les buts de la chirurgie
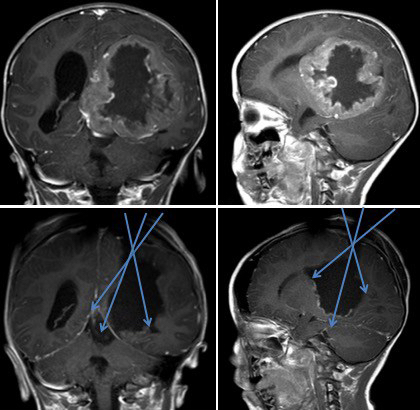
- la décompression : il s’agit souvent d’une décision en urgence ou en semi urgence, devant un tableau d’HTIC aiguë liée au volume tumoral ou à l’hydrocéphalie obstructive.
- le traitement de l’hydrocéphalie : provoquée par le blocage de la circulation du LCS intraventriculaire, plus rarement par une hyper-sécrétion : papillome du plexus
- le diagnostic histo-pathologique : en raison de leur accessibilité, de leur présentation urgente et du risque de saignement, les tumeurs des ventricules latéraux sont plus souvent biopsiées à ciel ouvert que par technique stéréotaxique.
- l’exérèse si possible totale : l’examen histo-pathologique est souvent utile pour déterminer si l’exérèse complète est indiquée. la neuronavigation et l’IRM per-opératoire peuvent être très utiles en particulier lors des récidives.
les différentes voies d’abord
on la choisit parfois, souvent elle s’impose. les impératifs sont de respecter la région centrale, la voie motrice principale, le système limbique, et autant que possible les radiations optiques. le choix dépend donc de la localisation tumorale, mais aussi de la nécessité de contrôle des pédicules vasculaires, et de la dilatation ventriculaire.
- la voie trans-calleuse : idéale pour les lésions antérieures, avec ou sans dilatation ventriculaire, c’est la plus utilisée ; elle permet de plus un accès bilatéral par septotomie, essentiellement dans les maladies de Bourneville.

voie trans-calleuse -

ponction ventriculaire avant corticotomie la voie trans-frontale transcorticale : en cas d’hydrocéphalie aiguë, permet une décompression immédiate sans devoir disséquer la fissure inter-hémisphérique chez un patient en HTIC sévère.
- la voie trans-temporale : elle permet le contrôle premier de l’artère choroïdienne antérieure (typiquement pour les papillomes du plexus (cf. ci-dessous)

voie trans-temporale - la voie trans-pariétale : en décubitus ventral : pour les tumeurs volumineuses de l’atrium avec extension vers la ligne médiane : permet le contrôle du système veineux profond

voie trans-pariétale
comment choisir la voie d’abord ?
le problème du saignement

il se pose de façon différente selon le type de tumeur : dans le papillome (ci-contre), le contrôle premier de l’artère choroïdienne antérieure, puis de la veine thalamo-striée, enfin l’exérèse en bloc permet une chirurgie pratiquement exsangue.
à l’inverse, le carcinome du plexus recrute des pédicules venant de toute la surface du ventricule et le saignement se poursuit jusqu’à la fin de la résection. Il faut surtout être prudent vers la ligne médiane car un saignement du système veineux cérébral interne et de la veine de Galien pourrait être fatal.
il s’agit d’un problème souvent majeur. ces tumeurs sont souvent très hémorragiques, surtout les tumeurs de haut grade, et chez le nourrisson la résection peut amener à des situations de risque vital. il s’agit d’une véritable anesthésie-réanimation per-opératoire.
pour limiter les pertes sanguines, on peut discuter d’une embolisation pré-opératoire, très délicate chez ces enfants souvent petits, ou d’une résection en plusieurs stades, également problématique car le saignement persiste souvent jusqu’à l’exérèse totale.
les problèmes hydrauliques
ils sont fréquents du fait de l’hydrocéphalie, du volume tumoral et souvent du jeune âge de l’enfant.
Il existe très souvent une hydrocéphalie pré-opératoire, qui peut rarement être réglée par endoscopie, et dont le meilleur traitement est la résection tumorale.

en fin d’intervention, il est prudent de laisser un drainage ventriculaire externe « en sentinelle », qui permet de s’assurer de l’absence d’hyperpression et de saignement ; ce drain permet de se rassurer et d’éviter un scanner précoce inutile, et le cas échant de drainer LCS.
en post-opératoire, l’enfant développe souvent une collection sous-durale qui peut nécessiter un drainage sous-dural externe ou sous-duro-péritonéal.
les transmissions à l’anesthésiste-réanimateur
assister au cours (en Anglais) sur l’exérèse des papillomes du ventricule latéral



Commentaires récents