les complications liées à la pose sont multiples, souvent surprenantes, parfois inédites. la prévention de ces complications passe par une technique opératoire rigoureuse et standardisée.
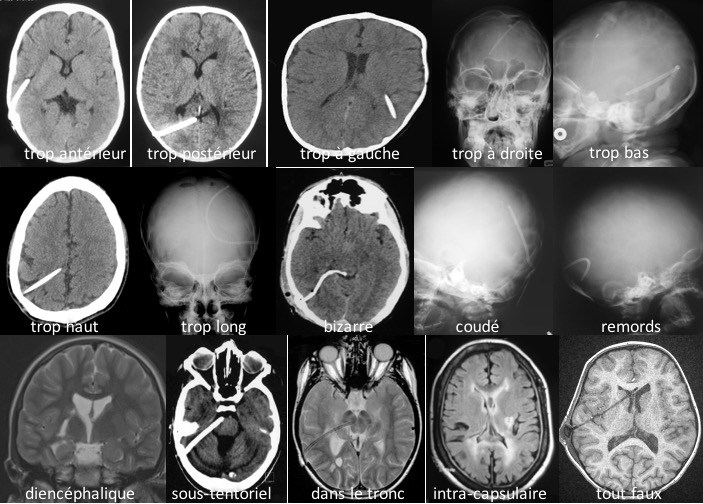
complications liées à la pose du cathéter ventriculaire

complications liées à la tunnellisation
- le trajet rétroclaviculaire : risque de pneumothorax, de plaie vasculaire
- prévention : passer devant le sternum, pour abord transrectal controlatéral ou ombilical
- le trajet dans le grand droit voire dans la cavité abdominale d’emblée (par la fente de Larrey) : ce n’est pas réellement une complication, il faut seulement faire attention à éviter un plaie viscérale en ressortant le tunnéliseur en bas
- on peut difficilement l’éviter mais on peut l’anticiper et la reconnaitre
complications liées à la pose du cathéter péritonéal
- le cathéter trop court
- prévention : ne pas raccourcir le cathéter
- le catheter pelotonné
- prévention : introduire le cathéter sous contrôle de la vue ; en cas de péritoine fibrosé, lyse des adhérences au doigts (en étant certain d’être dans le péritoine et de ne pas créer de faux plan extra-péritonéal).
- la perforation intestinale peropératoire
- prévention : introduire le cathéter sous contrôle de la vue ; en cas de fibrose péritonéale, chercher un autre site ; en cas de difficulté, joindre un collègue chirurgien viscéral



Commentaires récents