synonymes : tassement vertébral – SCIWORA – maltraitance – spinal trauma – child abuse
en 2 mots
ce sont souvent des lésions graves, qui contribuent à la forte mortalité du syndrome du bébé secoué (SBS) en provoquant une paralysie avec arrêt respiratoire.
la maltraitance est la première cause de traumatisme rachidiens chez les enfants de moins de 3 ans.
physiopathologie
le secouement survient sur un enfant en bas âge, dont le crâne est volumineux, et les muscles spinaux et le rachis mal adaptés pour limiter les mouvements excessifs. ceci est aggravé par le malaise avec hypotonie liée aux lésions cérébrales. l’élasticité rachidienne propre à cet âge
prédispose à l’étirement médullaire sans lésions rachidiennes (SCIWORA)
les lésions
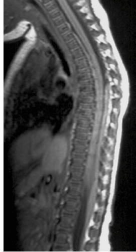
- l’étirement médullaire : la flexion-extension rapide et répétée entraine une étirement du rachis (c’est une forme de SCIWORA) et un épaississement du ligament jaune lors de l’hyper-extension avec rétrécissement du canal cervical (Cf. ci-contre)

- le tassement marginal antérieur (Cf. ci-contre) est souvent asymptomatique, découvert sur le bilan radiologique standard ; il est sans conséquences mais atteste de la violence du secouement ; dans ce contexte il faut s’assurer du statut nutritionnel car une carence en vitamine D, liée à un contexte de négligence, prédispose à ce type de fracture.
- l’hématome épidural, l’hématome intra-dural : ce sont des hématomes non compressifs, découverts sur l’IRM, et qui attestent de la diffusion des lésions traumatiques.
- la fracture-dislocation rachidienne est rare, attestant d’un

traumatisme particulièrement brutal. il s’agit d’une lésion instable car il existe une rupture de tous les éléments ligamentaires et une avulsion du plateau discal ; cette lésion est donc menaçante au plan neurologique.

- la contusion médullaire : en cas de lésion médullaire, l’atteinte cervicale entraîne une paralysie avec arrêt respiratoire qui aggrave les lésions cérébrales anoxiques (cf. ci-dessous)

retour à l’article maltraitance chez le nourrisson
assister au cours sur les traumatismes rachidiens du tout-petit


Commentaires récents