienne. la douleur entraine une attitude antalgique en torticolis qui peut égarer le diagnostic et entraîner un retard diagnostique.
le déficit neurologique
il est souvent tardif, commençant par une spasticité qui augmente à la fatigue.
l’examen des réflexes est primordial. dans les lésions cervicales, on retrouve classiquement un syndrome suspendu similaire à celui de la syringomyélie : abolition des réflexes aux membres supérieurs contrastant avec l’augmentation aux membres inférieurs ; l’abolition de certains cutanés abdominaux oriente vers une lésion de niveau thoracique

les signes rachidiens
le torticolis
se distingue du torticolis bénin par l’absence de rotation, les douleurs, la présence de petits signes neurologiques (réflexes)
la scoliose
elle est suspecte quand elle survient chez le garçon, d’évolution rapide, avec une gibbosité gauche, et quand elle est douloureuse. la radio standard peut montrer un écartement des pédicules des vertèbres.
les troubles sphinctériens

ils sont souvent tardifs voire absents en pré-opératoire ; à noter la constipation parfois majeure (Cf. ci-contre) liée aux douleurs rachidiennes impulsives aux efforts physiologiques.
l’hydrocéphalie
il s’agit d’un mode de révélation non exceptionnel, parfois liée à
- une tumeur volumineuse
- ou avec dissémination méningée
- parfois associée à une pseudo-tumeur de petite taille, de nature vasculaire ou inflammatoire.
les troubles trophiques

ils sont relativement fréquents à condition de les rechercher systématiquement : Claude-Bernard-Horner (Cf. ci-contre), atrophie d’un membre supérieur, mal perforant…
les diagnostics différentiels
ils sont nombreux, tant par excès que par défaut, car la symptomatologie est souvent trompeuse ; ils peuvent conduire à un retard diagnostique, voire à un geste malencontreux (ponction lombaire).
la prise en charge des tumeurs intra-médullaires
c’est une prise en charge oncologique, pluridisciplinaire, qui dépend du type anatomo-pathologique, de la localisation, de l’âge de l’enfant.
la chirurgie a pour buts :
- l’éxérèse complète chaque fois que possible
- le diagnostic histo-pathologique
- la décompression médullaire
voir la page chirurgie des lésions intra-médullaires
le traitement oncologique suit des protocoles ciblés pour chaque type tumoral, et si possible guidé par la biologie moléculaire
la prise en charge rachidienne est fondamentale, le patient doit porter un corset ou une minerve en post-opératoire sous peine de développer une déformation évolutive très difficile à corriger.
la rééducation des différents problèmes neurologiques (moteur, sphinctériens) et la prise en charge des douleurs (notamment neuropathiques) sont également des éléments majeurs de la prise en charge.
les différent types tumoraux
l’astrocytome pilocytique
c’est la tumeur la plus fréquente chez l’enfant. souvent centra-médullaire mais parfois latéralisée (cf. ci-contre), elle est parfois bien limitée et extirpable, parfois infiltrante et l’exérèse est alors subtotale. en cas de progression du reliquat, une réintervention est à discuter, on peut aussi mettre le patient sous chimiothérapie type LGG. 
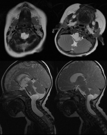
les autres tumeurs gliales
on rencontre des astrocytomes diffus, des localisations spinales de gliomatose diffuse (ci-dessus gauche), des gliomes de haut grade (ci-dessus droite) ; la chirurgie a essentiellement un rôle de diagnostic hosto-pathologique et moléculaire, et de décompression (plastie ostéo-durale cf ci-dessus).
l’épendymome
pouvant être sporadique ou associé à la NF2, c’est une tumeur en règle générale centra-médullaire, extirpable par une ouverture du sillon médian postérieur (ci-dessous). l’épendymome intra-médullaire est en règle générale de grade 2, il est distinct de l’épendymome myxo-papillaire qui intéresse la queue de cheval, comme des épendymomes intra-crâniens qui ont une biologie différente.

l’hémangioblastome
le plus souvent lié à la maladie de Von-Hippel Lindau, c’est une tumeur impressionnante, très vascularisée, mais on obtient de bons résultats cliniques et oncologiques par la résection seule.
les pseudo-tumeurs médullaires
l’hamartome
c’est une tumeur rare, non évolutive au plan oncologique, pouvant être responsable d’une scoliose évolutive chez le jeune enfant. l’exérèse n’est pas envisageable, on peut discuter un intervention décompressive (plastie ostéo-durale).
la sarcoïdose
le contraste entre une lésion infiltrante, qui ressemble à un gliome de haut grade, et la faible évolutivité clinique peut indiquer une pseudo-tumeur liée à la sarcoïdose (ci-contre).
le lipome
à distinguer des lipomes dysraphiques, il s’agit ici d’une inclusion intra-névraxique, évolutive avec la masse graisseuse de l’enfant, qui peut se révéler dans les premiers
mois de vie.
la chirurgie a un but de décompression, elle est limitée par l’absence de plan de clivage ; ici aussi, c’est une intervention de plastie ostéo-durale, mais dont l’efficacité peut être très salutaire et durable
en raison du jeune âge de l’enfant et de la localisation souvent haute, la prise en charge orthopédique (minerve) et la rééducation sont d’importance capitale.




Commentaires récents