mots-clés : hématome sous-dural – hémorragies rétiniennes – shaken baby syndrome – child abuse – retinal hemorrhage

en 2 mots
le syndrome du bébé secoué (SBS) est une maltraitance grave, avec un mortalité de 10% et un risque de séquelles graves. il ne survient pas lors d’un jeu.
il s’agit d’une épidémie méconnue ; en moyenne, 20 cas sont admis chaque année au CHRU de Lille, avec une mortalité de 10%.

les pleurs incessants du nourrisson sont le principal facteur à l’origine du secouement ; le nourrisson peut pleurer 3 heures par jour. les pleurs sont à leur maximum entre 3 et 6 mois.

les deux diagrammes ci-dessus montrent : à gauche le temps de pleurs par jour chez le nourrisson suivant l’âge ; à droite le nombre de bébés maltraités par tranche d’âge. ceci illustre le rôle des pleurs du nourrisson comme facteur déclenchant de la maltraitance.
le secouement
il s’agit d’une maltraitance violente, pas d’un jeu. c’est la répétition du mouvement d’avant en arrière, permis par l’hypotonie de l’enfant, qui amplifie la cinétique et atteint un niveau d’énergie suffisant pour provoquer des lésions cérébrales.
les données médicales et les aveux des perpétrateurs indiquent souvent la survenue de plusieurs épisodes de secouement avant l’épisode qui conduit au diagnostic.
les éléments du diagnostic
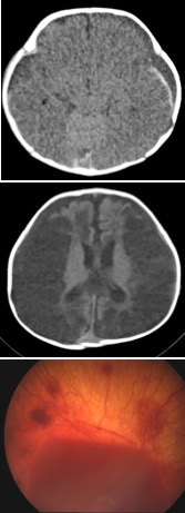
le SBS est défini par l’association d’un hématome sous-dural (HSD), d’hémorragies rétiniennes et d’un oedème cérébral. le diagnostic médical est une urgence, il est le plus souvent simple à condition d’être rigoureux et systématique. il existe en effet des cas atypiques et des diagnostics différentiels qui doivent être systématiquement envisagés ; les questions de datation, de répétition du trauma relèvent de l’expertise médico-légale.
l’hématome sous-dural (HSD)
il s’agit d’une collection hémorragique, présente dès le trauma, mais qui progresse en quelques jours après le trauma, il est alors constitué essentiellement de LCS. Il est typique de l’âge mais pas de la cause du trauma : il ressemble à l’HSD des traumatismes accidentels ; il faut s’attacher à rechercher des signes d’impact, soit compatibles avec le traumatisme invoqué, soit présents en l’absence de notion de trauma (shaken-impact syndrome).
l’oedème cérébral
il s’agit de lésions résultant d’un stress ischémique et non mécanique, dues à l’hypoxémie, l’hypertension intracrânienne avec baisse de la perfusion cérébrale, les crises convulsives avec augmentation du métabolisme cellulaire et excito-toxicité neuronale. les lésions rachis-médullaires contribuent à l’anoxie. C’est un élément de mauvais pronostic, qui heureusement est souvent absent. Il est important de noter que son absence n’exclut pas le diagnostic, et que les cas les moins graves doivent être eux aussi diagnostiqués, sous peine de récidive souvent fatale.
les hémorragies rétiniennes diffuses
il s’agit d’un élément capital du diagnostic. il est important que l’examen soit fait par un ophtalmologiste entraîné, qui sache grader l’hémorragie, et dans des délais courts car les hémorragies peuvent régresser en quelques jours.
le Dr DeFoort-Dhellemmes a proposé un grading des hémorragies rétiniennes :
- type 1: en flammèche, pas toujours traumatique
- type 2: en perle jacobine, traumatique mais pas spécifique de la maltraitance
- type 3: diffuse ; 3A : semis jusqu’en périphérie, 3B en dôme, rétinoschisis : spécifique de la maltraitance sous réserve de traumatisme oculaire direct

l’absence de signes d’impact
c’est un élément important du tableau, qu’il convient de rechercher systématiquement : l’existence d’un HSD en l’absence de signe d’impact et de troubles de coagulation est un élément fort en faveur du SBS. inversement, si des signes d’impact sont associés à un SBS (shaken-impact syndrome), ils ont une valeur pronostique péjorative.
les autres lésions du SBS
il peut exister :
- des lésions osseuses : fractures de côtes quand l’enfant a été tenu par le thorax ; décollement périosté des membres
- des lésions du rachis et de la moelle, possiblement à l’origine d’un arrêt respiratoire qui aggrave l’anoxie cérébrale
- un hématome de la gaine du nerf optique

les mécanismes d’aggravation
l’aggravation qui mène souvent au décès ou à des séquelles graves fait intervenir :
- le saignement initial
- les réactions oedèmateuses
- l’ischémie cérébrale
- l’épilepsie avec excité-toxicité
- l’engagement susceptible de provoquer une compression vasculaire
ces déférents mécanismes peuvent s’associer pour engager une spirale fatale.

le traitement chirurgical
il fait intervenir
- la ponction sous-durale
- le drainage sous-dural
- parfois la membranectomie
le devenir

le pronostic du SBS est sombre dans bien des cas, en raison des lésions déjà constituées au moment du diagnostic et du retard à la prise en charge. la mortalité est d’environ 10% et de nombreux enfants garderont des séquelles graves.
malgré tout, de nombreux enfants, pris à temps, évoluent favorablement. ceci met l’accent sur la nécessité de diagnostiquer et de signaler le SBS même dans les formes apparemment bénignes, car en l’absence de signalement, le risque est grand de récidive avec morbidité et mortalité effroyables.
en comparant avec les traumas accidentels, on constate une surmortalité et une surmorbidité dans la maltraitance.
il s’agit de séquelles :
- neurologiques
- motrices avec spasticité, parfois tétraplégie spastique
- épilepsie volontiers pharmaco-résistante
- retard développemental
- ophtalmologiques liées à l’hémorragie rétinienne, parfois aux lésions corticales étendues
- psychologiques, en rapport avec un traumatisme affectif majeur qui restera à jamais inconscient ; on a pu noter que certain adultes maltraitants étaient d’anciens enfants maltraités
- familiales, avec souvent séparation du couple
la prévention du syndrome du bébé secoué est donc un enjeu majeur
rejoindre l’article sur la maltraitance chez le nourrisson



Commentaires récents