en 2 mots
ce sont des tumeurs de gravité variable, localisées au niveau des hémisphères cérébraux (épendymomes supra-tentoriels) ou dans la fosse postérieure (infra-tensoriels). Ces derniers ont un risque de récidive élevé chez l’enfant, qui nécessite une chirurgie la plus complète possible, qui comporte de risques en particulier de troubles de déglutition, suivie de radiothérapie chaque fois qu’elle est possible. les chimiothérapie restent un traitement de deuxième intention. en cas de récidive, la réintervention est à discuter systématiquement. c’est dire qu’il s’agit d’une tumeur éminemment chirurgicale.
anatomie pathologique des épendymomes
il existe trois grades :
- le grade 1 qui comprend :
- le subépendymome, intra-crânien, qui est peu évolutif et ne se rencontre presque que chez l’adulte
- et l’épendymome myxo-papillaire est quant à lui une tumeur de la queue de cheval, qui, bien que de grade 1 peut récidive et métastaser.
- le grade 2, qui est retrouvé en intra-crânien et dans les épendymomes médullaires, mais avec une biologie moléculaire différente.
- et le grade 3 retrouvé en intra-crânen
l’influence du grade sur le pronostic est classiquement peu perceptible, car elle est gommée par l’importance du caractère complet ou non de la résection.

récemment, la biologie moléculaire a identifié deux sous groupes d’épendymomes infratentoriels, bien individualisés également au plan clinique et anatomique:
- le groupe A : marqueurs Nell2- et Lama2+, plus jeunes et plus souvent dans l’angle pont-cérébelleux
- le groupe B : Nell2 + et Lama2-, plus âgés et plus souvent situés dans le quatrième ventricule
dans l’étude conjointe de Heidelberg-Toronto, l’importance du profil en biologie moléculaire effaçait celle du caractère complet ou non de l’exérèse.


diagnostic et prise en charge des épendymomes supra-tentoriels
ce sont des tumeurs hémisphériques, plus souvent lobaires que ventriculaires, révélées généralement par une hypertension intra-crânienne.

le traitement repose sur la résection complète, qui peut nécessiter un second-look en cas de reliquat post-opératoire.
la radiothérapie n’est pas systématique car les récidives sont peu fréquentes et en général accessibles à une réintervention
rejoindre la page de technique chirurgicale : tumeurs supra-tentorielles
pour en savoir plus : Supratentorial ependymoma in children.
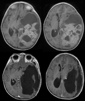
diagnostic et prise en charge des épendymomes infra-tentoriels

c’est une tumeur de la fosse postérieure dont l’âge de survenue est plus jeune que pour les médulloblastomes, et la durée évolutive plus courte, s’accompagna en général d’hydrocéphalie, souvent une ataxie cérébelleuse, et parfois d’emblée des signes d’atteinte des nerfs crâniens.
il existe rarement des métastases d’emblée, les métastases surviennent surtout lors des récidives, en particulier après irradiation focale qui prévient la récidive locale.
la chirurgie

elle a pour buts :
- le diagnostic histo-pathologique
- la décompression du tronc cérébral
- la libération du V4
- l’exérèse totale chaque fois que possible
elle comporte des risques fonctionnels en particulier vis-à-vis des nerfs mixtes auxquels elle est souvent adhérente. les suites opératoire peuvent donc être difficiles, en particulier lorsque la tumeur intéresse l’angle pont-cérébelleux. 
en cas d’exérèse incomplète, une réintervention de second-look peut être indiquée ; l’interprétation de l’IRM postopératoire est cependant souvent difficile avec risque de faux positif et de faux négatif (cf. ci-dessus).
rejoindre la page de technique chirurgicale tumeurs de la fosse postérieure
la prise en charge ORL
est fondamentale en cas d’infiltration des nerfs mixtes, pour éviter le risque de fausses routes. les moyens à notre disposition sont :
- l’alimentation pâteuse et l’eau gélifiée
- le scopoderm, qui diminue la sécrétion salivaire mais épaissit la salive
- le botox intra-parotidien, qui a un délai d’action
- la pharyngoplastie pour résection de l’hémipharynx hypotonique et rétablir la continence aéro-digestive
pour en savoir plus : Hypopharyngeal pharyngoplasty in the treatment of severe aspiration following skull base tumor removal: experience in pediatric patients.
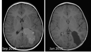
la radiothérapie

c’est un moyen efficace de prévenir les récidives, et même de faire disparaître un reliquat tumoral postopératoire non extirpable (ci-contre) ; elle est cependant grevée de morbidité en raison de sa neurotoxicité chez les jeunes enfants et du risque de tumeur radio-induite.
devenir oncologique
le risque de récidive est faible voire quasi-nul pour les épendymomes supra-tentoriels, important pour les épendymomes infra-tentoriels.
ceci justifie donc un traitement agressif pour ces derniers, avec irradiation systématique au dessus d’un an.
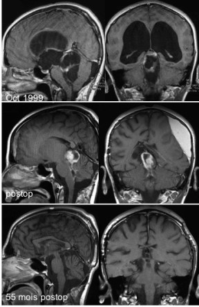
la réintervention pour reliquat ou récidive d’épendymome
étant donné l’agressivité de ces tumeurs, la récidive doit faire poser systématiquement la question d’une réintervention.
techniquement, la réintervention est souvent facile si la tumeur est limitée au V4, elle est beaucoup plus risquée si elle adhère aux nerfs mixtes. 
de même, une métastase unique n’est pas forcément une contre-indication à une réintervention, en particulier si elle fait courir un risque fonctionnel comme une métastase spinale.
le devenir après récidive dépend essentiellement de la possibilité ou non de réintervention ; si on peut réopérer l’enfant, le taux de survie sans récidive est globalement comparable à celui d’une première opération.
s’il s’agit d’un deuxième récidive, le pronostic est beaucoup plus sombre. une troisième intervention, voire plus, peuvent néanmoins se discuter, dans une logique compassionnelle, à condition de ne pas nuire à la qualité de la survie.

pour en savoir plus : Intracranial ependymomas in childhood: recurrence, reoperation, and outcome.
le devenir clinique


Commentaires récents