synonymes : overdrainage ; hypopression intracrânienne
en 2 mots
la valve a pour fonction de drainer suffisamment mais pas trop. le drainage peut être excessif en raisons de particularités individuelles du patient, ou du type de valve ; il peut également devenir excessif lorsque l’enfant grandit, car la pression hydrostatique différentielle qui ouvre la valve devient excessive. l’hyperdrainage entraine des complications chroniques comme les céphalées orthostatiques, la craniosténose, le syndrome des ventricules fentes, parfois des complications aiguës avec collection sous-durale, saignement intracrânien, parfois collapsus circulatoire chez le petit nourrisson.
physiopathologie
la pression intracrânienne physiologique varie en fonction de la posture, des efforts physiologiques, et de la maturation de la boîte crânienne. à la naissance, le crâne est déformable, la pression intracrânienne suit donc globalement la pression atmosphérique ; lorsque la grande fontanelle se ferme (ce qui correspond à l’âge de la station érigée), le drainage veineux « siphonne » la cavité crânienne, la pression intracrânienne devient donc négative en station assise ou debout.
la valve entraine une déplétion de liquide. les valves « à débit constant » permettent des
variations de pression physiologiques. avec les valves pression-régulées (quel que soit le réglage), il existe un seuil de différentiel de pression au dessus duquel la valve s’ouvre ; ce différentiel de pression dépend avant tout de la stature du patient. l’hyperdrainage tend donc à s’installer après l’âge de la marche du fait de la croissance chez les patients porteurs d’une valve pression-régulée.
les manifestations cliniques de l’hyperdraînage
le collapsus circulatoire
il survient lors de la pose de valve, au déclampage du système mis en place ; il est lié à la déplétion ventriculaire qui est compensée par une vasoplégie du lit vasculaire cérébral, réalisant un troisième secteur ; il faut donc anticiper ce collapsus, chez le petit nourrisson, en accélérant le remplissage vasculaire avant le déclampage.
l’hématome lors de la pose de la valve
il s’agit plus souvent d’une collection sous-durale, parfois extra-durale, rarement d’un saignement intra-cérébral.
les céphalées orthostatiques par hyperdrainage
survenant typiquement au lever, calmées par le recourt à la position couchée
diagnostics différentiels : les autres causes de céphalées, en particulier les céphalées positionnelles de l’hypertension intracrânienne ; les céphalées au réveil de la dépendance aux antalgiques

sur l’IRM, il existe souvent une prise de contraste méningée diffuse qui est le support anatomique des céphalées (cf. image ci-dessus)
les céphalées par hyperdrainage sont en règle modérées ne justifiant pas une intervention pour changement de valve ; si les céphalées sont intolérables, on peut remplacer la valve standard par une valve bas débit.
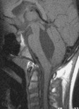
l’engagement tonsillaire
(malformation de Chiari) cf. ci-contre ; classiquement favorisé par le drainage lombo-péritonéal, en fait retrouvé dans l’hyperdrainage par valve ventriculaire.
la craniosténose par valve
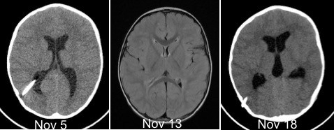
le syndrome des ventricules fentes
les ventricules diminuent, ils
deviennent de taille quasi-virtuelle ; de plus, en l’absence des variations physiologiques de pression et de volume, le cerveau devient rigide (il perd sa compliance naturelle). lorsque la valve s’obstrue, les ventricules vont donc peu augmenter de volume, ils pourront donc sembler de taille normale si on ne dispose pas d’un scanner de référence pour comparer.

parfois, on constate une évolution cyclique en rapport avec un cathéter fonctionnant

« par éclipses » : l’yperdrainage vide les ventricules, le collapsus ventriculaire entraîne l’obstruction du cathéter, la pression remonte, jusqu’à désobstruer le cathéter, etc.
les ventricules fentes posent des difficultés chirurgicales parfois redoutables lorsqu’il faut changer le cathéter ventriculaire. dans ces cas, le recours à la corne frontale du ventricule latéral permet souvent de sauver la situation de manière durable.
la prévention du syndrome d’hyperdrainage
il passe avant tout pour par le choix du type de drainage, en n’utilisant une valve que lorsque le traitement endoscopique n’est pas possible, et en choisissant une valve débit-contrôlée chaque fois que possible (à partir d’un âge entre 40 semaines post-conception et un mois post-natal).





Commentaires récents