synonymes : posterior fossa decompression
rationnel
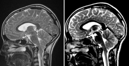
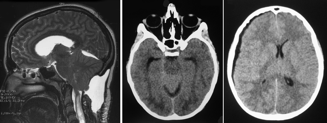
la « malformation de Chiari » est en fait un engagement tonsillaire chronique avec compression de la jonction bulbo-médullaire ; cet engagement peut s’auto-aggraver du fait de la pulsatilité cérébrale (« cork in the bottle« ). c’est un processus plus qu’un état, un phénomène avant tout hydrodynamique.
le but de l’intervention est de briser ce cercle vicieux et de désengager les tonsilles cérébelleuses en constituant une néo-grande citerne.
par ailleurs, avant de décider d’un abord de la charnière cranio-cervicale, il est indispensable de s’assurer :
- de l’absence d’hydrocéphalie
- de l’absence de malformation osseuse de la charnière cranio-cervicale
l’indication de décompression chirurgicale
la décision d’opérer
est basée sur une balance bénéfice risque favorable à la chirurgie. ceci suppose :
- que les critères radiologiques soient clairs :
- tonsilles effilées
- déformation de la jonction bulbo-médullaire
- surtout hypersignal T2 intra-axial
- et que la malformation soit cliniquement significative, c’est à dire que :
- les symptômes allégués sont imputables à la malformation, ce qui chez le petit enfant est parfois difficile à affirmer, mais aussi à exclure
- dans les Chiaris de découverte apparemment fortuite, il peut exister une pathologie du sommeil qui explique parfois un retard développemental
- dans un Chiari asymptomatique avec syrinx, le risque évolutif de celle-ci (dégradation neurologique parfois aiguë et souvent incomplètement réversible) peut justifier une chirurgie préventive au même titre que pour les lésions dysraphiques
- que le risque opératoire soit faible au regard de l’évolution naturelle attendue ; la morbidité de cette chirurgie est faible mais doit pouvoir être justifiée.
au total, la décision opératoire est en général une question de jugement qui demande réflexion.
la décision d’abstention
(qui n’est pas l’absence de décision d’opérer) ; elle est prise aisément devant une malformation mineure et l’absence de symptomatologie.
elle est plus difficile en cas de malformation franche radiologiquement, d’autant qu’il n’y a pas forcément de parallélisme entre imagerie et clinique : s’agissant d’un processus dynamique, l’imagerie peut sous-estimer la compression, lors du sommeil en particulier.
dans de tels cas, l’étude polysomnographique est indispensable avant de pouvoir rassurer la famille.

la technique choisie
en raison du caractère souvent flou de la symptomatologie pré-opératoire chez l’enfant, il est important d’assurer une décompression effective avec une imagerie post-opératoire indiscutable.
notre technique habituelle comporte donc une décompression osseuse et durale avec plastie autologue et souvent résection tonsillaire
technique : pas à pas
- décubitus ventral, tête fléchie dans la têtière à pointes, non rasage (A, B)
- avec soutien frontal chez les nourrissons
- exposition en sous-périosté de l’écaille occipitale et de l’arc postérieur de C1
- dans les chiaris malformatifs, attention au saignement veineux, à un arc de C1 déhiscent
- craniectomie limitée (C), ouvrant largement le foramen occipital, laminectomie de C1
- pas de nécessité d’exposer les sinus latéraux, il faut seulement exposer la fosse suffisamment pour pouvoir ouvrir et suturer la dure-mère
- ouverture paramédiane de la dure-mère jusqu’au niveau C1-C2 (D, E)
- hémostase des veines durales par hémoclips, il existe parfois une branche méningée de la PICA
- dissection arachnoïdienne permettant de s’assurer de la bonne communication des ventricules avec les citernes
- il existe souvent une gliose importante (F) de la pointe des tonsilles qui atteste de leur effet compressif
- option dans la syringomyélie : mise en place d’un cathéter comme stent entre V4 et citernes pour s’assurer de la bonne circulation du LCS
- il s’agit d’un cathéter ventriculaire simple dont la crépine est placée dans le V4, et l’extrêmité ouverte dans la citerne latéro-bulbaire, il est fixé à la dure-mère par un point de prolène Cf. ci-dessous.

- la tonsille la plus basse est volontiers réséquée (G) pour assurer une

tonsille sortant sous pression lors de l’ouverture durale communication libre
- parfois elles sortent sous pression à l’ouverture durale surtout chez les petits (Cf. ci-contre)
- éviter d’irriguer en coagulant la tonsille car diffusion thermique aux nerfs mixtes et à la moelle allongée
- l’ouverture durale est agrandie en losange avec une plastie de périoste occipital suturée de façon étanche et des suspensions durales (H).
- le prélèvement du périoste entraîne un saignement d’une branche de l’artère occipitale
- fermeture plan par plan au fil résorbable
les complications et leur prévention
il s’agit avant de complications liquidiennes, ce qui confirme que le Chiari est fondamentalement un problème hydraulique.


les transmissions à l’anesthésiste
retour à la page malformation de Chiari type 1

Commentaires récents