synonymes : entorse cervical haute – upper cervical spine trauma

en 2 mots
il s’agit d’un catalogue de lésions peu fréquentes, voire très rares, et qui doivent être évaluées en fonction de l’âge de l’enfant, du type précis de la lésions, instable ou non, du contexte… c’est dire que chaque cas doit être évalué individuellement ; d’un manière générale, on privilégie les traitements orthopédiques qui préservent la mobilité et la croissance de ce segment fonctionnellement très important.
physiopathologie
les causes sont diverses, et varient en fonction de l’âge. on retrouve ces lésions :
- chez le nouveau-né dans les naissances dystociques
- chez le nourrisson dans la maltraitance
- chez le grand enfant et l’adolescent dans les traumas à haute célérité type AVP avec éjection, projection, on trouve alors des lésions proches de celles de l’adulte.
d’une façon générale, les lésions sont localisées d’autant plus haut que l’enfant est petit, ce qui est lié à la proportion plus importante de l’extrémité céphalique.
la fracture du condyle occcipital
il s’agit souvent d’un mécanisme en compression, la fracture entraîne des douleurs à la mobilisation, rarement une inclinaison de tête.
la région fracturée correspond à l’insertion du ligament alaire, pourtant la lésion est en général peu instable. la surface d’os spongieux des fragments en contact étant large, la consolidation spontanée est généralement excellente après quelques semaines d’immobilisation par minerve.
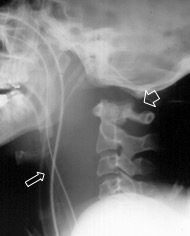
la dislocation craniocervicale

synonymes : luxation C0-C1, entorse occipito-cervicale
ces lésions étaient considérées classiquement comme hautement instables, rarement retrouvée chez les patients vivants mais plus souvent lors d’autopsie de traumatismes à haute cinétique (AVP Cf. ci-contre).
chez les survivants, on peut être orienté par une paralysie du VI (bilatérale éventuellement), une ecchymose du menton.
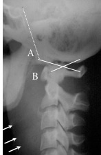
la radio standard montre un espacement entre condyles et atlas, une inversion du rapport de Powers, gun gonflement des parties molles rétro-pharyngées.
il peut exister une déchirure durale qui provoque la formation d’une méningocèle rétro-oesophagienne.

une fixation occipito-cervicale postérieure est nécessaire pour les lésions déplacées hautement instables.
depuis l’utilisation large de l’IRM, on a noté qu’en fait les lésions traumatiques occipito-C1 non déplacées ne sont pas si exceptionnelles. il faut y penser devant une hémorragie sous-arachnoïdienne du bas de la fosse postérieure. Le traitement de ces cas est orthopédique.

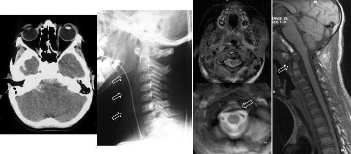
la fracture de l’odontoïde
elle entraîne une instabilité par rupture du pivot rotatoire atlo-axoïdien. il existe également une désaxation cranio-cervicale avec un bras de levier qui induit une cyphose évolutive.
elle est parfois peu visible chez l’enfant, il s’agit d’un décollement épiphysaire de l’odontoïde ou de la synchondrose neuro-centrale.
elle nécessite une réduction et arthrodèse par laçage postérieur C1-C2 avec greffe (type Gallié)

l’appartenance de l’os odontoideum aux lésions traumatiques ou malformatives est discutée, on a pu invoquer un traumatisme néonatal. cette pathologie peut être décompensée brutalement, elle est souvent découverte à la suite d’un trauma mineur.
la fracture de l’isthme de C2

synonymes : fracture du pendu, traduction fautive de « hangman’s fracture »
il s’agit d’une fracture très rare chez l’enfant, instable, qui se traite de façon orthopédique

Commentaires récents