les limites
la fosse postérieure est une loge ostéo-durale limitée
- en haut par la tente du cervelet, structure semi-rigide
- en arrière et sur les côtés par l’écaille de l’os occipital
- en avant par le clivus formé par la réunion du corps du sphénoïde et du basi-occipital.
elle communique
- en haut avec la cavité hémisphérique par l’incisure tentorielle
- en bas avec le canal spinal par le foramen magnum.
une augmentation du volume de son contenu peut donc entraîner un engagement tonsillaire ou un engagement du culmen (ou rétrograde).

le contenu
- des structures du système nerveux central : le tronc cérébral, le cervelet
- des nerfs crâniens : III à XII
- des structures vasculaires : le système artériel vertébro-basilaire ; les veines qui se jettent dans les sinus veineux droit, pétreux, latéraux, sigmoïdes et le plexus rétro-clival
- des espaces liquidiens : le quatrième ventricule, la grande citerne, les citernes latéro-bulbaire, ponto-cérébelleuses, pontique, inter-pédonculaire
le tronc cérébral
il est le siège des :
- voies de conduction motrices et sensitives à destinée ou à départ encéphalique
- voies de connexion du cervelet et ses relais : noyaux du pont et noyaux dentelés
- noyaux des nerfs crâniens 3 à 12
- structures propres impliquées dans la régulation du mouvement et de la posture, la vigilance, la conscience, le contrôle des fonctions végétatives : respiration, alimentation, , tension, rythme cardiaque…

les différentes régions du quatrième ventricule et les symptômes liés à leur atteinte (d’après Rhoton)
les espaces méningés
ce sont les citernes :
- grande citerne : médiane, qui est en continuité avec le quatrième ventricule
- citerne latéro-bulbaire, où se déverse le LCS du 4ème ventricule par les foramens de Luschka
- angle ponto-cérébelleux
- citerne pré-pontique


les nerfs crâniens
les nerfs III à XII traversent les espaces arachnoïdiens de leur origine apparente à leurs orifice de sortie de la base du crâne.
dans la chirurgie de l’angle ponto-cérébelleux, il est important de repérer :
- le XI spinal, qui monte de la moelle cervicale en avant du plan des racines sensitives spinales
- les nerfs mixtes (IX, X, XI bulbaire), qui rejoignent le foramen jugulaire et sont intriqués avec l’artère vertébrale et ses branches
le paquet acoustico-facial, dont l’origine apparente est au contact du plexus choroïde du récessus latéral du ventricule et qui se dirige vers la pointe du rocher, au contact de la veine de Dandy- le trijumeau, qui est se dirige droit devant vers le cavum de Meckel
- l’abducens, qui monte verticalement de la jonction bulbo-médullaire vers le canal de Dorello
- le nerf oculo-moteur, entre les branches de la terminaison basilaire dans les replis de la membrane de Liliequist et qui rejoint la face supérieure du sinus caverneux
- le nerf trochléaire, que l’on suit dans son trajet latéral au mésencéphale en dessous du bord libre de la tente du cervelet et qui rejoint le sinus caverneux en arrière du nerf oculomoteur
les artères et leurs variations

le système vertébro-basilaire, qui dérive des artères neurales postérieures, est marqué par un grand nombre de variantes, avec parfois persistances d’artères embryonnaires segmentaires : pro-atlantale, hypoglosse, trigéminée.
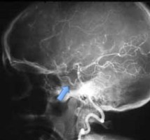
l’artère vertébrale dans son segment V4
elle pénètre la dure-mère au-dessus de la première digitation du ligament dentelé ; elle donne des collatérales à la moelle allongée, et une volumineuse branche, la PICA, avant de rejoindre l’artère contre-latérale en avant de la jonction bulbe-protubérantielle pour former l’artère basilaire.
la PICA

ou artère cérébelleuse postéro-inférieure, elle est de calibre variable, parfois très inégale ; elle donne des rameaux à la face latérale du bulbe, après quoi elle alimente surtout la tonsille, le vernis et la toile choroïdienne, elle fournit cependant des branches récurrentes à la moelle allongée qui doivent être respectées.
l’artère basilaire
elle naît de la réunion des 2 artères vertébrales en avant de la jonction bulbo-protubérantielle. elle donnes des collatérales principales (cérébelleuses moyennes, auditives internes), des branches perforantes circonférentielles courtes et longues, et se termine en 4 branches formant un X : les cérébelleuses supérieures et cérébrales postérieures, entre ces artères passent les nerfs oculo-moteurs.

lors de l’engagement, la terminaison du tronc basilaire peut être plicaturée, donnant une ischémie croisée : de la cérébrale postérieure homolatérale et cérébelleuse supérieure contro-latérale.
l’artère basilaire est richement innervée et très sensible aux manipulations opératoires (bradycardie, hypertension, réveil) ou lors des compression directes lésionnelles.
l’artère méningée postérieure
il existe des variations dans son origine, elle peut naître :
- le plus souvent de la PICA
- parfois de la vertébrale dans son segment V3
- parfois même des artères corticales cérébelleuses

variantes de l’artère méningée postérieure : A : venant de la PICA ; B : venant d’une artère corticale
les variations du drainage veineux
il existe chez l’enfant des sinus duraux persistants, de taille variable, mais généralement d’autant plus problématiques que l’enfant est petit.
dans certains cas, un sinus latéral est remplacé par une sinus médian ou paramédical qui ne peut pas être sacrifié. il faut alors trouver une variante de l’abord habituel permettant de mener à bien l’intervention.
sinus occipital paramédian ; l’incision parallèle au sinus, avec extension vers le bas, a malgré tout permis un abord correct du 4ème ventricule.


Commentaires récents