synonymes : fistule de l’étage antérieur – PEA – osteodural fistula – skullbase trauma
en 2 mots
les brèches ostéo-durales de la base du crâne mettent en communication les espaces méningés et les cavités aériennes de la face, ils exposent donc à une contamination méningée par les bactéries. elles nécessitent donc une prise en charge en urgence, qui est très souvent chirurgicale.
physiopathologie
anatomie :
la base du crâne est séparée en trois étages anatomiques : antérieur, moyen, et postérieur, recoupant les os formant la base : frontal, ethmoïde, sphénoïde, temporal, et occipital ; ces os sont réunis par des sutures et parcourus de foramens laissant passage aux vaisseaux, placodes sensorielles et nerfs crâniens.

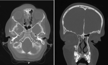
- étage antérieur : correspondant à la portion basale de l’os frontal qui constitue le toît d’orbite latéralement, descendant en dedans vers les gouttières olfactives de l’éthmoïde avec l’apophyse crista-galli au centre, il est en rapport avec les cavités aériennes du sinus frontal, qui se développe à l’adolescence, de l’ethmoïde, qui est déjà pneumatisé à la naissance, et qui continue de se développer jusqu’à l’adolescence
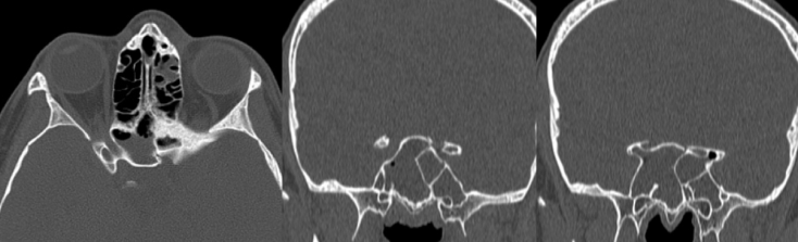
- étage moyen : correspondant à la grande aile du sphénoïde et à la face supérieure du rocher, il est en rapport avec le sinus sphénoïdal, qui commence à apparaître vers 2 ans ; le canal optique est particulièrement exposé par la finesse de ses parois inférieure et interne, qui font une saillie dans la cavité des sinus.

fracture du canal optique gauche avec rhinorrhée droite du fait de l’asymétrie de la cloison du sinus sphénoïdal - étage postérieur : correspondant à la face postérieure du rocher, il est en rapport avec l’oreille moyenne et les cellules mastoïdiennes, ces dernières ont la particularité de ne pas avoir de muqueuse.

biomécanique et pathogénie
il s’agit souvent de traumatismes violents, souvent à haute vitesse (AVP, défenestration) mais pas toujours (crush).
l’os du crâne de l’enfant possède une certaine élasticité, ce qui n’est pas le cas de la dure-mère qui tapisse sa face interne. on retrouve typiquement un recul notable du complexe médio-frontal
(disjonction orbito-naso-ethmoïdo-frontale) avec fractures en bois vert des parois ethmoïdales, qui s’associent à une déchirure linéaire antéro-postérieure de la dure-
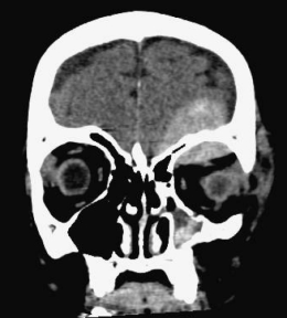
mère (Cf. ci-dessus) ; en effet, la dure-mère est très adhérente à l’os au niveau des sutures, notamment fronto-ethmoïdale, ce qui est illustré par les rares hématomes extra-duraux du toît d’orbite (Cf. ci-contre). en cas de fracture il y aura donc déchirure durale et non décollement en regard de la suture.
par ailleurs, la déchirure durale s’associe volontiers à une hernie cérébrale trans-durale qui empêche la cicatrisation méningée, mais colmate temporairement la brèche ostéo-durale (avec absence trompeuse de rhinorrhée cérébro-spinale). ces lésions de l’os, de la dure-mère et du cerveau sous-jacent peuvent évoluer sous forme d’une authentique fracture évolutive de la base du crâne.
diagnostic
la clinique est primordiale :

les signes d’impact et de fracture : tuméfaction et ecchymose
- exophtalmie unilatérale de l’hématome orbitaire
- si exophtalmie pulsatile : suspecter une fistule carotido-caverneuse, rechercher un souffle systolique à l’auscultation
- hématome en lorgnette si fracture unilatérale

- « yeux de raton-laveur » (raccoon’s eyes) si bilatérale
- soulèvement du pavillon de l’oreille en cas de fracture du rocher : signe de Battle
les signes de brèche ostéo-durale
rhinorhée
- unilatérale, homolatérale à la fracture si cloisons nasales intactes
- positionnelle, provoquée par la position génu-pectorale la compression jugulaire
- présence de glucose (Dextrostix), de β2-transférine
- dite « paradoxale » en cas de fracture du rocher avec tympan intact
ou otoliquorrhée
les signes d’atteinte des nerfs crâniens
- atteinte du nerf optique
- anosmie
- trouble oculo-moteur
- paralysie faciale périphérique
- surdité, transmissionnelle (partielle) ou de perception (cophose)
- vertige positionnel intense par atteinte labyrinthique
les signes neurologiques d’atteinte cérébrale
ils sont le plus souvent modérés, l’énergie cinétique du trauma étant absorbé par les cavités aériennes de la face (« ultimate airbag »)
prise en charge
traitement médical
- le traitement de la douleur
- la prophylaxie antibiotique est débattue mais semble une précaution judicieuse en attendant la chirurgie.
- la vaccination antipneumococcique peut se défendre pour les fractures pétreuses qui peuvent se fermer spontanément, alors que dans les brèches de l’étage antérieur, il ne faut pas s’illusionner : la fermeture chirurgicale est impérative, c’est la seule façon de prémunir réellement contre la méningite.
par ailleurs il faut absolument éviter l’intubation nasale et la mise en place d’une sonde naso-gastrique chez un patient porteur ou potentiellement porteur d’une fracture de l’étage antérieur.
traitement chirurgical

il est indispensable pour les fractures de l’étage antérieur, car une brèche négligée a de fortes chances d’évoluer vers une fistule chronique avec méningite récurrente, une mucocèle.
au contraire, les brèches mastoïdiennes semblent souvent se colmater seules.
l’abord intra-crânien intra-dural est une intervention relativement lourde, elle a cependant pour avantages :
- de respecter l’olfaction des deux côtés
- de permettre une reconstruction du bandeau orbitaire
- d’avoir un excellent taux de succès de la plastie suturée et pas seulement collée
le drainage du LCS par drainage lombaire externe est parfois nécessaire dans les brèches invétérées, le temps pour la plastie ostéo-durale de cicatriser.




Commentaires récents