synonymes : craniofacial malformations ; craniomaxillofacial malformations
en 2 mots
de nombreuses maladies et malformations intéressent le crâne et la face.
dans bon nombre de cas, ces maladies sont d’origine génétique
beaucoup de ces patients ont par ailleurs d’autres anomalies du squelette atteignant notamment le rachis et la charnière cranio-cervicale.
les maladies de la structure de l’os
la dysplasie fibreuse des os
elle correspond à une anomalie du remaniement osseux qui empêche la formation d’os compact, l’os reste au stade d’os tissé, avec une hypertrophie parfois très volumineuse.
la chirurgie est modeste dans ses objectifs, car une reconstruction à partir d’autogreffe est automatiquement colonisée par le processus dystrophique. on se contente donc d’une excision remodelante à visée morphologique.
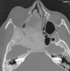
il n’y a le plus souvent pas de compression des structures nerveuses, en particulier les nerfs optiques qui sont souvent englobés dans l’os malformé sont en général préservés ; c’est seulement dans les cas de dysplasie avec remaniements kystiques et/ou hémorragique (cf. ci-contre) que la compression du nerf optique peut nécessiter un geste décompressif en urgence.
l’ostéopétrose
il s’agit également d’une maladie du remaniement de la structure osseuse, la voûte est très épaissie avec fermeture des sutures, qui peut rendre nécessaire une cranioplastie d’agrandissement crânien avec fraisage de la voûte cf. ci-dessous. à la différence de la dysplasie fibreuse, l’ostéopétrose entraîne une compression des canaux optiques qui peut nécessiter une décompression chirurgicale.

l’achondroplasie
elle entraîne une faciosténose qui se combine avec une hypertrophie des tonsilles
palatines ; l’utilisation d’un masque de ventilation non-invasive est susceptible de majorer la faciosténose.
si l’adénoïdectomie ne suffit à libérer les voies respiratoires, une avancée faciale avec distraction peut être indiquée.
par ailleurs, il existe souvent une compression de la région bulbo-médullaire par étroitesse du foramen occipital, qui peut entraîner des apnées centrales.
les anomalies d’origine embryonnaire
elles regroupent :
- des lésions dysraphiques (cranium bifidum)
- les fentes faciales
- les anomalies des arc branchiaux (syndrome de Goldenhar ci-contre).
les anomalies segmentaires associent volontiers malformations faciales et rachidiennes, en particulier de la charnière cranio-cervicale.
les lacunes crâniennes
on retrouve de façon banale des lacunes pariétales postérieures paramédianes, correspondant aux veines émissaires pariétales.
dans certains cas, ces lacunes sont très étendues, on parle alors de foramina parietalia permagna.
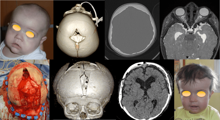
ces lacunes peuvent être associées à une craniosténose syndromique (ci-dessous dans un syndrome de Saethre-Chötzen).
la grande fontanelle persistante
la grande fontanelle est de taille très variable à la naissance, elle est en règle générale fermée à 1 an. un retard de fermeture de la fontanelle est souvent associé à un retard d’éruptions dentaires.
il existe parfois une fontanelle très large associée à une pseudarthrose des clavicules, dans la dysostose cléïdo-
crânienne.celle-ci ne nécessite pas de geste de crânioplastie car elle tend à se combler avec le temps. il existe une hypoplasie thoracique qui peut avoir des conséquences fonctionnelles
l’hypertélorisme

il peut être associé à diverses maladies, comme les craniofaciosténoses, les fentes faciales, la dysplasie orbito-fronto-nasale, et constitue un préjudice morphologique majeur.
la cranioplastie avec bipartition faciale permet de corriger l’hypertélorisme de manière plus complète que la box osteotomy.
les lésions crâniennes associées à des phacomatoses
les lésions de la NF1

on retrouve en association des lésions tumorales (neurofibrome plexiforme) et dysplasiques (encéphalocèle de la grande aile du sphénoïde) qui constituent le syndrome de François.
la chirurgie est souvent

décevante car le résultat de ces interventions lourdes ne se maintient souvent pas.
en raison de la colonisation du greffon (toît d’orbite) par la maladie, il s’agit ici d’à peu près la seule indication de l’utilisation de ciment acrylique en chirurgie crânais-faciale de l’enfant.
le syndrome de Solomon
il peut s’associer à des lésions de remaniement osseux ressemblant à un kyste anévrysmal comme ci-dessous.
ces lésions sont apparentées à celles du syndrome de Schimmelpenning





Commentaires récents